Skip to main content

SEPN1 Antibody - BSA Free

Novus Biologicals, part of Bio-Techne | Catalog # NBP3-45398

Novus Biologicals, part of Bio-Techne
Catalog #
Availability
Size / Price
Qty
Loading...
NBP3-45398

Key Product Details

Species Reactivity

Human, Mouse

Applications

Immunohistochemistry, Western Blot, ELISA

Label

Unconjugated

Antibody Source

Polyclonal Rabbit IgG

Format

BSA Free

Concentration

Please see the vial label for concentration. If unlisted please contact technical services.

Product Specifications

Immunogen

selenoprotein N, 1. (Uniprot# Q9NZV5)

Clonality

Polyclonal

Host

Rabbit

Isotype

IgG

Theoretical MW

70 kDa.
Disclaimer note: The observed molecular weight of the protein may vary from the listed predicted molecular weight due to post translational modifications, post translation cleavages, relative charges, and other experimental factors.

Scientific Data Images for SEPN1 Antibody - BSA Free

SEPN1 Antibody - BSA Free

Western Blot: SEPN1 Antibody - BSA Free [NBP3-45398] -

Western Blot: SEPN1 Antibody - BSA Free [NBP3-45398] - A549 cells were subjected to SDS PAGE followed by western blot with (SEPN1 Antibody) at dilution of 1:300
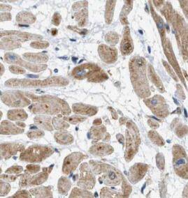
SEPN1 Antibody - BSA Free

Immunohistochemistry: SEPN1 Antibody - BSA Free [NBP3-45398] -

Immunohistochemistry: SEPN1 Antibody - BSA Free [NBP3-45398] - Immunohistochemistry of paraffin-embedded human heart tissue slide using (SEPN1 Antibody) at dilution of 1:50

Applications for SEPN1 Antibody - BSA Free

Application
Recommended Usage

Immunohistochemistry

1:20-1:200

Western Blot

1:200-1:1000

Formulation, Preparation, and Storage

Purification

Immunogen affinity purified

Formulation

PBS, 50% Glycerol, pH (7.3)

Format

BSA Free

Preservative

0.02% Sodium Azide

Concentration

Please see the vial label for concentration. If unlisted please contact technical services.

Shipping

The product is shipped with polar packs. Upon receipt, store it immediately at the temperature recommended below.

Stability & Storage

Store at -20C. Avoid freeze-thaw cycles.

Background: SEPN1

The SEPN1 gene encodes a selenoprotein, which contains a selenocysteine (Sec) residue at its active site. The selenocysteine is encoded by the UGA codon that normally signals translation termination. The 3' UTR of selenoprotein genes have a common stem-loop st

Alternate Names

FLJ24021, rigid spine muscular dystrophy 1, RSMD1, RSS, selenoprotein N, selenoprotein N, 1, SelN, SELNMDRS1

Gene Symbol

SELENON

Additional SEPN1 Products

Product Documents for SEPN1 Antibody - BSA Free

Certificate of Analysis

To download a Certificate of Analysis, please enter a lot number in the search box below.

Product Specific Notices for SEPN1 Antibody - BSA Free

This product is for research use only and is not approved for use in humans or in clinical diagnosis. Primary Antibodies are guaranteed for 1 year from date of receipt.

Loading...
Loading...
Loading...
Loading...