Skip to main content

SEC24A Antibody (PSH04-36)

Novus Biologicals, part of Bio-Techne | Catalog # NBP3-32936

Recombinant Monoclonal Antibody
Novus Biologicals, part of Bio-Techne
Catalog #
Availability
Size / Price
Qty
Loading...
NBP3-32936

Key Product Details

Species Reactivity

Human, Mouse, Rat, Monkey

Applications

Flow Cytometry, Immunocytochemistry/ Immunofluorescence, Immunohistochemistry, Immunohistochemistry-Paraffin, Western Blot

Label

Unconjugated

Antibody Source

Recombinant Monoclonal Rabbit IgG Clone # PSH04-36 expressed in HEK293

Concentration

1 mg/ml

Product Specifications

Immunogen

Recombinant protein within human SEC24A aa 1-350 / 1,093. (Uniprot: O95486)

Localization

Cytoplasmic vesicle, COPII-coated vesicle membrane, Endoplasmic reticulum membrane, Cytoplasm, cytosol.

Clonality

Monoclonal

Host

Rabbit

Isotype

IgG

Theoretical MW

120 kDa.
Disclaimer note: The observed molecular weight of the protein may vary from the listed predicted molecular weight due to post translational modifications, post translation cleavages, relative charges, and other experimental factors.

Description

Novus Biologicals Rabbit SEC24A Antibody (PSH04-36) (NBP3-32936) is a recombinant monoclonal antibody validated for use in IHC, WB, Flow and ICC/IF. All Novus Biologicals antibodies are covered by our 100% guarantee.

Scientific Data Images for SEC24A Antibody (PSH04-36)

SEC24A Antibody (PSH04-36)

Western Blot: SEC24A Antibody (PSH04-36) [NBP3-32936]

Western Blot: SEC24A Antibody (PSH04-36) [NBP3-32936] - Western blot analysis of SEC24A on different lysates with Rabbit anti-SEC24A antibody (NBP3-32936) at 1/2,000 dilution.

Lane 1: Caco-2 cell lysate
Lane 2: HEK-293 cell lysate
Lane 3: HeLa cell lysate
Lane 4: U-87 MG cell lysate
Lane 5: COS-1 cell lysate

Lysates/proteins at 20 ug/Lane.

Predicted band size: 120 kDa
Observed band size: 120 kDa

Exposure time: 24 seconds; ECL;

4-20% SDS-PAGE gel.

Proteins were transferred to a PVDF membrane and blocked with 5% NFDM/TBST for 1 hour at room temperature. The primary antibody (NBP3-32936) at 1/2,000 dilution was used in 5% NFDM/TBST at 4C overnight. Goat Anti-Rabbit IgG - HRP Secondary Antibody at 1/50,000 dilution was used for 1 hour at room temperature.
SEC24A Antibody (PSH04-36)

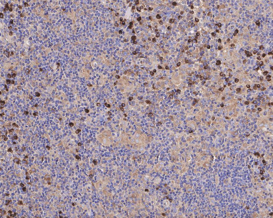
Immunohistochemistry: SEC24A Antibody (PSH04-36) [NBP3-32936]

Immunohistochemistry: SEC24A Antibody (PSH04-36) [NBP3-32936] - Immunohistochemical analysis of paraffin-embedded human b-cell lymphoma tissue with Rabbit anti-SEC24A antibody (NBP3-32936) at 1/1,000 dilution.

The section was pre-treated using heat mediated antigen retrieval with Tris-EDTA buffer (pH 9.0) for 20 minutes. The tissues were blocked in 1% BSA for 20 minutes at room temperature, washed with ddH2O and PBS, and then probed with the primary antibody (NBP3-32936) at 1/1,000 dilution for 1 hour at room temperature. The detection was performed using an HRP conjugated compact polymer system. DAB was used as the chromogen. Tissues were counterstained with hematoxylin and mounted with DPX.
SEC24A Antibody (PSH04-36)

Immunocytochemistry/ Immunofluorescence: SEC24A Antibody (PSH04-36) [NBP3-32936]

Immunocytochemistry/ Immunofluorescence: SEC24A Antibody (PSH04-36) [NBP3-32936] - Immunocytochemistry analysis of Caco-2 cells labeling SEC24A with Rabbit anti-SEC24A antibody (NBP3-32936) at 1/100 dilution.

Cells were fixed in 4% paraformaldehyde for 20 minutes at room temperature, permeabilized with 0.1% Triton X-100 in PBS for 5 minutes at room temperature, then blocked with 1% BSA in 10% negative goat serum for 1 hour at room temperature. Cells were then incubated with Rabbit anti-SEC24A antibody (NBP3-32936) at 1/100 dilution in 1% BSA in PBST overnight at 4 ℃. Goat Anti-Rabbit IgG H&L (iFluor™ 488) was used as the secondary antibody at 1/1,000 dilution. PBS instead of the primary antibody was used as the secondary antibody only control. Nuclear DNA was labelled in blue with DAPI.

Beta tubulin (red) was stained at 1/100 dilution overnight at +4℃. Goat Anti-Mouse IgG H&L (iFluor™ 594) was used as the secondary antibody at 1/1,000 dilution.

Applications for SEC24A Antibody (PSH04-36)

Application
Recommended Usage

Flow Cytometry

1:1000

Immunocytochemistry/ Immunofluorescence

1:100

Immunohistochemistry-Paraffin

1:200-1:1000

Western Blot

1:2000

Formulation, Preparation, and Storage

Purification

Protein A purified

Formulation

PBS (pH7.4), 0.1% BSA and 40% Glycerol

Preservative

0.05% Sodium Azide

Concentration

1 mg/ml

Shipping

The product is shipped with polar packs. Upon receipt, store it immediately at the temperature recommended below.

Stability & Storage

Store at 4C short term. Aliquot and store at -20C long term. Avoid freeze-thaw cycles.

Background: SEC24A

In yeast, the Sec23-Sec24 complex is a component of coat protein II (COPII; see MIM 601924)-coated vesicles that mediate protein transport from the endoplasmic reticulum. SEC24A is 1 of several mammalian proteins that show structural and functional homology to yeast Sec24.[supplied by OMIM]

Alternate Names

member A, protein transport protein Sec24A, SEC24 family, member A (S. cerevisiae), SEC24-related protein A

Gene Symbol

SEC24A

Additional SEC24A Products

Product Documents for SEC24A Antibody (PSH04-36)

Certificate of Analysis

To download a Certificate of Analysis, please enter a lot number in the search box below.

Product Specific Notices for SEC24A Antibody (PSH04-36)

This product is for research use only and is not approved for use in humans or in clinical diagnosis. Primary Antibodies are guaranteed for 1 year from date of receipt.

Loading...
Loading...
Loading...
Loading...
Loading...