SEC14L2 Antibody - BSA Free
Novus Biologicals, part of Bio-Techne | Catalog # NBP3-35155
Key Product Details
Species Reactivity
Human, Mouse, Rat
Applications
ELISA, Immunocytochemistry/ Immunofluorescence, Immunohistochemistry, Immunohistochemistry-Paraffin, Western Blot
Label
Unconjugated
Antibody Source
Polyclonal Rabbit IgG
Format
BSA Free
Concentration
Please see the vial label for concentration. If unlisted please contact technical services.
Product Specifications
Immunogen
Recombinant fusion protein containing a sequence corresponding to amino acids 60-270 of human SEC14L2 (NP_001191133.1).
Sequence:
GRKVETITIIYDCEGLGLKHLWKPAVEAYGEFLCMFEENYPETLKRLFVVKAPKLFPVAYNLIKPFLSEDTRKKIMVLGANWKEVLLKHISPDQVPVEYGGTMTDPDGNPKCKSKINYGGDIPRKYYVRDQVKQQYEHSVQISRGSSHQVEYEILFPGCVLRWQFMSDGADVGFGIFLKTKMGERQRAGEMTEVLPNQRYNSHLVPEDGTL
Sequence:
GRKVETITIIYDCEGLGLKHLWKPAVEAYGEFLCMFEENYPETLKRLFVVKAPKLFPVAYNLIKPFLSEDTRKKIMVLGANWKEVLLKHISPDQVPVEYGGTMTDPDGNPKCKSKINYGGDIPRKYYVRDQVKQQYEHSVQISRGSSHQVEYEILFPGCVLRWQFMSDGADVGFGIFLKTKMGERQRAGEMTEVLPNQRYNSHLVPEDGTL
Clonality
Polyclonal
Host
Rabbit
Isotype
IgG
Theoretical MW
46 kDa.
Disclaimer note: The observed molecular weight of the protein may vary from the listed predicted molecular weight due to post translational modifications, post translation cleavages, relative charges, and other experimental factors.
Disclaimer note: The observed molecular weight of the protein may vary from the listed predicted molecular weight due to post translational modifications, post translation cleavages, relative charges, and other experimental factors.
Description
Novus Biologicals Rabbit SEC14L2 Antibody - BSA Free (NBP3-35155) is a polyclonal antibody validated for use in IHC, WB, ELISA and ICC/IF. All Novus Biologicals antibodies are covered by our 100% guarantee.
Scientific Data Images for SEC14L2 Antibody - BSA Free
Immunohistochemistry: SEC14L2 Antibody [NBP3-35155] -
Immunohistochemistry: SEC14L2 Antibody [NBP3-35155] - Immunohistochemistry analysis of paraffin-embedded Human esophageal cancer using SEC14L2 Rabbit pAb at dilution of 1:200 (40x lens). High pressure antigen retrieval performed with 0.01M Citrate Bufferr (pH 6.0) prior to IHC staining.Immunohistochemistry: SEC14L2 Antibody [NBP3-35155] -
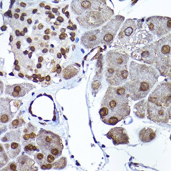
Immunohistochemistry: SEC14L2 Antibody [NBP3-35155] - Immunohistochemistry analysis of paraffin-embedded Mouse pancreas using SEC14L2 Rabbit pAb at dilution of 1:200 (40x lens). High pressure antigen retrieval performed with 0.01M Citrate Bufferr (pH 6.0) prior to IHC staining.Immunohistochemistry: SEC14L2 Antibody [NBP3-35155] -
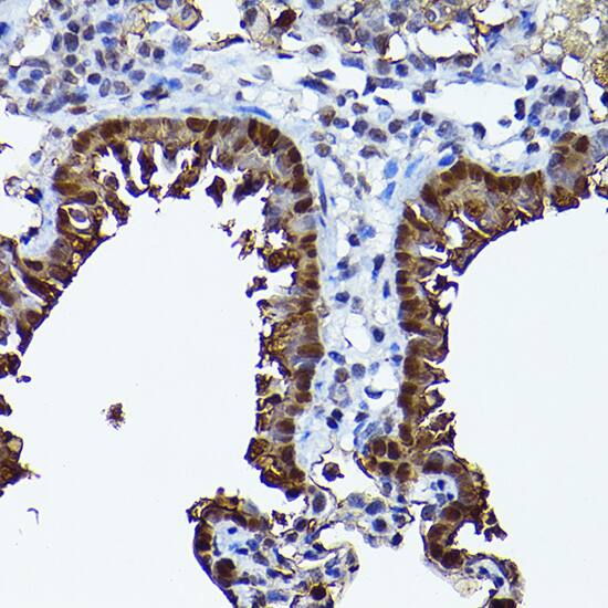
Immunohistochemistry: SEC14L2 Antibody [NBP3-35155] - Immunohistochemistry analysis of paraffin-embedded Rat lung using SEC14L2 Rabbit pAb at dilution of 1:200 (40x lens). High pressure antigen retrieval performed with 0.01M Citrate Bufferr (pH 6.0) prior to IHC staining.Applications for SEC14L2 Antibody - BSA Free
Application
Recommended Usage
Immunocytochemistry/ Immunofluorescence
1:50 - 1:100
Immunohistochemistry-Paraffin
1:50 - 1:200
Western Blot
1:1000 - 1:2000
Formulation, Preparation, and Storage
Purification
Affinity purified
Formulation
PBS (pH 7.3), 50% glycerol
Format
BSA Free
Preservative
0.01% Thimerosal
Concentration
Please see the vial label for concentration. If unlisted please contact technical services.
Shipping
The product is shipped with polar packs. Upon receipt, store it immediately at the temperature recommended below.
Stability & Storage
Store at -20C. Avoid freeze-thaw cycles.
Background: SEC14L2
Alternate Names
C22orf6, hTAP, KIAA1186SEC14 (S. cerevisiae)-like 2, KIAA1658SPFAlpha-tocopherol-associated protein, SEC14-like 2 (S. cerevisiae), SEC14-like protein 2, Squalene transfer protein, Supernatant protein factor, TAP1, TAPMGC65053, tocopherol-associated protein
Gene Symbol
SEC14L2
Additional SEC14L2 Products
Product Documents for SEC14L2 Antibody - BSA Free
Product Specific Notices for SEC14L2 Antibody - BSA Free
This product is for research use only and is not approved for use in humans or in clinical diagnosis. Primary Antibodies are guaranteed for 1 year from date of receipt.
Loading...
Loading...
Loading...
Loading...