Skip to main content

SERINC1 Antibody - BSA Free

Novus Biologicals, part of Bio-Techne | Catalog # NBP3-45392

Novus Biologicals, part of Bio-Techne
Catalog #
Availability
Size / Price
Qty
Loading...
NBP3-45392

Key Product Details

Species Reactivity

Human

Applications

Immunohistochemistry, Western Blot, ELISA

Label

Unconjugated

Antibody Source

Polyclonal Rabbit IgG

Format

BSA Free

Concentration

Please see the vial label for concentration. If unlisted please contact technical services.

Product Specifications

Immunogen

serine incorporator 1. (Uniprot# Q9NRX5)

Clonality

Polyclonal

Host

Rabbit

Isotype

IgG

Theoretical MW

65 kDa.
Disclaimer note: The observed molecular weight of the protein may vary from the listed predicted molecular weight due to post translational modifications, post translation cleavages, relative charges, and other experimental factors.

Description

Novus Biologicals Rabbit SERINC1 Antibody - BSA Free (NBP3-45392) is a polyclonal antibody validated for use in IHC, WB and ELISA. All Novus Biologicals antibodies are covered by our 100% guarantee.

Scientific Data Images for SERINC1 Antibody - BSA Free

SERINC1 Antibody - BSA Free

Western Blot: SERINC1 Antibody - BSA Free [NBP3-45392] -

Western Blot: SERINC1 Antibody - BSA Free [NBP3-45392] - HeLa cells were subjected to SDS PAGE followed by western blot with (SERINC1 antibody) at dilution of 1:100
SERINC1 Antibody - BSA Free

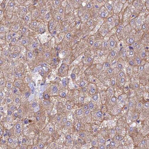
Immunohistochemistry: SERINC1 Antibody - BSA Free [NBP3-45392] -

Immunohistochemistry: SERINC1 Antibody - BSA Free [NBP3-45392] - Immunohistochemistry of paraffin-embedded human liver cancer using (SERINC1 antibody) at dilution of 1:50

Applications for SERINC1 Antibody - BSA Free

Application
Recommended Usage

Immunohistochemistry

1:20-1:200

Western Blot

1:500-1:2000

Formulation, Preparation, and Storage

Purification

Immunogen affinity purified

Formulation

PBS, 50% Glycerol, pH (7.3)

Format

BSA Free

Preservative

0.02% Sodium Azide

Concentration

Please see the vial label for concentration. If unlisted please contact technical services.

Shipping

The product is shipped with polar packs. Upon receipt, store it immediately at the temperature recommended below.

Stability & Storage

Store at -20C. Avoid freeze-thaw cycles.

Background: SERINC1

Enhances the incorporation of serine into phosphatidylserine and sphingolipids

Alternate Names

KIAA1253TDE2, serine incorporator 1, TDE1LTMS-2, tumor differentially expressed 2, Tumor differentially expressed protein 1-like, Tumor differentially expressed protein 2

Gene Symbol

SERINC1

Additional SERINC1 Products

Product Documents for SERINC1 Antibody - BSA Free

Certificate of Analysis

To download a Certificate of Analysis, please enter a lot number in the search box below.

Product Specific Notices for SERINC1 Antibody - BSA Free

This product is for research use only and is not approved for use in humans or in clinical diagnosis. Primary Antibodies are guaranteed for 1 year from date of receipt.

Loading...
Loading...
Loading...
Loading...