Skip to main content

Septin-2 Antibody

Novus Biologicals, part of Bio-Techne | Catalog # NBP1-06076

Novus Biologicals, part of Bio-Techne
Catalog #
Availability
Size / Price
Qty
Loading...
NBP1-06076

Key Product Details

Species Reactivity

Validated:

Human

Predicted:

Bovine (100%), Mouse (100%), Rat (100%). Backed by our 100% Guarantee.

Applications

Immunohistochemistry, Immunohistochemistry-Paraffin, Western Blot, Peptide ELISA

Label

Unconjugated

Antibody Source

Polyclonal Goat IgG

Concentration

0.5 mg/ml

Product Specifications

Immunogen

Peptide with sequence SKQQPTQFINPET-C corresponding to N-Terminus according to NP_001008491.1.

Epitope

SKQQPTQFINPET-C

Specificity

Reported variants represent identical protein: NP_001008492.1, NP_006146.1, NP_004395.1, NP_001008491.1.

Clonality

Polyclonal

Host

Goat

Isotype

IgG

Description

Novus Biologicals Goat Septin-2 Antibody (NBP1-06076) is a polyclonal antibody validated for use in IHC, WB and ELISA. Anti-Septin-2 Antibody: Cited in 1 publication. All Novus Biologicals antibodies are covered by our 100% guarantee.

Scientific Data Images for Septin-2 Antibody

Western Blot: Septin-2 Antibody [NBP1-06076]

Western Blot: Septin-2 Antibody [NBP1-06076]

Western Blot: Septin-2 Antibody [NBP1-06076] - Staining of Human Testis lysate (35 ug protein in RIPA buffer). Antibody at 0.05 ug/mL. Primary incubation was 1 hour. Detected by chemiluminescence.
Immunohistochemistry-Paraffin: Septin-2 Antibody [NBP1-06076]

Immunohistochemistry-Paraffin: Septin-2 Antibody [NBP1-06076]

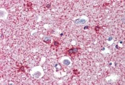
Immunohistochemistry-Paraffin: Septin-2 Antibody [NBP1-06076] - Staining of paraffin embedded Human Cortex. Antibody at 2.5 ug/mL. Steamed antigen retrieval with citrate buffer pH 6, AP-staining.
Immunohistochemistry-Paraffin: Septin-2 Antibody [NBP1-06076]

Immunohistochemistry-Paraffin: Septin-2 Antibody [NBP1-06076]

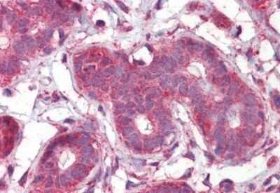
Immunohistochemistry-Paraffin: Septin-2 Antibody [NBP1-06076] - Staining of paraffin embedded Human Breast tissue. Antibody at 2.5 ug/mL. Steamed antigen retrieval with citrate buffer pH 6, AP-staining.

Applications for Septin-2 Antibody

Application
Recommended Usage

Immunohistochemistry-Paraffin

2.5 ug/mL

Peptide ELISA

Detection limit 1:32000

Western Blot

0.05 - 0.2 ug/mL
Application Notes
Western blot: Approx. 40kDa band observed in Human Testis lysates (calculated MW of 41.5 kDa according to NP_001008491.1). Primary incubation was 1 hour.
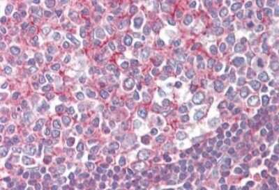
IHC: Paraffin embedded Human Breast, Tonsil and Brain (Cortex).

Formulation, Preparation, and Storage

Purification

Immunogen affinity purified

Formulation

Tris saline (20 mM Tris pH 7.3, 150 mM NaCl), 0.5% BSA

Preservative

0.02% Sodium Azide

Concentration

0.5 mg/ml

Shipping

The product is shipped with polar packs. Upon receipt, store it immediately at the temperature recommended below.

Stability & Storage

Store at -20C. Avoid freeze-thaw cycles.

Background: Septin-2

Alternate Names

DIFF6NEDD-5, hNedd5, KIAA0158Neural precursor cell expressed developmentally down-regulated protein 5, NEDD5Pnutl3, neural precursor cell expressed, developmentally down-regulated 5, septin 2, septin-2

Entrez Gene IDs

4735 (Human); 18000 (Mouse); 117515 (Rat)

Gene Symbol

SEPTIN2

Additional Septin-2 Products

Product Documents for Septin-2 Antibody

Certificate of Analysis

To download a Certificate of Analysis, please enter a lot number in the search box below.

Product Specific Notices for Septin-2 Antibody

This product is for research use only and is not approved for use in humans or in clinical diagnosis. Primary Antibodies are guaranteed for 1 year from date of receipt.

Loading...
Loading...
Loading...
Loading...