Skip to main content

SDHB Antibody (SDHB/2126)

Novus Biologicals, part of Bio-Techne | Catalog # NBP3-07786

Novus Biologicals, part of Bio-Techne
Catalog #
Availability
Size / Price
Qty
Loading...
NBP3-07786-100ug
NBP3-07786-20ug
Conjugate
Catalog #

Key Product Details

Species Reactivity

Human

Applications

Immunohistochemistry, Immunohistochemistry-Paraffin, Western Blot

Label

Unconjugated

Antibody Source

Monoclonal Mouse IgG1 kappa Clone # SDHB/2126

Concentration

0.2 mg/ml

Product Specifications

Immunogen

Recombinant human SDHB fragment around aa 165-273 (Exact sequence is proprietary) (Uniprot: P21912 )

Reactivity Notes

Others not known.

Localization

Cytoplasmic (Mitochondria)

Specificity

Succinate dehydrogenase (SDH) is Complex II in the mitochondria, vital for mitochondrial electron transport, as well as Krebs cycle function. Four subunits comprise the SDH protein complex: a flavochrome subunit (SDHA), an iron-sulfur protein (SDHB) and two membrane-bound subunits (SDHC and SDHD) anchored to the inner mitochondrial membrane. The SDH complex functions as a tumor suppressor. Loss of any subunit proteins lead to destabilization of the complex and tumor formation. Antibody to SDHB is helpful in the identification of phaeochromocytomas, paragangliomas and GIST.

Marker

Pheochromocytoma Marker

Clonality

Monoclonal

Host

Mouse

Isotype

IgG1 kappa

Theoretical MW

32 kDa.
Disclaimer note: The observed molecular weight of the protein may vary from the listed predicted molecular weight due to post translational modifications, post translation cleavages, relative charges, and other experimental factors.

Description

200ug/ml of antibody purified from Bioreactor Concentrate by Protein A or G. Prepared in 10 mM PBS with 0.05% BSA & 0.05% azide. Also available WITHOUT BSA & azide at 1.0 mg/ml. (NBP3-08809)

Antibody with azide - store at 2 to 8C. Antibody without azide - store at -20 to -80 C.

Scientific Data Images for SDHB Antibody (SDHB/2126)

Western Blot: SDHB Antibody (SDHB/2126) [NBP3-07786]

Western Blot: SDHB Antibody (SDHB/2126) [NBP3-07786]

Western Blot: SDHB Antibody (SDHB/2126) [NBP3-07786] - Western Blot Analysis of 1) 293; 2) Jurkat and 3) HepG2 Cell Lysate with SDHB Mouse Monoclonal Antibody (SDHB/2126).
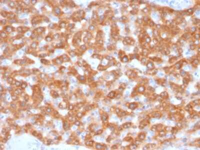
Immunohistochemistry-Paraffin: SDHB Antibody (SDHB/2126) [NBP3-07786]

Immunohistochemistry-Paraffin: SDHB Antibody (SDHB/2126) [NBP3-07786]

Immunohistochemistry-Paraffin: SDHB Antibody (SDHB/2126) [NBP3-07786] - Formalin-fixed, paraffin-embedded human Kidney stained with SDHB Mouse Monoclonal Antibody (SDHB/2126).

Applications for SDHB Antibody (SDHB/2126)

Application
Recommended Usage

Immunohistochemistry

1-2 ug/ml

Immunohistochemistry-Paraffin

1-2 ug/ml

Western Blot

0.5-1.0 ug/ml
Application Notes
Immunohistology (Formalin-fixed): 1-2ug/ml for 30 minutes at RT. Staining of formalin-fixed tissues requires boiling tissue sections in 10mM citrate buffer, pH 6.0, for 10-20 min followed by cooling at RT for 20 minutes.
Optimal dilution for a specific application should be determined.

Formulation, Preparation, and Storage

Purification

Protein A or G purified

Formulation

10 mM PBS with 0.05% BSA

Preservative

0.05% Sodium Azide

Concentration

0.2 mg/ml

Shipping

The product is shipped with polar packs. Upon receipt, store it immediately at the temperature recommended below.

Stability & Storage

Store at 4C.

Background: SDHB

Complex II of the respiratory chain, which is specifically involved in the oxidation of succinate, carries electrons from FADH to CoQ. The complex is composed of four nuclear-encoded subunits and is localized in the mitochondrial inner membrane. The iron-sulfur subunit is highly conserved and contains three cysteine-rich clusters which may comprise the iron-sulfur centers of the enzyme. Sporadic and familial mutations in this gene result in paragangliomas and pheochromocytoma, and support a link between mitochondrial dysfunction and tumorigenesis. [provided by RefSeq]

Alternate Names

EC 1.3.5.1, FLJ92337, Ip, Iron-sulfur subunit of complex II, PGL4, SDH, SDH1, SDH2, SDHIP, succinate dehydrogenase [ubiquinone] iron-sulfur subunit, mitochondrial, succinate dehydrogenase complex, subunit B, iron sulfur (Ip)

Gene Symbol

SDHB

UniProt

Additional SDHB Products

Product Documents for SDHB Antibody (SDHB/2126)

Certificate of Analysis

To download a Certificate of Analysis, please enter a lot number in the search box below.

Product Specific Notices for SDHB Antibody (SDHB/2126)

This product is for research use only and is not approved for use in humans or in clinical diagnosis. Primary Antibodies are guaranteed for 1 year from date of receipt.

Loading...
Loading...
Loading...
Loading...