Sentan Antibody - BSA Free
Novus Biologicals, part of Bio-Techne | Catalog # NBP1-92378
Key Product Details
Validated by
Orthogonal Validation, Independent Antibodies
Species Reactivity
Human
Applications
Immunohistochemistry, Immunohistochemistry-Paraffin
Label
Unconjugated
Antibody Source
Polyclonal Rabbit IgG
Format
BSA Free
Concentration
Concentrations vary lot to lot. See vial label for concentration. If unlisted please contact technical services.
Product Specifications
Immunogen
This antibody was developed against Recombinant Protein corresponding to amino acids: HSTQDKSLHLEGDPNPSAAPTSTCAPRKMPKRISISKQLASVKALRKCSDLEKAIATTALIFRNSSDSDGKLE
Clonality
Polyclonal
Host
Rabbit
Isotype
IgG
Scientific Data Images for Sentan Antibody - BSA Free
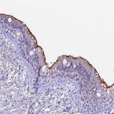
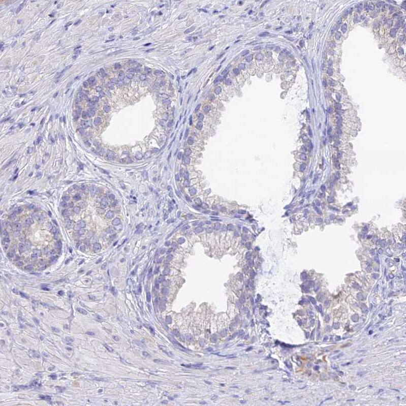
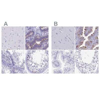
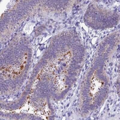
Immunohistochemistry-Paraffin: Sentan Antibody [NBP1-92378]
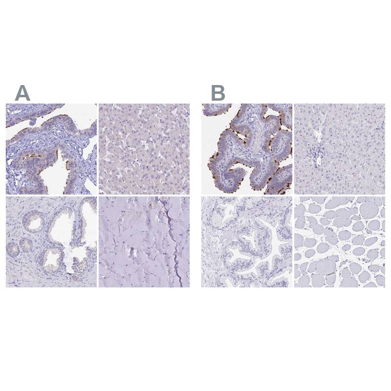
Immunohistochemistry-Paraffin: Sentan Antibody [NBP1-92378] - Staining of human cerebral cortex.Immunohistochemistry-Paraffin: Sentan Antibody [NBP1-92378]
Immunohistochemistry-Paraffin: Sentan Antibody [NBP1-92378] - Staining of human bronchus shows moderate positivity in cilia of respiratory epithelial cells.Immunohistochemistry-Paraffin: Sentan Antibody [NBP1-92378]
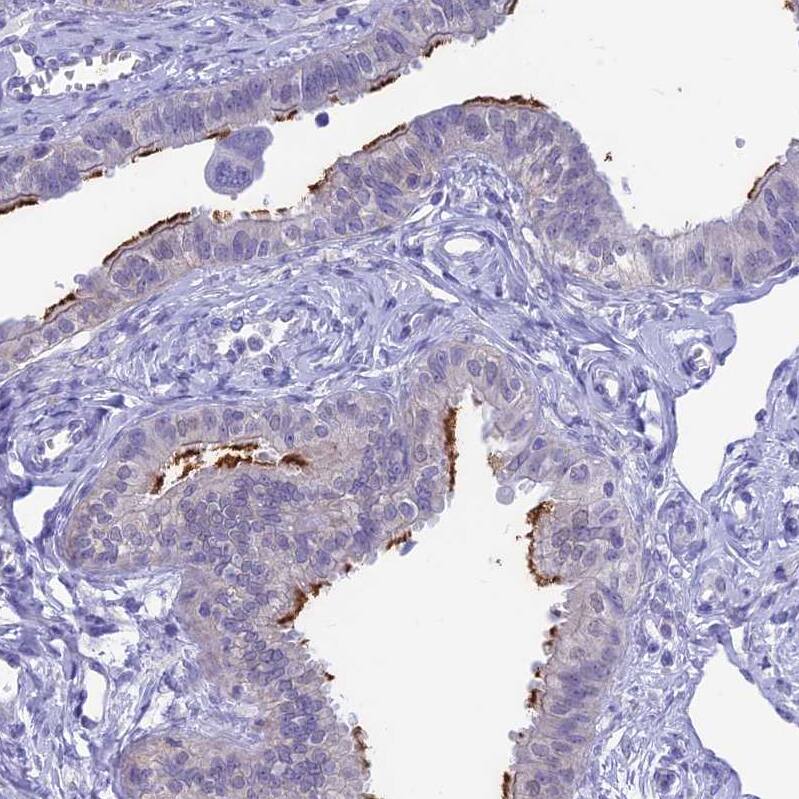
Immunohistochemistry-Paraffin: Sentan Antibody [NBP1-92378] - Staining of human fallopian tube shows high expression.Applications for Sentan Antibody - BSA Free
Application
Recommended Usage
Immunohistochemistry
1:50 - 1:200
Immunohistochemistry-Paraffin
1:50 - 1:200
Application Notes
For IHC-Paraffin, HIER pH 6 retrieval is recommended.
Formulation, Preparation, and Storage
Purification
Affinity purified
Formulation
PBS (pH 7.2) and 40% Glycerol
Format
BSA Free
Preservative
0.02% Sodium Azide
Concentration
Concentrations vary lot to lot. See vial label for concentration. If unlisted please contact technical services.
Shipping
The product is shipped with polar packs. Upon receipt, store it immediately at the temperature recommended below.
Stability & Storage
Store at 4C short term. Aliquot and store at -20C long term. Avoid freeze-thaw cycles.
Background: Sentan
Alternate Names
FLJ44379, S100A1L, sentan, sentan, cilia apical structure protein
Gene Symbol
SNTN
Additional Sentan Products
Product Documents for Sentan Antibody - BSA Free
Product Specific Notices for Sentan Antibody - BSA Free
This product is for research use only and is not approved for use in humans or in clinical diagnosis. Primary Antibodies are guaranteed for 1 year from date of receipt.
Loading...
Loading...
Loading...
Loading...