SERINC1 Antibody - BSA Free
Novus Biologicals, part of Bio-Techne | Catalog # NBP3-35855
Key Product Details
Species Reactivity
Human, Mouse, Rat
Applications
Immunohistochemistry, Immunohistochemistry-Paraffin, Western Blot, ELISA
Label
Unconjugated
Antibody Source
Polyclonal Rabbit IgG
Format
BSA Free
Concentration
Please see the vial label for concentration. If unlisted please contact technical services.
Product Specifications
Immunogen
A synthetic peptide corresponding to a sequence within amino acids 350-453 of human SERINC1 (NP_065806.1).
Sequence:
ESTLIEDGGARSDGSLEDGDDVHRAVDNERDGVTYSYSFFHFMLFLASLYIMMTLTNWYRYEPSREMKSQWTAVWVKISSSWIGIVLYVWTLVAPLVLTNRDFD
Sequence:
ESTLIEDGGARSDGSLEDGDDVHRAVDNERDGVTYSYSFFHFMLFLASLYIMMTLTNWYRYEPSREMKSQWTAVWVKISSSWIGIVLYVWTLVAPLVLTNRDFD
Clonality
Polyclonal
Host
Rabbit
Isotype
IgG
Theoretical MW
50 kDa.
Disclaimer note: The observed molecular weight of the protein may vary from the listed predicted molecular weight due to post translational modifications, post translation cleavages, relative charges, and other experimental factors.
Disclaimer note: The observed molecular weight of the protein may vary from the listed predicted molecular weight due to post translational modifications, post translation cleavages, relative charges, and other experimental factors.
Description
Novus Biologicals Rabbit SERINC1 Antibody - BSA Free (NBP3-35855) is a polyclonal antibody validated for use in IHC, WB and ELISA. All Novus Biologicals antibodies are covered by our 100% guarantee.
Scientific Data Images for SERINC1 Antibody - BSA Free
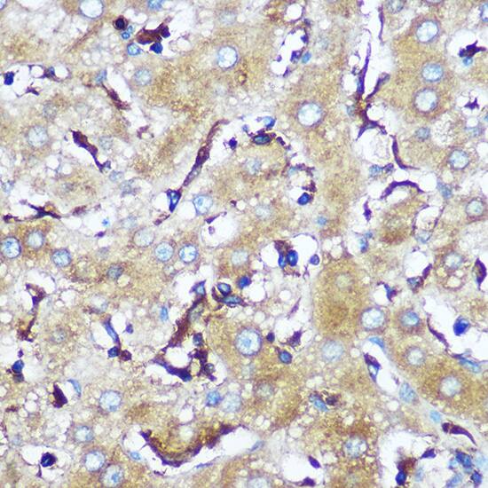
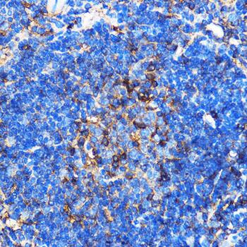
Immunohistochemistry: SERINC1 Antibody [NBP3-35855] -
Immunohistochemistry: SERINC1 Antibody [NBP3-35855] - Immunohistochemistry analysis of paraffin-embedded Rat spleen using SERINC1 Rabbit pAb at dilution of 1:100 (40x lens). Microwave antigen retrieval performed with 0.01M PBS Buffer (pH 7.2) prior to IHC staining.Immunohistochemistry: SERINC1 Antibody [NBP3-35855] -
Immunohistochemistry: SERINC1 Antibody [NBP3-35855] - Immunohistochemistry analysis of paraffin-embedded Human liver using SERINC1 Rabbit pAb at dilution of 1:100 (40x lens). Microwave antigen retrieval performed with 0.01M PBS Buffer (pH 7.2) prior to IHC staining.Western Blot: SERINC1 Antibody [NBP3-35855] -
Western Blot: SERINC1 Antibody [NBP3-35855] - Western blot analysis of various lysates using SERINC1 Rabbit pAb at 1:1000 dilution.Secondary antibody: HRP-conjugated Goat anti-Rabbit IgG (H+L) at 1:10000 dilution.
Lysates/proteins: 25ug per lane.
Blocking buffer: 3% nonfat dry milk in TBST.
Detection: ECL Basic Kit.
Exposure time: 10s.
Applications for SERINC1 Antibody - BSA Free
Application
Recommended Usage
Immunohistochemistry-Paraffin
1:50 - 1:200
Western Blot
1:500 - 1:2000
Formulation, Preparation, and Storage
Purification
Affinity purified
Formulation
PBS (pH 7.3), 50% glycerol
Format
BSA Free
Preservative
0.01% Thimerosal
Concentration
Please see the vial label for concentration. If unlisted please contact technical services.
Shipping
The product is shipped with polar packs. Upon receipt, store it immediately at the temperature recommended below.
Stability & Storage
Store at -20C. Avoid freeze-thaw cycles.
Background: SERINC1
Alternate Names
KIAA1253TDE2, serine incorporator 1, TDE1LTMS-2, tumor differentially expressed 2, Tumor differentially expressed protein 1-like, Tumor differentially expressed protein 2
Gene Symbol
SERINC1
Additional SERINC1 Products
Product Documents for SERINC1 Antibody - BSA Free
Product Specific Notices for SERINC1 Antibody - BSA Free
This product is for research use only and is not approved for use in humans or in clinical diagnosis. Primary Antibodies are guaranteed for 1 year from date of receipt.
Loading...
Loading...
Loading...
Loading...