Skip to main content

SERPINB1 Antibody - BSA Free

Novus Biologicals, part of Bio-Techne | Catalog # NBP1-89072

Novus Biologicals, part of Bio-Techne
Catalog #
Availability
Size / Price
Qty
Loading...
NBP1-89072
NBP1-89072-25ul

Key Product Details

Validated by

Orthogonal Validation, Independent Antibodies

Species Reactivity

Validated:

Human

Cited:

Human

Applications

Validated:

Immunohistochemistry, Immunohistochemistry-Paraffin, Western Blot

Cited:

IF/IHC

Label

Unconjugated

Antibody Source

Polyclonal Rabbit IgG

Format

BSA Free

Concentration

Concentrations vary lot to lot. See vial label for concentration. If unlisted please contact technical services.

Product Specifications

Immunogen

This antibody was developed against Recombinant Protein corresponding to amino acids: GNWKDKFMKEATTNAPFRLNKKDRKTVKMMYQKKKFAYGYIEDLKCRVLELPYQGEELSMVILLPDDIEDESTGLKKIEEQLTLEKLHEWTKPENLDFIEVNVSLPRFK

Clonality

Polyclonal

Host

Rabbit

Isotype

IgG

Description

Novus Biologicals Rabbit SERPINB1 Antibody - BSA Free (NBP1-89072) is a polyclonal antibody validated for use in IHC and WB. Anti-SERPINB1 Antibody: Cited in 1 publication. All Novus Biologicals antibodies are covered by our 100% guarantee.

Scientific Data Images for SERPINB1 Antibody - BSA Free

Western Blot: SERPINB1 Antibody [NBP1-89072]

Western Blot: SERPINB1 Antibody [NBP1-89072]

Western Blot: SERPINB1 Antibody [NBP1-89072] - Analysis using Anti-SERPINB1 antibody NBP1-89072 (A) shows similar pattern to independent antibody NBP2-49056 (B).
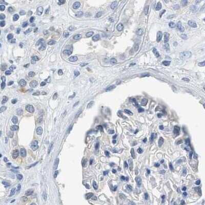
Immunohistochemistry-Paraffin: SERPINB1 Antibody [NBP1-89072]

Immunohistochemistry-Paraffin: SERPINB1 Antibody [NBP1-89072]

Immunohistochemistry-Paraffin: SERPINB1 Antibody [NBP1-89072] - Staining of human kidney.
Western Blot: SERPINB1 Antibody [NBP1-89072]

Western Blot: SERPINB1 Antibody [NBP1-89072]

Western Blot: SERPINB1 Antibody [NBP1-89072] - Analysis in human cell lines SK-MEL-30 and U-251MG using anti-SERPINB1 antibody. Corresponding SERPINB1 RNA-seq data are presented for the same cell lines. Loading control: anti-HDAC1.

Applications for SERPINB1 Antibody - BSA Free

Application
Recommended Usage

Immunohistochemistry

1:2500 - 1:5000

Immunohistochemistry-Paraffin

1:2500 - 1:5000

Western Blot

0.04-0.4 ug/ml
Application Notes
For IHC-Paraffin, HIER pH 6 retrieval is recommended.

Formulation, Preparation, and Storage

Purification

Affinity purified

Formulation

PBS (pH 7.2) and 40% Glycerol

Format

BSA Free

Preservative

0.02% Sodium Azide

Concentration

Concentrations vary lot to lot. See vial label for concentration. If unlisted please contact technical services.

Shipping

The product is shipped with polar packs. Upon receipt, store it immediately at the temperature recommended below.

Stability & Storage

Store at 4C short term. Aliquot and store at -20C long term. Avoid freeze-thaw cycles.

Background: SERPINB1

Regulates the activity of the neutrophil proteases elastase, cathepsin G, proteinase-3, chymase,chymotrypsin, and kallikrein-3

Alternate Names

EILEI, ELANH2MNEI, elastase, leukocyte elastase inhibitor, Monocyte/neutrophil elastase inhibitor, Peptidase inhibitor 2, PI-2, PI2M/NEI, protease inhibitor 2 (elastase), monocyte/neutrophil derived, serine (or cysteine) proteinase inhibitor, clade B (ovalbumin), member 1, Serpin B1, serpin peptidase inhibitor, clade B (ovalbumin), member 1

Gene Symbol

SERPINB1

Additional SERPINB1 Products

Product Documents for SERPINB1 Antibody - BSA Free

Certificate of Analysis

To download a Certificate of Analysis, please enter a lot number in the search box below.

Product Specific Notices for SERPINB1 Antibody - BSA Free

This product is for research use only and is not approved for use in humans or in clinical diagnosis. Primary Antibodies are guaranteed for 1 year from date of receipt.

Loading...
Loading...
Loading...
Loading...