Skip to main content

SCY1 like 3 Antibody (OTI1A5)

Novus Biologicals, part of Bio-Techne | Catalog # NBP1-47956

Novus Biologicals, part of Bio-Techne
Catalog #
Availability
Size / Price
Qty
Loading...
NBP1-47956
Conjugate
Catalog #

Key Product Details

Species Reactivity

Human

Applications

Immunohistochemistry, Immunohistochemistry-Paraffin, Western Blot

Label

Unconjugated

Antibody Source

Monoclonal Mouse IgG1 Clone # OTI1A5

Concentration

0.85 mg/ml

Product Specifications

Immunogen

Full-length protein expressed in 293T cell transfected with human SCYL3 expression vector

Specificity

This antibody is specific for Homo sapiens SCY1-like 3 (S. cerevisiae) (SCYL3), transcript variant 1.

Clonality

Monoclonal

Host

Mouse

Isotype

IgG1

Theoretical MW

82.8 kDa.
Disclaimer note: The observed molecular weight of the protein may vary from the listed predicted molecular weight due to post translational modifications, post translation cleavages, relative charges, and other experimental factors.

Scientific Data Images for SCY1 like 3 Antibody (OTI1A5)

Western Blot: SCY1 like 3 Antibody (OTI1A5) [NBP1-47956]

Western Blot: SCY1 like 3 Antibody (OTI1A5) [NBP1-47956]

Western Blot: SCY1 like 3 Antibody (1A5) [NBP1-47956] - HEK293T cells were transfected with the pCMV6-ENTRY control (Left lane) or pCMV6-ENTRY SCY1 like 3 (Right lane) cDNA for 48 hrs and lysed. Equivalent amounts of cell lysates (5 ug per lane) were separated by SDS-PAGE and immunoblotted with anti-SCY1 like 3.
Immunohistochemistry-Paraffin: SCY1 like 3 Antibody (1A5) [NBP1-47956] Staining of paraffin-embedded pancreas tissue using anti-SCY1 like 3mouse monoclonal antibody.
Immunohistochemistry-Paraffin: SCY1 like 3 Antibody (OTI1A5) [NBP1-47956]

Immunohistochemistry-Paraffin: SCY1 like 3 Antibody (OTI1A5) [NBP1-47956]

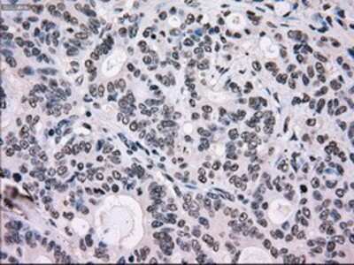
Immunohistochemistry-Paraffin: SCY1 like 3 Antibody (1A5) [NBP1-47956] - Staining of paraffin-embedded Adenocarcinoma of breast tissue using anti-SCY1 like 3 mouse monoclonal antibody.

Applications for SCY1 like 3 Antibody (OTI1A5)

Application
Recommended Usage

Immunohistochemistry

1:50

Immunohistochemistry-Paraffin

1:50

Western Blot

1:2000

Formulation, Preparation, and Storage

Purification

Immunogen affinity purified

Formulation

PBS (pH 7.3), 1.0% BSA and 50% Glycerol

Preservative

0.02% Sodium Azide

Concentration

0.85 mg/ml

Shipping

The product is shipped with polar packs. Upon receipt, store it immediately at the temperature recommended below.

Stability & Storage

Store at -20C. Avoid freeze-thaw cycles.

Background: SCY1 like 3

May play a role in regulating cell adhesion/migration complexes in migrating cells

Alternate Names

ezrin-binding partner PACE-1 (PACE-1), Ezrin-binding protein PACE-1, PACE1PACE-1, protein-associating with the carboxyl-terminal domain of ezrin, RP1-97P20.2, SCY1-like 3 (S. cerevisiae), SCY1-like protein 3

Entrez Gene IDs

57147 (Human)

Gene Symbol

SCYL3

Additional SCY1 like 3 Products

Product Documents for SCY1 like 3 Antibody (OTI1A5)

Certificate of Analysis

To download a Certificate of Analysis, please enter a lot number in the search box below.

Product Specific Notices for SCY1 like 3 Antibody (OTI1A5)

This product is for research use only and is not approved for use in humans or in clinical diagnosis. Primary Antibodies are guaranteed for 1 year from date of receipt.

Loading...
Loading...
Loading...
Loading...