Skip to main content

SEC23A Antibody - BSA Free

Novus Biologicals, part of Bio-Techne | Catalog # NBP1-32773

Novus Biologicals, part of Bio-Techne
Catalog #
Availability
Size / Price
Qty
Loading...
NBP1-32773

Key Product Details

Species Reactivity

Validated:

Human, Mouse

Cited:

Human

Predicted:

Bovine (99%), Rat (98%), Rhesus Macaque (99%). Backed by our 100% Guarantee.

Applications

Validated:

Immunohistochemistry, Immunohistochemistry-Paraffin, Western Blot, Immunocytochemistry/ Immunofluorescence

Cited:

Western Blot

Label

Unconjugated

Antibody Source

Polyclonal Rabbit IgG

Format

BSA Free

Concentration

Concentrations vary lot to lot. See vial label for concentration. If unlisted please contact technical services.

Product Specifications

Immunogen

Recombinant protein encompassing a sequence within the center region of human SEC23A. The exact sequence is proprietary.

Reactivity Notes

Zebrafish (87%).

Localization

Smooth endoplasmic reticulum membrane, Peripheral membrane protein, Golgi apparatus membrane, Peripheral membrane protein (Potential)

Clonality

Polyclonal

Host

Rabbit

Isotype

IgG

Theoretical MW

86 kDa.
Disclaimer note: The observed molecular weight of the protein may vary from the listed predicted molecular weight due to post translational modifications, post translation cleavages, relative charges, and other experimental factors.

Description

Novus Biologicals Rabbit SEC23A Antibody - BSA Free (NBP1-32773) is a polyclonal antibody validated for use in IHC, WB and ICC/IF. Anti-SEC23A Antibody: Cited in 1 publication. All Novus Biologicals antibodies are covered by our 100% guarantee.

Scientific Data Images for SEC23A Antibody - BSA Free

Western Blot: SEC23A Antibody [NBP1-32773]

Western Blot: SEC23A Antibody [NBP1-32773]

Western Blot: SEC23A Antibody [NBP1-32773] - (30 ug of whole cell lysate) A: Molt-4 7.5% SDS PAGE diluted at 1:10000
Immunocytochemistry/ Immunofluorescence: SEC23A Antibody [NBP1-32773]

Immunocytochemistry/ Immunofluorescence: SEC23A Antibody [NBP1-32773]

Immunocytochemistry/Immunofluorescence: SEC23A Antibody [NBP1-32773] - Analysis of methanol-fixed HeLa, using SEC23A antibody at 1:200 dilution.
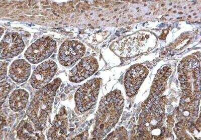
Immunohistochemistry-Paraffin: SEC23A Antibody [NBP1-32773]

Immunohistochemistry-Paraffin: SEC23A Antibody [NBP1-32773]

Immunohistochemistry-Paraffin: SEC23A Antibody [NBP1-32773] - Paraffin-embedded mouse intestine dilution: 1:500.

Applications for SEC23A Antibody - BSA Free

Application
Recommended Usage

Immunocytochemistry/ Immunofluorescence

1:100-1:1000

Immunohistochemistry

1:100-1:1000

Immunohistochemistry-Paraffin

1:100-1:1000

Western Blot

1:5000-1:20000

Reviewed Applications

Read 1 review rated 3 using NBP1-32773 in the following applications:

Formulation, Preparation, and Storage

Purification

Antigen Affinity-purified

Formulation

0.1M Tris, 0.1M Glycine, 10% Glycerol

Format

BSA Free

Preservative

0.01% Thimerosal

Concentration

Concentrations vary lot to lot. See vial label for concentration. If unlisted please contact technical services.

Shipping

The product is shipped with polar packs. Upon receipt, store it immediately at the temperature recommended below.

Stability & Storage

Aliquot and store at -20C or -80C. Avoid freeze-thaw cycles.

Background: SEC23A

SEC23A is encoded by this gene is a member of the SEC23 subfamily of the SEC23/SEC24 family. It is part of a protein complex and found in the ribosome-free transitional face of the endoplasmic reticulum (ER) and associated vesicles. This protein has similarity to yeast Sec23p component of COPII. COPII is the coat protein complex responsible for vesicle budding from the ER. The encoded protein is suggested to play a role in the ER-Golgi protein trafficking. [provided by RefSeq]

Alternate Names

CLSD, MGC26267, protein transport protein Sec23A, Sec23 (S. cerevisiae) homolog A, Sec23 homolog A (S. cerevisiae), SEC23-related protein A

Entrez Gene IDs

10484 (Human)

Gene Symbol

SEC23A

UniProt

Additional SEC23A Products

Product Documents for SEC23A Antibody - BSA Free

Certificate of Analysis

To download a Certificate of Analysis, please enter a lot number in the search box below.

Product Specific Notices for SEC23A Antibody - BSA Free

This product is for research use only and is not approved for use in humans or in clinical diagnosis. Primary Antibodies are guaranteed for 1 year from date of receipt.

Loading...
Loading...
Loading...
Loading...

⚠ WARNING: This product can expose you to chemicals including mercury, which is known to the State of California to cause reproductive toxicity with developmental effects.  For more information go to www.P65Warnings.ca.gov.