SERINC3 Antibody - BSA Free
Novus Biologicals, part of Bio-Techne | Catalog # NBP3-45390
Key Product Details
Species Reactivity
Human, Mouse, Rat
Applications
Immunohistochemistry, Western Blot, ELISA
Label
Unconjugated
Antibody Source
Polyclonal Rabbit IgG
Format
BSA Free
Concentration
Please see the vial label for concentration. If unlisted please contact technical services.
Product Specifications
Immunogen
serine incorporator 3. (Uniprot# Q13530)
Clonality
Polyclonal
Host
Rabbit
Isotype
IgG
Theoretical MW
67 kDa.
Disclaimer note: The observed molecular weight of the protein may vary from the listed predicted molecular weight due to post translational modifications, post translation cleavages, relative charges, and other experimental factors.
Disclaimer note: The observed molecular weight of the protein may vary from the listed predicted molecular weight due to post translational modifications, post translation cleavages, relative charges, and other experimental factors.
Description
Novus Biologicals Rabbit SERINC3 Antibody - BSA Free (NBP3-45390) is a polyclonal antibody validated for use in IHC, WB and ELISA. All Novus Biologicals antibodies are covered by our 100% guarantee.
Scientific Data Images for SERINC3 Antibody - BSA Free
Western Blot: SERINC3 Antibody - BSA Free [NBP3-45390] -
Western Blot: SERINC3 Antibody - BSA Free [NBP3-45390] - Mouse pancreas tissue were subjected to SDS PAGE followed by western blot with (SERINC3 antibody) at dilution of 1:500Immunohistochemistry: SERINC3 Antibody - BSA Free [NBP3-45390] -
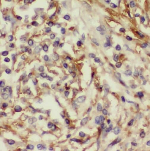
Immunohistochemistry: SERINC3 Antibody - BSA Free [NBP3-45390] - Immunohistochemistry of paraffin-embedded human lung cancer using (SERINC3 antibody) at dilution of 1:50Applications for SERINC3 Antibody - BSA Free
Application
Recommended Usage
Immunohistochemistry
1:20-1:200
Western Blot
1:500-1:2000
Formulation, Preparation, and Storage
Purification
Immunogen affinity purified
Formulation
PBS, 50% Glycerol, pH (7.3)
Format
BSA Free
Preservative
0.02% Sodium Azide
Concentration
Please see the vial label for concentration. If unlisted please contact technical services.
Shipping
The product is shipped with polar packs. Upon receipt, store it immediately at the temperature recommended below.
Stability & Storage
Store at -20C. Avoid freeze-thaw cycles.
Background: SERINC3
Alternate Names
AIGP1, DIFF33tumor differentially expressed 1, placental transmembrane protein (mouse testicular tumor differentiallyexpressed), SBBI99, serine incorporator 3, TDE, TDE1Tumor differentially expressed protein 1, TMS-1, transmembrane protein SBBI99, tumour differentially expressed 1
Gene Symbol
SERINC3
Additional SERINC3 Products
Product Documents for SERINC3 Antibody - BSA Free
Product Specific Notices for SERINC3 Antibody - BSA Free
This product is for research use only and is not approved for use in humans or in clinical diagnosis. Primary Antibodies are guaranteed for 1 year from date of receipt.
Loading...
Loading...
Loading...
Loading...