SCY1 like 3 Antibody - BSA Free
Novus Biologicals, part of Bio-Techne | Catalog # NBP1-33190
Key Product Details
Species Reactivity
Human
Applications
Immunohistochemistry, Immunohistochemistry-Paraffin, Western Blot, Immunocytochemistry/ Immunofluorescence
Label
Unconjugated
Antibody Source
Polyclonal Rabbit IgG
Format
BSA Free
Concentration
Concentrations vary lot to lot. See vial label for concentration. If unlisted please contact technical services.
Product Specifications
Immunogen
Recombinant protein encompassing a sequence within the center region of human SCY1 like 3. The exact sequence is proprietary.
Localization
Cytoplasm, Golgi apparatus, Cell projection, lamellipodium
Clonality
Polyclonal
Host
Rabbit
Isotype
IgG
Description
Novus Biologicals Rabbit SCY1 like 3 Antibody - BSA Free (NBP1-33190) is a polyclonal antibody validated for use in IHC, WB and ICC/IF. All Novus Biologicals antibodies are covered by our 100% guarantee.
Scientific Data Images for SCY1 like 3 Antibody - BSA Free
Western Blot: SCY1 like 3 Antibody [NBP1-33190]
Western Blot: SCY1 like 3 Antibody [NBP1-33190] - Sample (30 ug of whole cell lysate )A: A431 7.5% SDS PAGE, antibody diluted at 1:1000.Immunocytochemistry/ Immunofluorescence: SCY1 like 3 Antibody [NBP1-33190]
Immunocytochemistry/Immunofluorescence: SCY1 like 3 Antibody [NBP1-33190] - Paraformaldehyde-fixed HeLa, using antibody at 1:200 dilution.Immunohistochemistry-Paraffin: SCY1 like 3 Antibody [NBP1-33190]
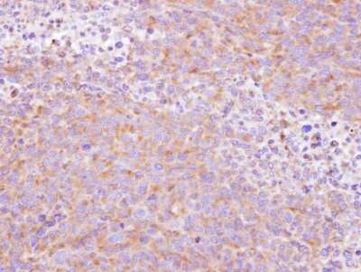
Immunohistochemistry-Paraffin: SCY1 like 3 Antibody [NBP1-33190] - Paraffin-embedded H1299 xenograft, using antibody at 1:500 dilution.Applications for SCY1 like 3 Antibody - BSA Free
Application
Recommended Usage
Immunocytochemistry/ Immunofluorescence
1:100-1:1000
Immunohistochemistry
10 - 1:500
Immunohistochemistry-Paraffin
1:100-1:1000
Western Blot
1:500-1:3000
Formulation, Preparation, and Storage
Purification
Antigen Affinity-purified
Formulation
0.1M Tris, 0.1M Glycine, 10% Glycerol
Format
BSA Free
Preservative
0.01% Thimerosal
Concentration
Concentrations vary lot to lot. See vial label for concentration. If unlisted please contact technical services.
Shipping
The product is shipped with polar packs. Upon receipt, store it immediately at the temperature recommended below.
Stability & Storage
Aliquot and store at -20C or -80C. Avoid freeze-thaw cycles.
Background: SCY1 like 3
Alternate Names
ezrin-binding partner PACE-1 (PACE-1), Ezrin-binding protein PACE-1, PACE1PACE-1, protein-associating with the carboxyl-terminal domain of ezrin, RP1-97P20.2, SCY1-like 3 (S. cerevisiae), SCY1-like protein 3
Gene Symbol
SCYL3
Additional SCY1 like 3 Products
Product Documents for SCY1 like 3 Antibody - BSA Free
Product Specific Notices for SCY1 like 3 Antibody - BSA Free
This product is for research use only and is not approved for use in humans or in clinical diagnosis. Primary Antibodies are guaranteed for 1 year from date of receipt.
Loading...
Loading...
Loading...
Loading...
⚠ WARNING: This product can expose you to chemicals including mercury, which is known to the State of California to cause reproductive toxicity with developmental effects. For more information go to www.P65Warnings.ca.gov.