Septin-12 Antibody - BSA Free
Novus Biologicals, part of Bio-Techne | Catalog # NBP2-20300
Key Product Details
Species Reactivity
Human
Applications
Immunohistochemistry, Immunohistochemistry-Paraffin, Western Blot, Immunocytochemistry/ Immunofluorescence
Label
Unconjugated
Antibody Source
Polyclonal Rabbit IgG
Format
BSA Free
Concentration
Concentrations vary lot to lot. See vial label for concentration. If unlisted please contact technical services.
Product Specifications
Immunogen
Recombinant protein encompassing a sequence within the center region of human Septin-12. The exact sequence is proprietary.
Reactivity Notes
Immunogen displays the following percentage of sequence identity for non-tested species: Rat (87%), Bovine (87%).
Localization
Cytoplasm; Spindle
Clonality
Polyclonal
Host
Rabbit
Isotype
IgG
Theoretical MW
41 kDa.
Disclaimer note: The observed molecular weight of the protein may vary from the listed predicted molecular weight due to post translational modifications, post translation cleavages, relative charges, and other experimental factors.
Disclaimer note: The observed molecular weight of the protein may vary from the listed predicted molecular weight due to post translational modifications, post translation cleavages, relative charges, and other experimental factors.
Scientific Data Images for Septin-12 Antibody - BSA Free
Western Blot: Septin-12 Antibody [NBP2-20300]
Western Blot: Septin-12 Antibody [NBP2-20300] - Sample (30 ug of whole cell lysate) A: Jurkat 10% SDS PAGE gel, diluted at 1:1000.Immunohistochemistry-Paraffin: Septin-12 Antibody [NBP2-20300]
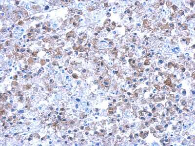
Immunohistochemistry-Paraffin: Septin-12 Antibody [NBP2-20300] - Immunohistochemical analysis of paraffin-embedded hela xenograft, using antibody at 1:500 dilution.Immunocytochemistry/ Immunofluorescence: Septin-12 Antibody [NBP2-20300] -
SEPT12 antibody detects SEPT12 protein at cytoskeleton by immunofluorescent analysis.Sample: A431 cells were fixed in ice-cold MeOH for 5 min.
Green: SEPT12 protein stained by SEPT12 antibody (NBP2-20300) diluted at 1:500.
Blue: Hoechst 33342 staining.
Applications for Septin-12 Antibody - BSA Free
Application
Recommended Usage
Immunocytochemistry/ Immunofluorescence
1:100-1:1000
Immunohistochemistry
1:100-1:1000
Immunohistochemistry-Paraffin
1:100-1:1000
Western Blot
1:500-1:3000
Formulation, Preparation, and Storage
Purification
Antigen Affinity-purified
Formulation
0.1M Tris, 0.1M Glycine, 20% Glycerol
Format
BSA Free
Preservative
0.01% Thimerosal
Concentration
Concentrations vary lot to lot. See vial label for concentration. If unlisted please contact technical services.
Shipping
The product is shipped with polar packs. Upon receipt, store it immediately at the temperature recommended below.
Stability & Storage
Aliquot and store at -20C or -80C. Avoid freeze-thaw cycles.
Background: Septin-12
Additional Septin-12 Products
Product Documents for Septin-12 Antibody - BSA Free
Product Specific Notices for Septin-12 Antibody - BSA Free
This product is for research use only and is not approved for use in humans or in clinical diagnosis. Primary Antibodies are guaranteed for 1 year from date of receipt.
Loading...
Loading...
Loading...
Loading...
⚠ WARNING: This product can expose you to chemicals including mercury, which is known to the State of California to cause reproductive toxicity with developmental effects. For more information go to www.P65Warnings.ca.gov.