Skip to main content

Seryl tRNA synthetase Antibody - BSA Free

Novus Biologicals, part of Bio-Techne | Catalog # NBP3-38321

Novus Biologicals, part of Bio-Techne
Catalog #
Availability
Size / Price
Qty
Loading...
NBP3-38321-20ul
NBP3-38321-100ul

Key Product Details

Species Reactivity

Human, Mouse, Rat

Applications

ELISA, Immunocytochemistry/ Immunofluorescence, Immunohistochemistry, Immunohistochemistry-Paraffin, Western Blot

Label

Unconjugated

Antibody Source

Polyclonal Rabbit IgG

Format

BSA Free

Concentration

Please see the vial label for concentration. If unlisted please contact technical services.

Product Specifications

Immunogen

Recombinant fusion protein containing a sequence corresponding to amino acids 1-300 of human Seryl tRNA synthetase (NP_006504.2).

Sequence:
MVLDLDLFRVDKGGDPALIRETQEKRFKDPGLVDQLVKADSEWRRCRFRADNLNKLKNLCSKTIGEKMKKKEPVGDDESVPENVLSFDDLTADALANLKVSQIKKVRLLIDEAILKCDAERIKLEAERFENLREIGNLLHPSVPISNDEDVDNKVERIWGDCTVRKKYSHVDLVVMVDGFEGEKGAVVAGSRGYFLKGVLVFLEQALIQYALRTLGSRGYIPIYTPFFMRKEVMQEVAQLSQFDEELYKVIGKGSEKSDDNSYDEKYLIATSEQPIAALHRDEWLRPEDLPIKYAGLSTC

Clonality

Polyclonal

Host

Rabbit

Isotype

IgG

Theoretical MW

59 kDa.
Disclaimer note: The observed molecular weight of the protein may vary from the listed predicted molecular weight due to post translational modifications, post translation cleavages, relative charges, and other experimental factors.

Description

Novus Biologicals Rabbit Seryl tRNA synthetase Antibody - BSA Free (NBP3-38321) is a polyclonal antibody validated for use in IHC, WB, ELISA and ICC/IF. All Novus Biologicals antibodies are covered by our 100% guarantee.

Scientific Data Images for Seryl tRNA synthetase Antibody - BSA Free

Seryl tRNA synthetase Antibody

Immunocytochemistry/ Immunofluorescence: Seryl tRNA synthetase Antibody [NBP3-38321] -

Immunocytochemistry/ Immunofluorescence: Seryl tRNA synthetase Antibody [NBP3-38321] - Immunofluorescence analysis of MCF7 cells using Seryl tRNA synthetase Rabbit pAb. Secondary antibody: Cy3-conjugated Goat anti-Rabbit IgG (H+L) at 1:500 dilution. Blue: DAPI for nuclear staining.
Seryl tRNA synthetase Antibody

Immunohistochemistry: Seryl tRNA synthetase Antibody [NBP3-38321] -

Immunohistochemistry: Seryl tRNA synthetase Antibody [NBP3-38321] - Immunohistochemistry analysis of paraffin-embedded Rat ovary using Seryl tRNA synthetase Rabbit pAb at dilution of 1:50 (40x lens). High pressure antigen retrieval performed with 0.01M Citrate Bufferr (pH 6.0) prior to IHC staining.
Seryl tRNA synthetase Antibody

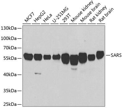
Western Blot: Seryl tRNA synthetase Antibody [NBP3-38321] -

Western Blot: Seryl tRNA synthetase Antibody [NBP3-38321] - Western blot analysis of various lysates using Seryl tRNA synthetase Rabbit pAb at 1:1000 dilution.
Secondary antibody: HRP-conjugated Goat anti-Rabbit IgG (H+L) at 1:10000 dilution.
Lysates/proteins: 25ug per lane.
Blocking buffer: 3% nonfat dry milk in TBST.
Detection: ECL Basic Kit.
Exposure time: 90s.

Applications for Seryl tRNA synthetase Antibody - BSA Free

Application
Recommended Usage

Immunocytochemistry/ Immunofluorescence

1:50 - 1:200

Immunohistochemistry-Paraffin

1:50 - 1:200

Western Blot

1:500 - 1:2000

Formulation, Preparation, and Storage

Purification

Affinity purified

Formulation

PBS (pH 7.3), 50% glycerol

Format

BSA Free

Preservative

0.02% Sodium Azide

Concentration

Please see the vial label for concentration. If unlisted please contact technical services.

Shipping

The product is shipped with polar packs. Upon receipt, store it immediately at the temperature recommended below.

Stability & Storage

Store at -20C. Avoid freeze-thaw cycles.

Background: Seryl tRNA synthetase

Seryl-tRNA synthetase belongs to the class II amino-acyl tRNA family. The encoded enzyme catalyzes the transfer of L-serine to tRNA (Ser) and is related to bacterial and yeast counterparts.

Alternate Names

EC 6.1.1.11, FLJ36399, serine-tRNA ligase, Serine--tRNA ligase, SerRS, SERSserine tRNA ligase 1, cytoplasmic, Seryl-tRNA Ser/Sec synthetase, seryl-tRNA synthetase, seryl-tRNA synthetase, cytoplasmic, Seryl-tRNA(Ser/Sec) synthetase

Gene Symbol

SARS

Additional Seryl tRNA synthetase Products

Product Documents for Seryl tRNA synthetase Antibody - BSA Free

Certificate of Analysis

To download a Certificate of Analysis, please enter a lot number in the search box below.

Product Specific Notices for Seryl tRNA synthetase Antibody - BSA Free

This product is for research use only and is not approved for use in humans or in clinical diagnosis. Primary Antibodies are guaranteed for 1 year from date of receipt.

Loading...
Loading...
Loading...
Loading...