Skip to main content

SF4 Antibody - BSA Free

Novus Biologicals, part of Bio-Techne | Catalog # NBP3-45382

Novus Biologicals, part of Bio-Techne
Catalog #
Availability
Size / Price
Qty
Loading...
NBP3-45382

Key Product Details

Species Reactivity

Human, Mouse, Rat

Applications

Immunohistochemistry, Western Blot, ELISA, Immunocytochemistry/ Immunofluorescence

Label

Unconjugated

Antibody Source

Polyclonal Rabbit IgG

Format

BSA Free

Concentration

Please see the vial label for concentration. If unlisted please contact technical services.

Product Specifications

Immunogen

splicing factor 4. (Uniprot# Q8IWZ8)

Clonality

Polyclonal

Host

Rabbit

Isotype

IgG

Description

Novus Biologicals Rabbit SF4 Antibody - BSA Free (NBP3-45382) is a polyclonal antibody validated for use in IHC, WB, ELISA and ICC/IF. All Novus Biologicals antibodies are covered by our 100% guarantee.

Scientific Data Images for SF4 Antibody - BSA Free

SF4 Antibody - BSA Free

Western Blot: SF4 Antibody - BSA Free [NBP3-45382] -

Western Blot: SF4 Antibody - BSA Free [NBP3-45382] - HEK-293 cells were subjected to SDS PAGE followed by western blot with (SF4 antibody) at dilution of 1:1000
SF4 Antibody - BSA Free

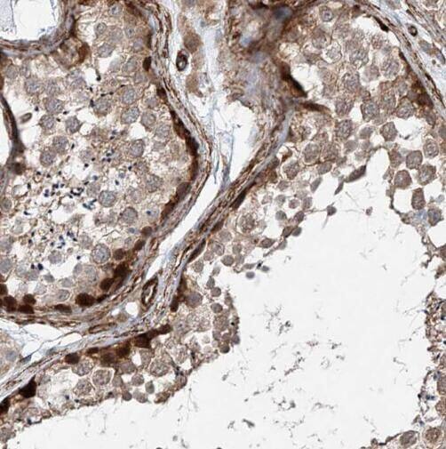
Immunohistochemistry: SF4 Antibody - BSA Free [NBP3-45382] -

Immunohistochemistry: SF4 Antibody - BSA Free [NBP3-45382] - Immunohistochemistry of paraffin-embedded human testis using (SF4 antibody) at dilution of 1:100

Applications for SF4 Antibody - BSA Free

Application
Recommended Usage

Immunocytochemistry/ Immunofluorescence

1:20-1:200

Immunohistochemistry

1:20-1:200

Western Blot

1:500-1:2000
Application Notes
Theoretical Molecular Weight is 72 kDa, 55 kDa

Formulation, Preparation, and Storage

Purification

Immunogen affinity purified

Formulation

PBS, 50% Glycerol, pH (7.3)

Format

BSA Free

Preservative

0.02% Sodium Azide

Concentration

Please see the vial label for concentration. If unlisted please contact technical services.

Shipping

The product is shipped with polar packs. Upon receipt, store it immediately at the temperature recommended below.

Stability & Storage

Store at -20C. Avoid freeze-thaw cycles.

Background: SF4

SF4 is a member of the SURP family of splicing factors.(supplied by OMIM)

Alternate Names

DKFZp434E2216, F23858, SF4RNA-binding protein RBP, Splicing factor 4RBP, SURP and G patch domain containing 1, SURP and G-patch domain-containing protein 1

Gene Symbol

SUGP1

Additional SF4 Products

Product Documents for SF4 Antibody - BSA Free

Certificate of Analysis

To download a Certificate of Analysis, please enter a lot number in the search box below.

Product Specific Notices for SF4 Antibody - BSA Free

This product is for research use only and is not approved for use in humans or in clinical diagnosis. Primary Antibodies are guaranteed for 1 year from date of receipt.

Loading...
Loading...
Loading...
Loading...