Skip to main content

Secretagogin Antibody (CL0273) - Azide and BSA Free

Novus Biologicals, part of Bio-Techne | Catalog # NBP3-44031

Novus Biologicals, part of Bio-Techne

Key Product Details

Validated by

Orthogonal Validation

Species Reactivity

Human

Applications

Immunohistochemistry-Paraffin

Label

Unconjugated

Antibody Source

Monoclonal Mouse IgG2A Clone # CL0273

Format

Azide and BSA Free

Concentration

LYOPH mg/ml

Product Specifications

Immunogen

This antibody was generated using a recombinant protein sequence of O76038, with the exact immunogen sequence remaining proprietary.

Clonality

Monoclonal

Host

Mouse

Isotype

IgG2A

Description

Novus Biologicals Mouse Secretagogin Antibody (CL0273) - Azide and BSA Free (NBP2-52898) is a monoclonal antibody validated for use in IHC. All Novus Biologicals antibodies are covered by our 100% guarantee.

Scientific Data Images for Secretagogin Antibody (CL0273) - Azide and BSA Free

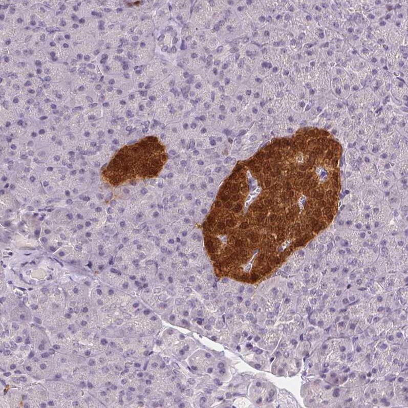
Secretagogin Antibody (CL0273) - Azide and BSA Free Immunohistochemistry-Paraffin: Secretagogin Antibody [NBP3-44031]

Immunohistochemistry-Paraffin: Secretagogin Antibody [NBP3-44031]

Analysis in human pancreas and liver tissues using NBP3-44031 antibody. Corresponding Secretagogin RNA-seq data are presented for the same tissues.
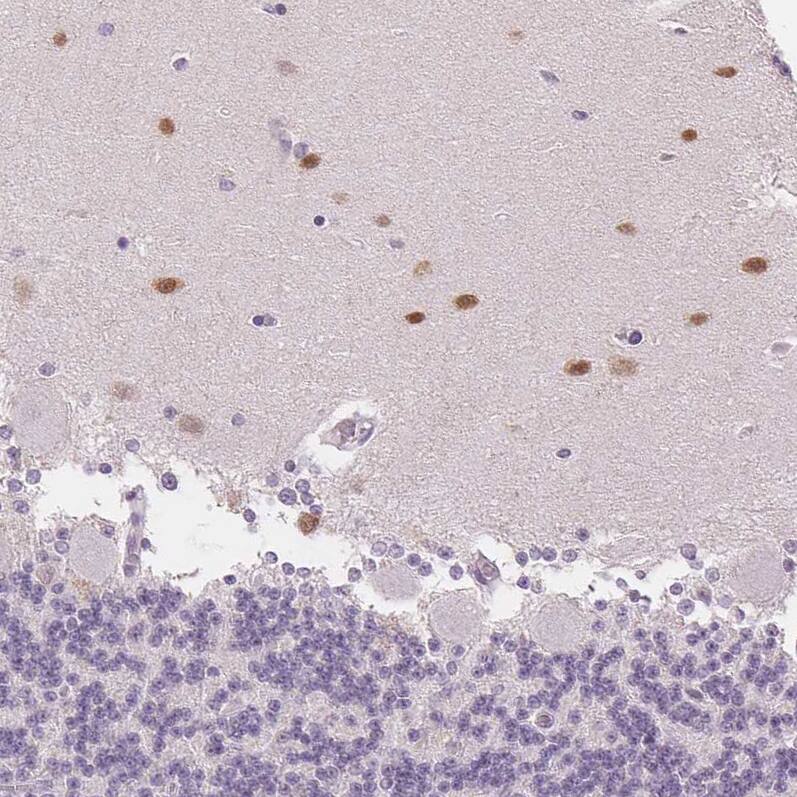
Secretagogin Antibody (CL0273) - Azide and BSA Free Immunohistochemistry-Paraffin: Secretagogin Antibody [NBP3-44031]

Immunohistochemistry-Paraffin: Secretagogin Antibody [NBP3-44031]

Staining of human cerebellum shows moderate positivity in cells in molecular layer.
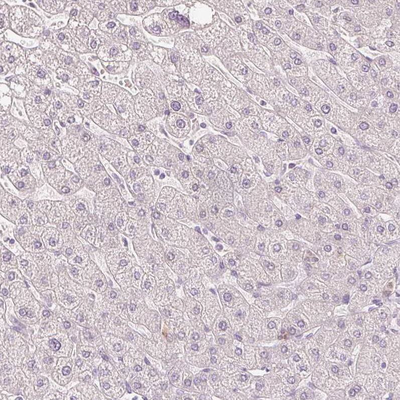
Secretagogin Antibody (CL0273) - Azide and BSA Free Immunohistochemistry-Paraffin: Secretagogin Antibody [NBP3-44031]

Immunohistochemistry-Paraffin: Secretagogin Antibody [NBP3-44031]

Staining of human liver shows no positivity in hepatocytes as expected.

Applications for Secretagogin Antibody (CL0273) - Azide and BSA Free

Application
Recommended Usage

Immunohistochemistry-Paraffin

1:2500 - 1:5000
Application Notes
For IHC-Paraffin, HIER pH 6 retrieval is recommended.

Formulation, Preparation, and Storage

Purification

Protein A purified

Reconstitution

Centrifuge the vial of lyophilized antibody at 12,000 x g for 20 seconds. Reconstitute by adding sterile, distilled water to achieve a final antibody concentration of 1mg/ml.

Formulation

Lyophilized from a 0.2 um filtered solution in PBS with Trehalose

Format

Azide and BSA Free

Preservative

No Preservative

Concentration

LYOPH mg/ml

Shipping

The product is shipped at ambient temperature. Upon receipt, store it immediately at the temperature recommended below.

Stability & Storage

Store at 4C short term. Aliquot and store at -20C long term. Avoid freeze-thaw cycles.

Background: Secretagogin

The encoded protein is a secreted calcium-binding protein which is found in the cytoplasm. It is related to calbindin D-28K and calretinin. This protein is thought to be involved in KCL-stimulated calcium flux and cell proliferation.

Alternate Names

CALBL, SCGN, SECRET, SEGN, Setagin

Gene Symbol

SCGN

Additional Secretagogin Products

Product Documents for Secretagogin Antibody (CL0273) - Azide and BSA Free

Certificate of Analysis

To download a Certificate of Analysis, please enter a lot number in the search box below.

Product Specific Notices for Secretagogin Antibody (CL0273) - Azide and BSA Free

This product is for research use only and is not approved for use in humans or in clinical diagnosis. Primary Antibodies are guaranteed for 1 year from date of receipt.

Loading...
Loading...
Loading...
Loading...
Loading...