Skip to main content

SECISBP2 Antibody - BSA Free

Novus Biologicals, part of Bio-Techne | Catalog # NBP3-38323

Novus Biologicals, part of Bio-Techne
Catalog #
Availability
Size / Price
Qty
Loading...
NBP3-38323-100ul
NBP3-38323-20ul

Key Product Details

Species Reactivity

Human, Mouse, Rat

Applications

ELISA, Immunocytochemistry/ Immunofluorescence, Immunohistochemistry, Immunohistochemistry-Paraffin, Western Blot

Label

Unconjugated

Antibody Source

Polyclonal Rabbit IgG

Format

BSA Free

Concentration

Please see the vial label for concentration. If unlisted please contact technical services.

Product Specifications

Immunogen

Recombinant fusion protein containing a sequence corresponding to amino acids 585-854 of human SECISBP2 (NP_076982.3).

Sequence:
DELISTPSVEDKSEEPPGTELQRDTEASHLAPNHTTFPKIHSRRFRDYCSQMLSKEVDACVTDLLKELVRFQDRMYQKDPVKAKTKRRLVLGLREVLKHLKLKKLKCVIISPNCEKIQSKGGLDDTLHTIIDYACEQNIPFVFALNRKALGRSLNKAVPVSVVGIFSYDGAQDQFHKMVELTVAARQAYKTMLENVQQELVGEPRPQAPPSLPTQGPSCPAEDGPPALKEKEEPHYIEIWKKHLEAYSGCTLELEESLEASTSQMMNLNL

Clonality

Polyclonal

Host

Rabbit

Isotype

IgG

Theoretical MW

95 kDa.
Disclaimer note: The observed molecular weight of the protein may vary from the listed predicted molecular weight due to post translational modifications, post translation cleavages, relative charges, and other experimental factors.

Description

Novus Biologicals Rabbit SECISBP2 Antibody - BSA Free (NBP3-38323) is a polyclonal antibody validated for use in IHC, WB, ELISA and ICC/IF. All Novus Biologicals antibodies are covered by our 100% guarantee.

Scientific Data Images for SECISBP2 Antibody - BSA Free

SECISBP2 Antibody

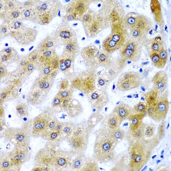
Immunohistochemistry: SECISBP2 Antibody [NBP3-38323] -

Immunohistochemistry: SECISBP2 Antibody [NBP3-38323] - Immunohistochemistry analysis of paraffin-embedded Human colon carcinoma using SECISBP2 Rabbit pAb at dilution of 1:200 (40x lens). Microwave antigen retrieval performed with 0.01M PBS Buffer (pH 7.2) prior to IHC staining.
SECISBP2 Antibody

Immunocytochemistry/ Immunofluorescence: SECISBP2 Antibody [NBP3-38323] -

Immunocytochemistry/ Immunofluorescence: SECISBP2 Antibody [NBP3-38323] - Immunofluorescence analysis of U2OS cells using SECISBP2 Rabbit pAb at dilution of 1:50 (40x lens). Secondary antibody: Cy3-conjugated Goat anti-Rabbit IgG (H+L) at 1:500 dilution. Blue: DAPI for nuclear staining.
SECISBP2 Antibody

Immunocytochemistry/ Immunofluorescence: SECISBP2 Antibody [NBP3-38323] -

Immunocytochemistry/ Immunofluorescence: SECISBP2 Antibody [NBP3-38323] - Immunofluorescence analysis of NIH/3T3 cells using SECISBP2 Rabbit pAb at dilution of 1:50 (40x lens). Secondary antibody: Cy3-conjugated Goat anti-Rabbit IgG (H+L) at 1:500 dilution. Blue: DAPI for nuclear staining.

Applications for SECISBP2 Antibody - BSA Free

Application
Recommended Usage

Immunocytochemistry/ Immunofluorescence

1:50 - 1:200

Immunohistochemistry-Paraffin

1:50 - 1:200

Western Blot

1:100 - 1:500

Formulation, Preparation, and Storage

Purification

Affinity purified

Formulation

PBS (pH 7.3), 50% glycerol

Format

BSA Free

Preservative

0.02% Sodium Azide

Concentration

Please see the vial label for concentration. If unlisted please contact technical services.

Shipping

The product is shipped with polar packs. Upon receipt, store it immediately at the temperature recommended below.

Stability & Storage

Store at -20C. Avoid freeze-thaw cycles.

Background: SECISBP2

SECISBP2 is an RNA binding protein that interacts with the Sec insertion sequence (SECIS) element in selenoprotein mRNAs. The incorporation of selenocysteine into a protein requires the concerted action of an mRNA element called a sec insertion sequence (SECIS), a selenocysteine-specific translation elongation factor and a SECIS binding protein. With these elements in place, a UGA codon can be decoded as selenocysteine. Mutations in the SECISBP2 gene have been associated with a reduction in activity of a specific thyroxine deiodinase, a selenocysteine-containing enzyme, and abnormal thyroid hormone metabolism.

Alternate Names

DKFZp686C09169, SBP2SECIS-binding protein 2, SECIS binding protein 2, selenocysteine insertion sequence binding protein 2, selenocysteine insertion sequence-binding protein 2

Gene Symbol

SECISBP2

Additional SECISBP2 Products

Product Documents for SECISBP2 Antibody - BSA Free

Certificate of Analysis

To download a Certificate of Analysis, please enter a lot number in the search box below.

Product Specific Notices for SECISBP2 Antibody - BSA Free

This product is for research use only and is not approved for use in humans or in clinical diagnosis. Primary Antibodies are guaranteed for 1 year from date of receipt.

Loading...
Loading...
Loading...
Loading...