Skip to main content

SETDB1 Antibody - BSA Free

Novus Biologicals, part of Bio-Techne | Catalog # NBP2-20322

Novus Biologicals, part of Bio-Techne
Catalog #
Availability
Size / Price
Qty
Loading...
NBP2-20322

Key Product Details

Species Reactivity

Validated:

Human, Mouse

Cited:

Human

Predicted:

Bovine (94%), Rat (90%). Backed by our 100% Guarantee.

Applications

Validated:

Immunohistochemistry, Immunohistochemistry-Paraffin, Western Blot, Immunocytochemistry/ Immunofluorescence, Immunoprecipitation, Chromatin Immunoprecipitation (ChIP), Proximity Ligation Assay

Cited:

Western Blot, Immunocytochemistry/ Immunofluorescence, Immunoprecipitation, Chemotaxis, Proximity Ligation Assay

Label

Unconjugated

Antibody Source

Polyclonal Rabbit IgG

Format

BSA Free

Concentration

Concentrations vary lot to lot. See vial label for concentration. If unlisted please contact technical services.

Product Specifications

Immunogen

Recombinant protein encompassing a sequence within the center region of human SETDB1. The exact sequence is proprietary.

Localization

Nucleus

Clonality

Polyclonal

Host

Rabbit

Isotype

IgG

Theoretical MW

143 kDa.
Disclaimer note: The observed molecular weight of the protein may vary from the listed predicted molecular weight due to post translational modifications, post translation cleavages, relative charges, and other experimental factors.

Description

Novus Biologicals Rabbit SETDB1 Antibody - BSA Free (NBP2-20322) is a polyclonal antibody validated for use in IHC, WB, ICC/IF, IP and ChIP. Anti-SETDB1 Antibody: Cited in 2 publications. All Novus Biologicals antibodies are covered by our 100% guarantee.

Scientific Data Images for SETDB1 Antibody - BSA Free

Immunocytochemistry: SETDB1 Antibody [NBP2-20322]

Immunocytochemistry: SETDB1 Antibody [NBP2-20322]

Immunocytochemistry: SETDB1 Antibody [NBP2-20322] - Paraformaldehyde Fixed Human Dermal Microvascular Endothelial Cells were immunostained with 1:100 dilution of pAb. Image submitted by a verified customer review.
SETDB1 Antibody - BSA Free

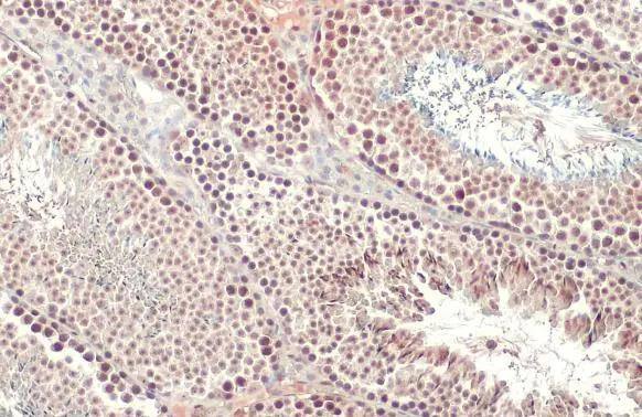
Immunohistochemistry-Paraffin: SETDB1 Antibody [NBP2-20322] -

SETDB1 antibody [N2C1], Internal detects SETDB1 protein at nucleus by immunohistochemical analysis.
Sample: Paraffin-embedded mouse testis.
SETDB1 stained by SETDB1 antibody [N2C1], Internal (NBP2-20322) diluted at 1:500.
Antigen Retrieval: Citrate buffer, pH 6.0, 15 min
SETDB1 Antibody - BSA Free

Western Blot: SETDB1 Antibody [NBP2-20322] -

HeLa whole cell and nuclear extracts (30 ug) were separated by 5% SDS-PAGE, and the membrane was blotted with SETDB1 antibody [N2C1], Internal (NBP2-20322) diluted at 1:1000. The HRP-conjugated anti-rabbit IgG antibody was used to detect the primary antibody.

Applications for SETDB1 Antibody - BSA Free

Application
Recommended Usage

Chromatin Immunoprecipitation (ChIP)

Assay dependent

Immunocytochemistry/ Immunofluorescence

Assay dependent

Immunohistochemistry

Assay dependent

Immunohistochemistry-Paraffin

Assay dependent

Immunoprecipitation

1:100-1:500

Proximity Ligation Assay

Reported in scientific literature (PMID:31682228)

Western Blot

1:500-1:3000

Reviewed Applications

Read 4 reviews rated 3.8 using NBP2-20322 in the following applications:

Formulation, Preparation, and Storage

Purification

Antigen Affinity-purified

Formulation

PBS, 20% Glycerol

Format

BSA Free

Preservative

0.025% Proclin 300

Concentration

Concentrations vary lot to lot. See vial label for concentration. If unlisted please contact technical services.

Shipping

The product is shipped with polar packs. Upon receipt, store it immediately at the temperature recommended below.

Stability & Storage

Aliquot and store at -20C or -80C. Avoid freeze-thaw cycles.

Background: SETDB1

This gene encodes a histone methyltransferase. The encoded enzyme catalyzes the reaction of S-adenosyl-L-methionine and histone L-lysine to produce S-adenosyl-L-homocysteine and histone N(6)-methyl-L-lysine. The encoded protein likely functions in transcriptional repression. Alternatively spliced transcript variants have been described.

Alternate Names

ERG-associated protein with SET domain, ESETEC 2.1.1.43, H3-K9-HMTase 4, Histone H3-K9 methyltransferase 4, histone-lysine N-methyltransferase SETDB1, histone-lysine N-methyltransferase, H3lysine-9 specific 4, KG1T, KIAA0067H3-K9-HMTase4, KMT1EERG-associated protein with a SET domain, ESET, Lysine N-methyltransferase 1E, SET domain bifurcated 1, SET domain, bifurcated 1

Gene Symbol

SETDB1

UniProt

Additional SETDB1 Products

Product Documents for SETDB1 Antibody - BSA Free

Certificate of Analysis

To download a Certificate of Analysis, please enter a lot number in the search box below.

Product Specific Notices for SETDB1 Antibody - BSA Free

This product is for research use only and is not approved for use in humans or in clinical diagnosis. Primary Antibodies are guaranteed for 1 year from date of receipt.

Loading...
Loading...
Loading...
Loading...

⚠ WARNING: This product can expose you to chemicals including mercury, which is known to the State of California to cause reproductive toxicity with developmental effects.  For more information go to www.P65Warnings.ca.gov.