Skip to main content

Scribble Antibody

Novus Biologicals, part of Bio-Techne | Catalog # NBP2-15110

Novus Biologicals, part of Bio-Techne
Catalog #
Availability
Size / Price
Qty
Loading...
NBP2-15110

Key Product Details

Species Reactivity

Human, Mouse

Applications

Immunohistochemistry, Immunohistochemistry-Paraffin, Western Blot

Label

Unconjugated

Antibody Source

Polyclonal Rabbit IgG

Concentration

Concentrations vary lot to lot. See vial label for concentration. If unlisted please contact technical services.

Product Specifications

Immunogen

Carrier-protein conjugated synthetic peptide encompassing a sequence within the C-terminus region of human Scribble. The exact sequence is proprietary.

Clonality

Polyclonal

Host

Rabbit

Isotype

IgG

Theoretical MW

175 kDa.
Disclaimer note: The observed molecular weight of the protein may vary from the listed predicted molecular weight due to post translational modifications, post translation cleavages, relative charges, and other experimental factors.

Description

Novus Biologicals Rabbit Scribble Antibody (NBP2-15110) is a polyclonal antibody validated for use in IHC and WB. Anti-Scribble Antibody: Cited in 1 publication. All Novus Biologicals antibodies are covered by our 100% guarantee.

Scientific Data Images for Scribble Antibody

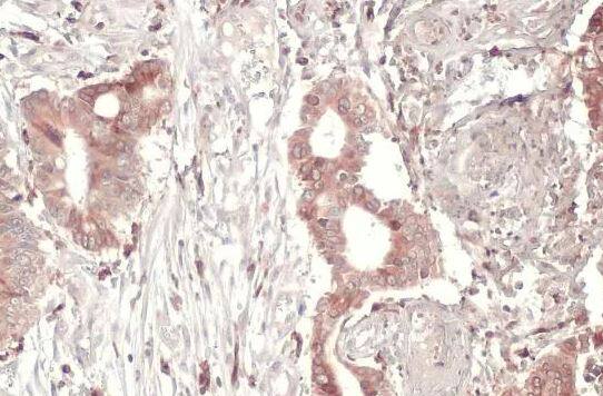
Immunohistochemistry-Paraffin: Scribble Antibody [NBP2-15110]

Immunohistochemistry-Paraffin: Scribble Antibody [NBP2-15110]

Immunohistochemistry-Paraffin: Scribble Antibody [NBP2-15110] - Human colon carcinoma. SCRIB antibody dilution: 1:250. Antigen Retrieval: Trilogy™ (EDTA based, pH 8.0) buffer, 15min.
Western Blot: Scribble Antibody [NBP2-15110]

Western Blot: Scribble Antibody [NBP2-15110]

Western Blot: Scribble Antibody [NBP2-15110] - Sample (30 ug of whole cell lysate) A: NIH-3T3 B: JC 5% SDS PAGE; antibody diluted at 1:1000.
Scribble Antibody

Western Blot: Scribble Antibody [NBP2-15110] -

Western Blot: Scribble Antibody [NBP2-15110] -Various whole cell extracts (30 μg) were separated by 5% SDS-PAGE, and the membrane was blotted with SCRIB antibody diluted at 1:1000. The HRP-conjugated anti-rabbit IgG antibody (NBP2-19301) was used to detect the primary antibody.

Applications for Scribble Antibody

Application
Recommended Usage

Immunohistochemistry

1:100-1:1000

Immunohistochemistry-Paraffin

1:100-1:1000

Western Blot

1:500-1:3000

Formulation, Preparation, and Storage

Purification

Antigen Affinity-purified

Formulation

PBS, 1% BSA, 20% Glycerol

Preservative

0.025% Proclin 300

Concentration

Concentrations vary lot to lot. See vial label for concentration. If unlisted please contact technical services.

Shipping

The product is shipped with polar packs. Upon receipt, store it immediately at the temperature recommended below.

Stability & Storage

Aliquot and store at -20C or -80C. Avoid freeze-thaw cycles.

Background: Scribble

SCRIB is a cytoplasmic multimodular scaffold protein targeted to epithelial adherens junctions and neuronal presynaptic compartments. SCRIB and its orthologs in vertebrates and invertebrates participate in cell polarization (summary by Nola et al., 2008 [PubMed 18716323]).[supplied by OMIM]

Alternate Names

CRIB1, protein scribble homolog, SCRB1, SCRIB1, scribbled homolog (Drosophila), Vartul

Gene Symbol

SCRIB

Additional Scribble Products

Product Documents for Scribble Antibody

Certificate of Analysis

To download a Certificate of Analysis, please enter a lot number in the search box below.

Product Specific Notices for Scribble Antibody

This product is for research use only and is not approved for use in humans or in clinical diagnosis. Primary Antibodies are guaranteed for 1 year from date of receipt.

Loading...
Loading...
Loading...
Loading...

⚠ WARNING: This product can expose you to chemicals including mercury, which is known to the State of California to cause reproductive toxicity with developmental effects.  For more information go to www.P65Warnings.ca.gov.