Skip to main content

SF3A1 Antibody - BSA Free

Novus Biologicals, part of Bio-Techne | Catalog # NBP1-87214

Novus Biologicals, part of Bio-Techne
Catalog #
Availability
Size / Price
Qty
Loading...
NBP1-87214-25ul
NBP1-87214

Key Product Details

Validated by

Knockout/Knockdown, Independent Antibodies

Species Reactivity

Validated:

Human, Mouse, Rat

Cited:

Mouse

Applications

Validated:

Immunohistochemistry, Immunohistochemistry-Paraffin, Western Blot, Immunocytochemistry/ Immunofluorescence, Knockdown Validated

Cited:

Western Blot

Label

Unconjugated

Antibody Source

Polyclonal Rabbit IgG

Format

BSA Free

Concentration

Concentrations vary lot to lot. See vial label for concentration. If unlisted please contact technical services.

Product Specifications

Immunogen

This antibody was developed against Recombinant Protein corresponding to amino acids: TEDSLMPEEEFLRRNKGPVSIKVQVPNMQDKTEWKLNGQVLVFTLPLTDQVSVIKVKIHEATGMPAGKQKLQYEGIFIKDSNSLAYYNMANGAVIHLALKESGGRKK

Reactivity Notes

Mouse reactivity reported in scientific literature (PMID: 25586139).

Clonality

Polyclonal

Host

Rabbit

Isotype

IgG

Scientific Data Images for SF3A1 Antibody - BSA Free

Western Blot: SF3A1 Antibody [NBP1-87214]

Western Blot: SF3A1 Antibody [NBP1-87214]

Western Blot: SF3A1 Antibody [NBP1-87214] - Analysis in mouse cell line NIH-3T3 and rat cell line NBT-II.
Immunocytochemistry/ Immunofluorescence: SF3A1 Antibody [NBP1-87214]

Immunocytochemistry/ Immunofluorescence: SF3A1 Antibody [NBP1-87214]

Immunocytochemistry/Immunofluorescence: SF3A1 Antibody [NBP1-87214] - Staining of human cell line U-251 MG shows localization to nuclear speckles. Antibody staining is shown in green.
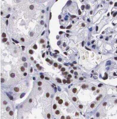
Immunohistochemistry-Paraffin: SF3A1 Antibody [NBP1-87214]

Immunohistochemistry-Paraffin: SF3A1 Antibody [NBP1-87214]

Immunohistochemistry-Paraffin: SF3A1 Antibody [NBP1-87214] - Staining of human cerebral cortex, colon, kidney and testis using Anti-SF3A1 antibody NBP1-87214 (A) shows similar protein distribution across tissues to independent antibody NBP1-87215 (B).

Applications for SF3A1 Antibody - BSA Free

Application
Recommended Usage

Immunocytochemistry/ Immunofluorescence

0.25-2 ug/ml

Immunohistochemistry

1:200 - 1:500

Immunohistochemistry-Paraffin

1:200 - 1:500

Western Blot

0.04-0.4 ug/ml
Application Notes
WB reported in scientific literature (PMID: 25586139). For IHC-Paraffin, HIER pH 6 retrieval is recommended. ICC/IF Fixation Permeabilization: Use PFA/Triton X-100.

Formulation, Preparation, and Storage

Purification

Affinity purified

Formulation

PBS (pH 7.2) and 40% Glycerol

Format

BSA Free

Preservative

0.02% Sodium Azide

Concentration

Concentrations vary lot to lot. See vial label for concentration. If unlisted please contact technical services.

Shipping

The product is shipped with polar packs. Upon receipt, store it immediately at the temperature recommended below.

Stability & Storage

Store at 4C short term. Aliquot and store at -20C long term. Avoid freeze-thaw cycles.

Background: SF3A1

SF3A1 encodes subunit 1 of the splicing factor 3a protein complex. The splicing factor 3a heterotrimer includes subunits 1, 2 and 3 and is necessary for the in vitro conversion of 15S U2 snRNP into an active 17S particle that performs pre-mRNA splicing. Subunit 1 belongs to the SURP protein family; named for the SURP (also called SWAP or Suppressor-of-White-APricot) motifs that are thought to mediate RNA binding. Subunit 1 has tandemly repeated SURP motifs in its amino-terminal half while its carboxy-terminal half contains a proline-rich region and a ubiquitin-like domain. Binding studies with truncated subunit 1 derivatives demonstrated that the two SURP motifs are necessary for binding to subunit 3 while contacts with subunit 2 may occur through sequences carboxy-terminal to the SURP motifs. Alternative splicing results in multiple transcript variants encoding different isoforms. [provided by RefSeq]

Alternate Names

pre-mRNA processing 21, pre-mRNA splicing factor SF3a (120 kDa subunit), PRP21, PRPF21, SAP 114, SAP114splicing factor 3a, subunit 1, 120kD, SF3a120, spliceosome associated protein 114, Spliceosome-associated protein 114, splicing factor 3 subunit 1, splicing factor 3A subunit 1, splicing factor 3a, subunit 1, 120kDa

Gene Symbol

SF3A1

Additional SF3A1 Products

Product Documents for SF3A1 Antibody - BSA Free

Certificate of Analysis

To download a Certificate of Analysis, please enter a lot number in the search box below.

Product Specific Notices for SF3A1 Antibody - BSA Free

This product is for research use only and is not approved for use in humans or in clinical diagnosis. Primary Antibodies are guaranteed for 1 year from date of receipt.

Loading...
Loading...
Loading...
Loading...