Skip to main content

SELI Antibody - BSA Free

Novus Biologicals, part of Bio-Techne | Catalog # NBP3-17536

Novus Biologicals, part of Bio-Techne
Catalog #
Availability
Size / Price
Qty
Loading...
NBP3-17536-100ul
NBP3-17536-25ul

Key Product Details

Validated by

Orthogonal Validation

Species Reactivity

Validated:

Human

Predicted:

Mouse (91%), Rat (91%). Backed by our 100% Guarantee.

Applications

Immunohistochemistry, Immunohistochemistry-Paraffin

Label

Unconjugated

Antibody Source

Polyclonal Rabbit IgG

Format

BSA Free

Concentration

Concentrations vary lot to lot. See vial label for concentration. If unlisted please contact technical services.

Product Specifications

Immunogen

This antibody was developed against Recombinant Protein corresponding to amino acids: MAYFDPDFYASAPGHKHVPDWV

Clonality

Polyclonal

Host

Rabbit

Isotype

IgG

Description

Novus Biologicals Rabbit SELI Antibody - BSA Free (NBP3-17536) is a polyclonal antibody validated for use in IHC. All Novus Biologicals antibodies are covered by our 100% guarantee.

Scientific Data Images for SELI Antibody - BSA Free

SELI Antibody

Immunohistochemistry-Paraffin: SELI Antibody [NBP3-17536] -

Immunohistochemistry-Paraffin: SELI Antibody [NBP3-17536] -Analysis in human cerebral cortex and skeletal muscle tissues using NBP3-17536 antibody. Corresponding SELENOI RNA-seq data are presented for the same tissues.
SELI Antibody

Immunohistochemistry-Paraffin: SELI Antibody [NBP3-17536] -

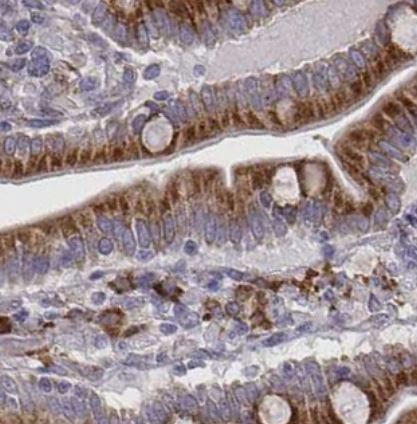
Immunohistochemistry-Paraffin: SELI Antibody [NBP3-17536] - Staining of human small intestine shows strong cytoplasmic positivity in glandular cells.
SELI Antibody

Immunohistochemistry-Paraffin: SELI Antibody [NBP3-17536] -

Immunohistochemistry-Paraffin: SELI Antibody [NBP3-17536] - Staining of human cerebral cortex shows strong cytoplasmic positivity in neurons.

Applications for SELI Antibody - BSA Free

Application
Recommended Usage

Immunohistochemistry

1:500 - 1:1000

Immunohistochemistry-Paraffin

1:500 - 1:1000
Application Notes
For IHC-Paraffin, HIER pH 6 retrieval is recommended.

Formulation, Preparation, and Storage

Purification

Affinity purified

Formulation

PBS (pH 7.2) and 40% Glycerol

Format

BSA Free

Preservative

0.02% Sodium Azide

Concentration

Concentrations vary lot to lot. See vial label for concentration. If unlisted please contact technical services.

Shipping

The product is shipped with polar packs. Upon receipt, store it immediately at the temperature recommended below.

Stability & Storage

Store at 4C short term. Aliquot and store at -20C long term. Avoid freeze-thaw cycles.

Background: SELI

SELI - selenoprotein I

Alternate Names

EC 2.7.8.1, ethanolaminephosphotransferase 1 (CDP-ethanolamine-specific), hEPT1, KIAA1724ethanolaminephosphotransferase 1, Selenoprotein I, SelI, SELIethanolaminephosphotransferase1, SEPI

Gene Symbol

EPT1

Additional SELI Products

Product Documents for SELI Antibody - BSA Free

Certificate of Analysis

To download a Certificate of Analysis, please enter a lot number in the search box below.

Product Specific Notices for SELI Antibody - BSA Free

This product is for research use only and is not approved for use in humans or in clinical diagnosis. Primary Antibodies are guaranteed for 1 year from date of receipt.

Loading...
Loading...
Loading...
Loading...