Skip to main content

SDF2L1 Antibody - BSA Free

Novus Biologicals, part of Bio-Techne | Catalog # NBP1-90854

Novus Biologicals, part of Bio-Techne
Catalog #
Availability
Size / Price
Qty
Loading...
NBP1-90854
NBP1-90854-25ul

Key Product Details

Species Reactivity

Validated:

Human

Predicted:

Mouse (94%), Rat (96%). Backed by our 100% Guarantee.

Applications

Immunohistochemistry, Immunohistochemistry-Paraffin

Label

Unconjugated

Antibody Source

Polyclonal Rabbit IgG

Format

BSA Free

Concentration

Concentrations vary lot to lot. See vial label for concentration. If unlisted please contact technical services.

Product Specifications

Immunogen

This antibody was developed against a recombinant protein corresponding to the amino acids: SVLKLLNTHHRVRLHSHDIKYGSGSGQQSVTGVEASDDANSYWRIRGGSEGGCPRGSPVRCGQAVRLTHVLTGKNLHTHHFPSPLSNNQEVSAFGEDGEGDDLDLWTVRCSGQHWEREAAVRFQHVGTSVFLSVTGEQYGSPIRGQHEVHGMPSANTHNTWKAMEGIFIKPSVEPSAGHD

Clonality

Polyclonal

Host

Rabbit

Isotype

IgG

Description

Novus Biologicals Rabbit SDF2L1 Antibody - BSA Free (NBP1-90854) is a polyclonal antibody validated for use in IHC. All Novus Biologicals antibodies are covered by our 100% guarantee.

Scientific Data Images for SDF2L1 Antibody - BSA Free

SDF2L1 Antibody - BSA Free Immunohistochemistry: SDF2L1 Antibody - BSA Free [NBP1-90854]

Immunohistochemistry: SDF2L1 Antibody - BSA Free [NBP1-90854]

Staining of human skeletal muscle shows weak granular cytoplasmic positivity in myocytes.
SDF2L1 Antibody - BSA Free Immunohistochemistry: SDF2L1 Antibody - BSA Free [NBP1-90854]

Immunohistochemistry: SDF2L1 Antibody - BSA Free [NBP1-90854]

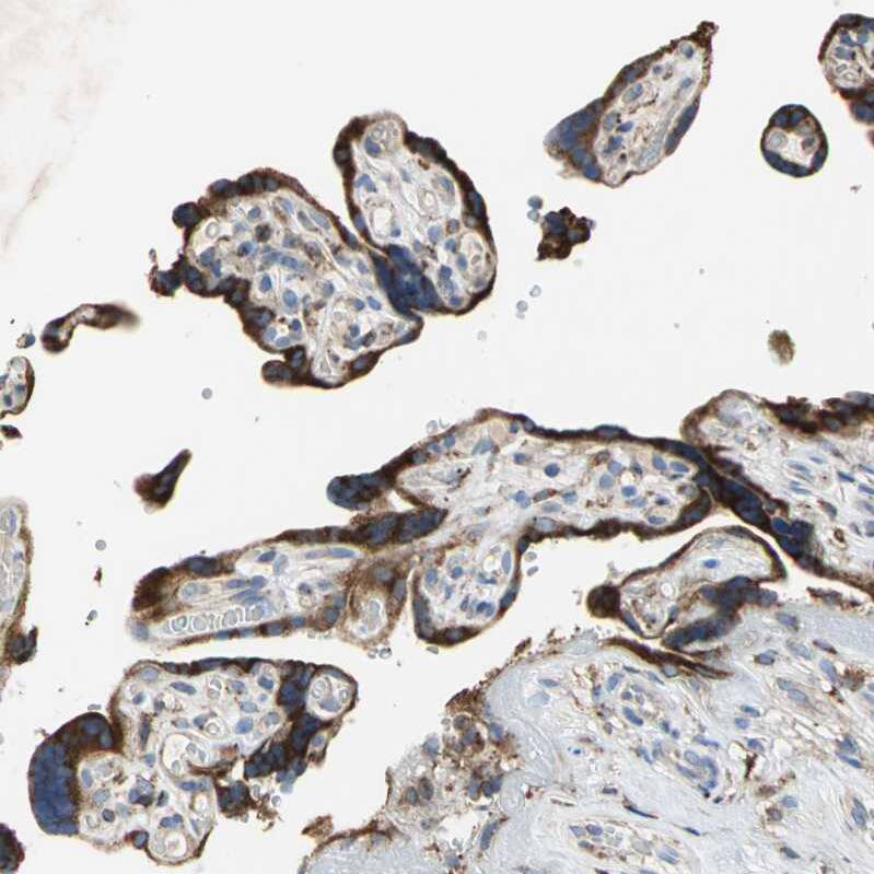
Staining of human placenta shows strong granular cytoplasmic positivity in trophoblastic cells.
SDF2L1 Antibody - BSA Free Immunohistochemistry: SDF2L1 Antibody - BSA Free [NBP1-90854]

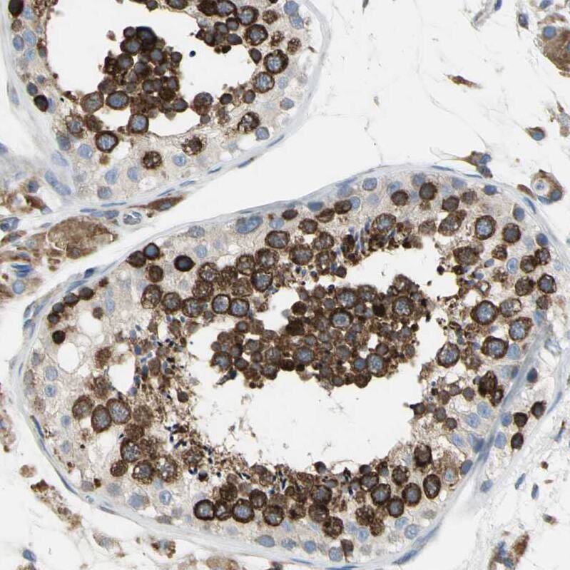
Immunohistochemistry: SDF2L1 Antibody - BSA Free [NBP1-90854]

Staining of human testis shows strong granular cytoplasmic positivity in cells in seminiferous ducts.

Applications for SDF2L1 Antibody - BSA Free

Application
Recommended Usage

Immunohistochemistry

1:200 - 1:500

Immunohistochemistry-Paraffin

1:200 - 1:500
Application Notes
For IHC-Paraffin, HIER pH 6 retrieval is recommended.

Formulation, Preparation, and Storage

Purification

Immunogen affinity purified

Formulation

PBS (pH 7.2) and 40% Glycerol

Format

BSA Free

Preservative

0.02% Sodium Azide

Concentration

Concentrations vary lot to lot. See vial label for concentration. If unlisted please contact technical services.

Shipping

The product is shipped with polar packs. Upon receipt, store it immediately at the temperature recommended below.

Stability & Storage

Store at 4C short term. Aliquot and store at -20C long term. Avoid freeze-thaw cycles.

Background: SDF2L1

Alternate Names

dihydropyrimidinase-like 2, PWP1-interacting protein 8, SDF2-like 1, stromal cell-derived factor 2-like 1, stromal cell-derived factor 2-like protein 1, UNQ1941/PRO4424

Gene Symbol

SDF2L1

Additional SDF2L1 Products

Product Documents for SDF2L1 Antibody - BSA Free

Certificate of Analysis

To download a Certificate of Analysis, please enter a lot number in the search box below.

Product Specific Notices for SDF2L1 Antibody - BSA Free

This product is for research use only and is not approved for use in humans or in clinical diagnosis. Primary Antibodies are guaranteed for 1 year from date of receipt.

Loading...
Loading...
Loading...
Loading...