SERPINB1 Antibody (OTI3B4) - Azide and BSA Free
Novus Biologicals, part of Bio-Techne | Catalog # NBP2-74123
Conjugate
Catalog #
Key Product Details
Species Reactivity
Human, Rat, Canine, Monkey, Primate
Applications
Immunohistochemistry, Immunohistochemistry-Paraffin, Western Blot, Flow Cytometry, CyTOF-ready
Label
Unconjugated
Antibody Source
Monoclonal Mouse IgG2B Clone # OTI3B4
Format
Azide and BSA Free
Concentration
LYOPH mg/ml
Product Specifications
Immunogen
Human recombinant protein fragment corresponding to amino acids 77-306 of human SERPINB1 (NP_109591) produced in E.coli.
Clonality
Monoclonal
Host
Mouse
Isotype
IgG2B
Theoretical MW
42.6 kDa.
Disclaimer note: The observed molecular weight of the protein may vary from the listed predicted molecular weight due to post translational modifications, post translation cleavages, relative charges, and other experimental factors.
Disclaimer note: The observed molecular weight of the protein may vary from the listed predicted molecular weight due to post translational modifications, post translation cleavages, relative charges, and other experimental factors.
Description
Novus Biologicals Mouse SERPINB1 Antibody (OTI3B4) - Azide and BSA Free (NBP2-03828) is a monoclonal antibody validated for use in IHC, WB and Flow. All Novus Biologicals antibodies are covered by our 100% guarantee.
Scientific Data Images for SERPINB1 Antibody (OTI3B4) - Azide and BSA Free
Western Blot: SERPINB1 Antibody (OTI3B4)Azide and BSA Free [NBP2-74123]
Western Blot: SERPINB1 Antibody (OTI3B4) - Azide and BSA Free [NBP2-74123] - HEK293T cells were transfected with the pCMV6-ENTRY control (Left lane) or pCMV6-ENTRY SERPINB1 (Right lane) cDNA for 48 hrs and lysed. Equivalent amounts of cell lysates (5 ug per lane) were separated by SDS-PAGE and immunoblotted with anti-SERPINB1.Immunohistochemistry: SERPINB1 Antibody (OTI3B4) - Azide and BSA Free [NBP2-74123]
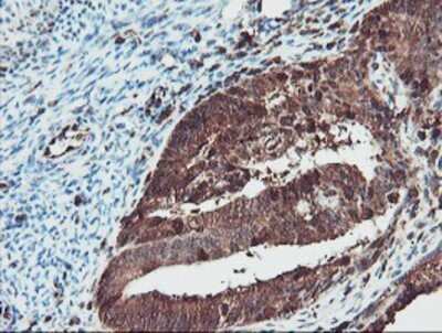
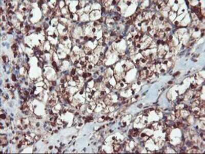
Immunohistochemistry: SERPINB1 Antibody (OTI3B4) - Azide and BSA Free [NBP2-74123] - Staining of paraffin-embedded Human pancreas tissue using anti-SERPINB1 mouse monoclonal antibody.Flow Cytometry: SERPINB1 Antibody (OTI3B4) - Azide and BSA Free [NBP2-74123]
Flow Cytometry: SERPINB1 Antibody (OTI3B4) - Azide and BSA Free [NBP2-74123] - Analysis of Hela cells, using anti-SERPINB1 antibody, (Red), compared to a nonspecific negative control antibody, (Blue).Applications for SERPINB1 Antibody (OTI3B4) - Azide and BSA Free
Application
Recommended Usage
Flow Cytometry
1:100
Immunohistochemistry
1:150
Western Blot
1:500-2000
Formulation, Preparation, and Storage
Purification
Immunogen affinity purified
Reconstitution
we recommend adding 100uL distilled water to a final antibody concentration of about 1 mg/mL. To use this carrier-free antibody for conjugation experiment, we strongly recommend performing another round of desalting process.
Formulation
Lyophilized from PBS (pH 7.3) with 8% Trehalose
Format
Azide and BSA Free
Preservative
No Preservative
Concentration
LYOPH mg/ml
Shipping
The product is shipped with polar packs. Upon receipt, store it immediately at the temperature recommended below.
Stability & Storage
Store at -20C. Avoid freeze-thaw cycles.
Background: SERPINB1
Alternate Names
EILEI, ELANH2MNEI, elastase, leukocyte elastase inhibitor, Monocyte/neutrophil elastase inhibitor, Peptidase inhibitor 2, PI-2, PI2M/NEI, protease inhibitor 2 (elastase), monocyte/neutrophil derived, serine (or cysteine) proteinase inhibitor, clade B (ovalbumin), member 1, Serpin B1, serpin peptidase inhibitor, clade B (ovalbumin), member 1
Gene Symbol
SERPINB1
Additional SERPINB1 Products
Product Documents for SERPINB1 Antibody (OTI3B4) - Azide and BSA Free
Product Specific Notices for SERPINB1 Antibody (OTI3B4) - Azide and BSA Free
This product is for research use only and is not approved for use in humans or in clinical diagnosis. Primary Antibodies are guaranteed for 1 year from date of receipt.
Loading...
Loading...
Loading...
Loading...
Loading...
Loading...