Skip to main content

Serine Dehydratase Antibody (OTI3D3) - Azide and BSA Free

Novus Biologicals, part of Bio-Techne | Catalog # NBP2-74074

Novus Biologicals, part of Bio-Techne
Catalog #
Availability
Size / Price
Qty
Loading...
NBP2-74074

Key Product Details

Species Reactivity

Human

Applications

Immunohistochemistry, Immunohistochemistry-Paraffin, Western Blot, Flow Cytometry, Immunocytochemistry/ Immunofluorescence, CyTOF-ready

Label

Unconjugated

Antibody Source

Monoclonal Mouse IgG1 Clone # OTI3D3

Format

Azide and BSA Free

Concentration

LYOPH mg/ml

Product Specifications

Immunogen

Full length human recombinant protein of human SDS(NP_006834) produced in HEK293T cell.

Clonality

Monoclonal

Host

Mouse

Isotype

IgG1

Theoretical MW

34.4 kDa.
Disclaimer note: The observed molecular weight of the protein may vary from the listed predicted molecular weight due to post translational modifications, post translation cleavages, relative charges, and other experimental factors.

Description

Novus Biologicals Mouse Serine Dehydratase Antibody (OTI3D3) - Azide and BSA Free (NBP2-01506) is a monoclonal antibody validated for use in IHC, WB, Flow and ICC/IF. All Novus Biologicals antibodies are covered by our 100% guarantee.

Scientific Data Images for Serine Dehydratase Antibody (OTI3D3) - Azide and BSA Free

Western Blot: Serine Dehydratase Antibody (OTI3D3)Azide and BSA Free [NBP2-74074]

Western Blot: Serine Dehydratase Antibody (OTI3D3)Azide and BSA Free [NBP2-74074]

Western Blot: Serine Dehydratase Antibody (OTI3D3) - Azide and BSA Free [NBP2-74074] - HEK293T cells were transfected with the pCMV6-ENTRY control (Left lane) or pCMV6-ENTRY Serine Dehydratase (Right lane) cDNA for 48 hrs and lysed. Equivalent amounts of cell lysates (5 ug per lane) were separated by Serine Dehydratase-PAGE and immunoblotte
Immunocytochemistry/ Immunofluorescence: Serine Dehydratase Antibody (OTI3D3) - Azide and BSA Free [NBP2-74074]

Immunocytochemistry/ Immunofluorescence: Serine Dehydratase Antibody (OTI3D3) - Azide and BSA Free [NBP2-74074]

Immunocytochemistry/Immunofluorescence: Serine Dehydratase Antibody (OTI3D3) - Azide and BSA Free [NBP2-74074] - Staining of COS7 cells transiently transfected by pCMV6-ENTRY Serine Dehydratase.
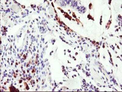
Immunohistochemistry: Serine Dehydratase Antibody (OTI3D3) - Azide and BSA Free [NBP2-74074]

Immunohistochemistry: Serine Dehydratase Antibody (OTI3D3) - Azide and BSA Free [NBP2-74074]

Immunohistochemistry: Serine Dehydratase Antibody (OTI3D3) - Azide and BSA Free [NBP2-74074] - Staining of paraffin-embedded Adenocarcinoma of Human colon tissue using anti-Serine Dehydratase mouse monoclonal antibody.

Applications for Serine Dehydratase Antibody (OTI3D3) - Azide and BSA Free

Application
Recommended Usage

Flow Cytometry

1:100

Immunocytochemistry/ Immunofluorescence

1:100

Immunohistochemistry

1:150

Western Blot

1:2000

Formulation, Preparation, and Storage

Purification

Immunogen affinity purified

Reconstitution

we recommend adding 100uL distilled water to a final antibody concentration of about 1 mg/mL. To use this carrier-free antibody for conjugation experiment, we strongly recommend performing another round of desalting process.

Formulation

Lyophilized from PBS (pH 7.3) with 8% Trehalose

Format

Azide and BSA Free

Preservative

No Preservative

Concentration

LYOPH mg/ml

Shipping

The product is shipped with polar packs. Upon receipt, store it immediately at the temperature recommended below.

Stability & Storage

Store at -20C. Avoid freeze-thaw cycles.

Background: Serine Dehydratase

Serine Dehydratase encodes one of three enzymes that are involved in metabolizing serine and glycine. L-serine dehydratase converts L-serine to pyruvate and ammonia and requires pyridoxal phosphate as a cofactor. The encoded protein can also metabolize threonine to NH4+ and 2-ketobutyrate. The encoded protein is found predominantly in the liver. [provided by RefSeq]

Alternate Names

EC 4.3.1.17, EC 4.3.1.19, L-serine ammonia-lyase, L-serine deaminase, L-serine dehydratase/L-threonine deaminase, L-threonine dehydratase, SDHL-serine dehydratase, serine dehydratase, TDH

Gene Symbol

SDS

Additional Serine Dehydratase Products

Product Documents for Serine Dehydratase Antibody (OTI3D3) - Azide and BSA Free

Certificate of Analysis

To download a Certificate of Analysis, please enter a lot number in the search box below.

Product Specific Notices for Serine Dehydratase Antibody (OTI3D3) - Azide and BSA Free

This product is for research use only and is not approved for use in humans or in clinical diagnosis. Primary Antibodies are guaranteed for 1 year from date of receipt.

Loading...
Loading...
Loading...
Loading...
Loading...
Loading...