Skip to main content

Seryl tRNA synthetase Antibody (1H4) - Azide and BSA Free

Novus Biologicals, part of Bio-Techne | Catalog # H00006301-M01

Novus Biologicals, part of Bio-Techne
Catalog #
Availability
Size / Price
Qty
Loading...
H00006301-M01

Key Product Details

Species Reactivity

Human, Mouse, Zebrafish

Applications

Immunohistochemistry, Immunohistochemistry-Paraffin, Western Blot, ELISA, Immunocytochemistry/ Immunofluorescence, Immunoprecipitation, Chromatin Immunoprecipitation (ChIP), Knockdown Validated

Label

Unconjugated

Antibody Source

Monoclonal Mouse IgG2a Kappa Clone # 1H4

Format

Azide and BSA Free

Concentration

Concentrations vary lot to lot. See vial label for concentration. If unlisted please contact technical services.

Product Specifications

Immunogen

SARS (AAH00716, 1 a.a. ~ 514 a.a) full-length recombinant protein with GST tag. MW of the GST tag alone is 26 KDa. MVLDLDLFRVDKGGDPALIRETQEKRFKDPGLVDQLVKADSEWRRCRFRADNLNKLKNLCSKTIGEKMKKKEPVGDDESVPENVLSFDDLTADALANLKVSQIKKVRLLIDEAILKCDAERIKLEAERFENLREIGNLLHPSVPISNDEDVDNKVERIWGDCTVRKKYSHVDLVVMVDGFEGEKGAVVAGSRGYFLKGVLVFLEQALIQYALRTLGSRGYIPIYTPFFMRKEVMQEVAQLSQFDEELYKVIGKGSEKSDDNSYDEKYLIATSEQPIAALHRDEWLRPEDLPIKYAGLSTCFRQEVGSHGRDTRGIFRVHQFEKIEQFVYSSPHDNKSWEMFEEMITTAEEFYQSLGIPYHIVNIVSGSLNHAASKKLDLEAWFPGSGAFRELVSCSNCTDYQARRLRIRYGQTKKMMDKVEFVHMLNATMCATTRTICAILENYQTEKGITVPEKLKEFMPPGLQELIPFVKPAPIEQEPSKKQKKQHEGSKKKAAARDVTLENRLQNMEVTDA

Specificity

SARS - seryl-tRNA synthetase

Clonality

Monoclonal

Host

Mouse

Isotype

IgG2a Kappa

Description

Quality control test: Antibody Reactive Against Recombinant Protein.

Scientific Data Images for Seryl tRNA synthetase Antibody (1H4) - Azide and BSA Free

Western Blot: Seryl tRNA synthetase Antibody (1H4) [H00006301-M01]

Western Blot: Seryl tRNA synthetase Antibody (1H4) [H00006301-M01]

Western Blot: Seryl tRNA synthetase Antibody (1H4) [H00006301-M01] - SARS monoclonal antibody (M01), clone 1H4 Analysis of SARS expression in Jurkat.
Immunocytochemistry/ Immunofluorescence: Seryl tRNA synthetase Antibody (1H4) [H00006301-M01]

Immunocytochemistry/ Immunofluorescence: Seryl tRNA synthetase Antibody (1H4) [H00006301-M01]

Immunocytochemistry/Immunofluorescence: Seryl tRNA synthetase Antibody (1H4) [H00006301-M01] - Analysis of monoclonal antibody to SARS on HeLa cell. Antibody concentration 25 ug/ml.
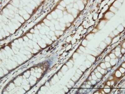
Immunohistochemistry-Paraffin: Seryl tRNA synthetase Antibody (1H4) [H00006301-M01]

Immunohistochemistry-Paraffin: Seryl tRNA synthetase Antibody (1H4) [H00006301-M01]

Immunohistochemistry-Paraffin: Seryl tRNA synthetase Antibody (1H4) [H00006301-M01] - Analysis of monoclonal antibody to SARS on formalin-fixed paraffin-embedded human colon tissue. Antibody concentration 3 ug/ml.

Applications for Seryl tRNA synthetase Antibody (1H4) - Azide and BSA Free

Application
Recommended Usage

Chromatin Immunoprecipitation (ChIP)

Optimal dilutions of this antibody should be experimentally determined.

ELISA

Optimal dilutions of this antibody should be experimentally determined.

Immunocytochemistry/ Immunofluorescence

Optimal dilutions of this antibody should be experimentally determined.

Immunohistochemistry

Optimal dilutions of this antibody should be experimentally determined.

Immunohistochemistry-Paraffin

Optimal dilutions of this antibody should be experimentally determined.

Immunoprecipitation

Optimal dilutions of this antibody should be experimentally determined.

Knockdown Validated

Optimal dilutions of this antibody should be experimentally determined.

Western Blot

Optimal dilutions of this antibody should be experimentally determined.
Application Notes
Antibody reactivity against recominant protein and cell lysate for WB. It has been used for IF, IHC-P, RNAi Validation and ELISA.

Formulation, Preparation, and Storage

Purification

IgG purified

Formulation

In 1x PBS, pH 7.4

Format

Azide and BSA Free

Preservative

No Preservative

Concentration

Concentrations vary lot to lot. See vial label for concentration. If unlisted please contact technical services.

Shipping

The product is shipped with polar packs. Upon receipt, store it immediately at the temperature recommended below.

Stability & Storage

Aliquot and store at -20C or -80C. Avoid freeze-thaw cycles.

Background: Seryl tRNA synthetase

This gene belongs to the class II amino-acyl tRNA family. The encoded enzyme catalyzes the transfer of L-serine to tRNA (Ser) and is related to bacterial and yeast counterparts.

Alternate Names

EC 6.1.1.11, FLJ36399, serine-tRNA ligase, Serine--tRNA ligase, SerRS, SERSserine tRNA ligase 1, cytoplasmic, Seryl-tRNA Ser/Sec synthetase, seryl-tRNA synthetase, seryl-tRNA synthetase, cytoplasmic, Seryl-tRNA(Ser/Sec) synthetase

Entrez Gene IDs

6301 (Human)

Gene Symbol

SARS

OMIM

607529 (Human)

Additional Seryl tRNA synthetase Products

Product Documents for Seryl tRNA synthetase Antibody (1H4) - Azide and BSA Free

Certificate of Analysis

To download a Certificate of Analysis, please enter a lot number in the search box below.

Product Specific Notices for Seryl tRNA synthetase Antibody (1H4) - Azide and BSA Free

This product is produced by and distributed for Abnova, a company based in Taiwan.

This product is for research use only and is not approved for use in humans or in clinical diagnosis. Primary Antibodies are guaranteed for 1 year from date of receipt.

Loading...
Loading...
Loading...
Loading...