Skip to main content

Serpin I2 Antibody

Novus Biologicals, part of Bio-Techne | Catalog # NB100-1782

Novus Biologicals, part of Bio-Techne
Catalog #
Availability
Size / Price
Qty
Loading...
NB100-1782

Key Product Details

Species Reactivity

Validated:

Human

Predicted:

Canine (100%), Mouse (100%), Rat (100%). Backed by our 100% Guarantee.

Applications

Immunohistochemistry, Immunohistochemistry-Paraffin, Western Blot, Peptide ELISA

Label

Unconjugated

Antibody Source

Polyclonal Goat IgG

Concentration

0.5 mg/ml

Product Specifications

Immunogen

Peptide with sequence C-KGDWKQKFRKEDTQ corresponding to internal region according to NP_001012303.1.

Specificity

This antibody is expected to recognise both reported isoforms (NP_006208.1; NP_001012303.1).

Clonality

Polyclonal

Host

Goat

Isotype

IgG

Scientific Data Images for Serpin I2 Antibody

Western Blot: Serpin I2 Antibody [NB100-1782]

Western Blot: Serpin I2 Antibody [NB100-1782]

Western Blot: Serpin I2 Antibody [NB100-1782] - Staining of Human Pancreas lysate with antibody at 0.3 ug/mL (35 ug protein in RIPA buffer). Detected by chemiluminescence.
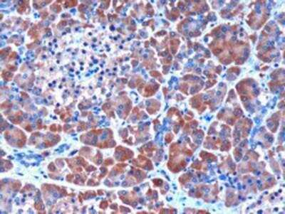
Immunohistochemistry-Paraffin: Serpin I2 Antibody [NB100-1782]

Immunohistochemistry-Paraffin: Serpin I2 Antibody [NB100-1782]

Immunohistochemistry-Paraffin: Serpin I2 Antibody [NB100-1782] - Staining of paraffin embedded Human Pancreas. Antibody at 3 ug/mL. Microwaved antigen retrieval with citrate buffer pH 6, HRP-staining.

Applications for Serpin I2 Antibody

Application
Recommended Usage

Immunohistochemistry

3 ug/mL

Immunohistochemistry-Paraffin

3 ug/mL

Peptide ELISA

Detection limit 1:64000

Western Blot

0.3 - 1 ug/mL
Application Notes
WB: Approx. 40 kDa band observed in human pancreas lysates (calculated MW of 46.1 kDa band according to NP_006208.1 and 47.4 kDa band according to NP_001012303.1). IHC-P: Human pancreas show cytoplasmic staining of acinar cels and of rare cells in the islets of langerhans.

Formulation, Preparation, and Storage

Purification

Immunogen affinity purified

Formulation

Tris saline (20 mM Tris pH 7.3, 150 mM NaCl), 0.5% BSA

Preservative

0.02% Sodium Azide

Concentration

0.5 mg/ml

Shipping

The product is shipped with polar packs. Upon receipt, store it immediately at the temperature recommended below.

Stability & Storage

Store at -20C. Avoid freeze-thaw cycles.

Background: Serpin I2

The protein encoded by this gene is a member of the serine protease inhibitor (serpin) superfamily made up of proteins which play central roles in the regulation of a wide variety of physiological processes, including coagulation, fibrinolysis, development, malignancy and inflammation. The gene product may have a role in a growth-control, possibly growth-suppressing pathway and, when impaired, may be involved in pancreatic carcinogenesis. The protein is a member of the plasminogen activator inhibitor-1 family, a subset of the serpin superfamily whose members act as tissue-specific tPA inhibitors. Two alternatively spliced transcript variants encoding distinct protein isoforms have been found for this gene.

Alternate Names

MEPI, Pancipin, PI14

Entrez Gene IDs

5276 (Human); 67931 (Mouse); 171149 (Rat)

Gene Symbol

SERPINI2

Additional Serpin I2 Products

Product Documents for Serpin I2 Antibody

Certificate of Analysis

To download a Certificate of Analysis, please enter a lot number in the search box below.

Product Specific Notices for Serpin I2 Antibody

This product is for research use only and is not approved for use in humans or in clinical diagnosis. Primary Antibodies are guaranteed for 1 year from date of receipt.

Loading...
Loading...
Loading...
Loading...