Skip to main content

Serpin A12 Antibody (VP63) - Azide and BSA Free

Novus Biologicals, part of Bio-Techne | Catalog # NBP2-80041

Novus Biologicals, part of Bio-Techne

Key Product Details

Species Reactivity

Human

Applications

Immunohistochemistry, Immunohistochemistry-Frozen, Western Blot, ELISA

Label

Unconjugated

Antibody Source

Monoclonal Mouse IgG1 kappa Clone # VP63

Format

Azide and BSA Free

Concentration

1 mg/ml

Product Specifications

Immunogen

Recombinant human Serpin A12.

Specificity

Recognizes human Serpin A12. Detects a band of ~48kDa by Western blot.

Clonality

Monoclonal

Host

Mouse

Isotype

IgG1 kappa

Description

Novus Biologicals Mouse Serpin A12 Antibody (VP63) - Azide and BSA Free (NBP2-80041) is a monoclonal antibody validated for use in IHC, WB and ELISA. All Novus Biologicals antibodies are covered by our 100% guarantee.

Scientific Data Images for Serpin A12 Antibody (VP63) - Azide and BSA Free

Western Blot: Serpin A12 Antibody (VP63)Azide and BSA Free [NBP2-80041]

Western Blot: Serpin A12 Antibody (VP63)Azide and BSA Free [NBP2-80041]

Western Blot: Serpin A12 Antibody (VP63) [NBP2-80041] - Western blot analysis using anti-Serpin A12 (human), mAb (VP63) at 1:1000 dilution. 1: Human vaspin (His-tagged). 2: Human vaspin (FLAG-tagged). 3: Mouse IL-33 (His-tagged) (negative control).
Immunohistochemistry: Serpin A12 Antibody (VP63) - Azide and BSA Free [NBP2-80041]

Immunohistochemistry: Serpin A12 Antibody (VP63) - Azide and BSA Free [NBP2-80041]

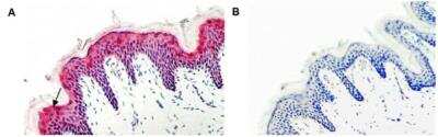
Immunohistochemistry: Serpin A12 Antibody (VP63) [NBP2-80041] - Immunohistochemical staining of vaspin with anti-Serpin A12 (human), mAb (VP63) in healthy skin (A). Arrow - stronger staining in Stratum granulosum. Negative control for vaspin in healthy skin (B). Blue hematoxylin stained cell nuclei.
Immunohistochemistry: Serpin A12 Antibody (VP63) - Azide and BSA Free [NBP2-80041]

Immunohistochemistry: Serpin A12 Antibody (VP63) - Azide and BSA Free [NBP2-80041]

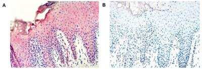
Immunohistochemistry: Serpin A12 Antibody (VP63) [NBP2-80041] - Immunohistochemical staining of vaspin with anti-Serpin A12 (human), mAb (VP63) in psoriatic skin lesions (A). Negative control for vaspin in psoriatic skin lesions (B). Blue hematoxylin stained cell nuclei.

Applications for Serpin A12 Antibody (VP63) - Azide and BSA Free

Application
Recommended Usage

ELISA

1:2000 - 1:5000

Immunohistochemistry-Frozen

1:100

Western Blot

1:2000 - 1:5000
Application Notes
Western blot: 1:2000-1:5000 using ECL. Suggested blocking and dilution buffer is PBST with 0.05% Tween 20 and 5% skim milk. Suggested incubation time is 1 hour at rooom temperature.

Formulation, Preparation, and Storage

Purification

Protein G purified

Formulation

0.2 um-filtered solution in PBS, pH 7.4

Format

Azide and BSA Free

Preservative

No Preservative

Concentration

1 mg/ml

Shipping

The product is shipped with polar packs. Upon receipt, store it immediately at the temperature recommended below.

Stability & Storage

Store at 4C short term. Aliquot and store at -20C long term. Avoid freeze-thaw cycles.

Background: Serpin A12

SERPINA12 may modulates insulin action conceivably only in the presence of its yet undefined target proteases in whiteadipose tissues

Alternate Names

OL-64, Vaspin

Gene Symbol

SERPINA12

Additional Serpin A12 Products

Product Documents for Serpin A12 Antibody (VP63) - Azide and BSA Free

Certificate of Analysis

To download a Certificate of Analysis, please enter a lot number in the search box below.

Product Specific Notices for Serpin A12 Antibody (VP63) - Azide and BSA Free

This product is for research use only and is not approved for use in humans or in clinical diagnosis. Primary Antibodies are guaranteed for 1 year from date of receipt.

Loading...
Loading...
Loading...
Loading...