Skip to main content

SCP3/SYCP3 Antibody - BSA Free

Novus Biologicals, part of Bio-Techne | Catalog # NBP2-78133

Novus Biologicals, part of Bio-Techne

Key Product Details

Species Reactivity

Validated:

Human, Mouse

Predicted:

Bovine (93%), Monkey (93%). Backed by our 100% Guarantee.

Applications

Immunohistochemistry, Immunohistochemistry-Paraffin, Western Blot

Label

Unconjugated

Antibody Source

Polyclonal Rabbit

Format

BSA Free

Concentration

1.0 mg/ml

Product Specifications

Immunogen

Partial synthetic peptide made to an N-terminal region of the human SCP3 protein (between amino acids 10-80) [UniProt Q8IZU3]

Clonality

Polyclonal

Host

Rabbit

Description

Novus Biologicals Rabbit SCP3/SYCP3 Antibody - BSA Free (NBP2-78133) is a polyclonal antibody validated for use in IHC and WB. All Novus Biologicals antibodies are covered by our 100% guarantee.

Scientific Data Images for SCP3/SYCP3 Antibody - BSA Free

Western Blot: SCP3/SYCP3 AntibodyBSA Free [NBP2-78133]

Western Blot: SCP3/SYCP3 AntibodyBSA Free [NBP2-78133]

Western Blot: SCP3/SYCP3 Antibody [NBP2-78133] - Total protein from human and mouse testis was separated on a 12% gel by SDS-PAGE, transferred to PVDF membrane and blocked in 5% non-fat milk in TBST. The membrane was probed with 2.0 ug/ml anti-SCP3 in block buffer and detected with an anti-rabbit HRP secondary antibody using West Pico PLUS chemiluminescence detection reagent.
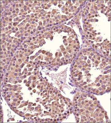
Immunohistochemistry-Paraffin: SCP3/SYCP3 Antibody - BSA Free [NBP2-78133]

Immunohistochemistry-Paraffin: SCP3/SYCP3 Antibody - BSA Free [NBP2-78133]

Immunohistochemistry-Paraffin: SCP3/SYCP3 Antibody [NBP2-78133] - IHC analysis of a FFPE tissue section of the mouse testis using 1:200 dilution of SCP3 antibody (NBP2-78133). The signal was developed using HRP-DAB method which followed counterstaining of the cells with hematoxylin. The antibody generated strong staining associated with chromatin in meiotic cells.

Applications for SCP3/SYCP3 Antibody - BSA Free

Application
Recommended Usage

Immunohistochemistry

1:200

Immunohistochemistry-Paraffin

1:200

Western Blot

1 - 2 ug/ml

Formulation, Preparation, and Storage

Purification

Immunogen affinity purified

Formulation

PBS

Format

BSA Free

Preservative

0.02% Sodium Azide

Concentration

1.0 mg/ml

Shipping

The product is shipped with polar packs. Upon receipt, store it immediately at the temperature recommended below.

Stability & Storage

Store at 4C short term. Aliquot and store at -20C long term. Avoid freeze-thaw cycles.

Background: SCP3/SYCP3

SCP3 (Synaptonemal complex protein 3) is a DNA-binding nuclear protein that belongs to the XLR/SYCP3 family and is an essential structural component of the transverse filaments of synaptonemal complexes formed between homologous chromosomes during meiotic prophase. The synaptonemal complex develops during prophase of first meiosis, wherein it allows the synapse as well as recombination between maternal - paternal chromosomes, and SCP3 is essential to hold cohesin complex between homologous chromosomes, which avoid premature segregation thereby preventing aneuploidies. SCP3 is involved in phosphorylation of HORMAD1 and HORMAD2. It is essential to development of testis (where it is primarily localized) and defective SCP3 may leads to spermatogenic failure type 4 (SPGF4). SCP3 deificient mouse depicts high numbers of aneuploidies in oocytes and offspring. SCP3 is also expressed in certain malignancies including human acute lymphatic leukemias, cervical cancer cells, lung cancer cells etc.

Long Name

Synaptonemal Complex Protein 3

Alternate Names

COR1, SYCP3, anti-SCP3

Gene Symbol

SYCP3

Additional SCP3/SYCP3 Products

Product Documents for SCP3/SYCP3 Antibody - BSA Free

Certificate of Analysis

To download a Certificate of Analysis, please enter a lot number in the search box below.

Product Specific Notices for SCP3/SYCP3 Antibody - BSA Free

This product is for research use only and is not approved for use in humans or in clinical diagnosis. Primary Antibodies are guaranteed for 1 year from date of receipt.

Loading...
Loading...
Loading...
Loading...