Immunocytochemistry/ Immunofluorescence: SCP3/SYCP3 Antibody - BSA Free [NB300-232]
SCP3-SYCP3-Antibody-Immunocytochemistry-Immunofluorescence-NB300-232-img0018.jpg
Western Blot: SCP3/SYCP3 AntibodyBSA Free [NB300-232]
Western Blot: SCP3/SYCP3 Antibody [NB300-232] - SCP3 Antibody [NB300-232] - Analysis of SCP3 in mouse testis protein.
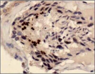
Immunohistochemistry-Paraffin: SCP3/SYCP3 Antibody - BSA Free [NB300-232]
Immunohistochemistry-Paraffin: SCP3/SYCP3 Antibody [NB300-232] - Analysis of SCP3 in human testis using DAB with hematoxylin counterstain.
Immunocytochemistry/ Immunofluorescence: SCP3/SYCP3 Antibody - BSA Free [NB300-232]
Immunocytochemistry/Immunofluorescence: SCP3/SYCP3 Antibody [NB300-232] - SCP3 Antibody [NB300-232] - SCP3 labeled in mouse pachytene preparation (red), using NB300-232 SCP3 antibody. CDK2 staining, near teleomeres, is also present (green).
Immunocytochemistry/ Immunofluorescence: SCP3/SYCP3 Antibody - BSA Free [NB300-232]
SCP3-SYCP3-Antibody-Immunocytochemistry-Immunofluorescence-NB300-232-img0017.jpg
Immunohistochemistry-Paraffin: SCP3/SYCP3 Antibody - BSA Free [NB300-232]
Immunohistochemistry-Paraffin: SCP3/SYCP3 Antibody [NB300-232] - IHC-P analysis of formalin fixed paraffin embedded tissue section of mouse testes using SCP3 antibody at 1:200 dilution. Specific staining may be seen in the spermatogonial cells and the primary spermatocytes.
Immunocytochemistry/ Immunofluorescence: SCP3/SYCP3 Antibody - BSA Free [NB300-232] -
UHRF1 deficiency resulted in impaired meiotic recombination & defective pachynema.a Double immunofluorescence of SYCP3 (green) & DMC1 (red) in testicular spread preparations. b, c The number of DMC1 foci in zygotene stage (b) & pachytene stage (c). d Immunostaining for SYCP3 (red) & gammaH2AX (green). e The percentage of abnormal gammaH2AX foci in the pachytene stage. f Immunostaining for SYCP3 (red) & MLH1 (green). g The number of MLH1 foci in pachynema. h Immunostaining for SYCP3 (red) & H1t (green). i The percentage of spermatocytes with H1T staining. ***p ≤ 0.001; *p ≤ 0.05. Scale bar, 5 μm in a, d, f, h. Image collected & cropped by CiteAb from the following publication (https://pubmed.ncbi.nlm.nih.gov/32081844), licensed under a CC-BY license. Not internally tested by Novus Biologicals.
Immunocytochemistry/ Immunofluorescence: SCP3/SYCP3 Antibody - BSA Free [NB300-232] -
Immunocytochemistry/ Immunofluorescence: SCP3/SYCP3 Antibody - BSA Free [NB300-232] - Effects of MLT on HR in DEHP-exposed fetal oocytes. (A)The immunofluorescence with Sycp3 (red) & RAD51 (green) in fetal oocytes. (B) The percentages of more, less & none staining of RAD51 in all MPI stages (control: 32.48 ± 2.54%, 67.52 ± 2.54%; DEHP: 59.83 ± 7.44%, 40.17 ± 7.44%; DEHP+MLT: 33.13 ± 2.79%, 66.87 ± 2.79%). (C) The percentages of more, less & none staining of RAD51 in pachytene & diplotene oocytes (control: 36.27 ± 8.02%, 19.09 ± 1.03%, 44.64 ± 8.08%; DEHP: 44.24 ± 2.98%, 22.50 ± 4.28%, 33.26 ± 1.30%; DEHP+MLT: 32.97 ± 4.27%, 22.00 ± 1.03%, 45.03 ± 4.76%). The results were presented as mean ± SEM. *P < 0.05, ** P < 0.01. Image collected & cropped by CiteAb from the following publication (https://pubmed.ncbi.nlm.nih.gov/30591620), licensed under a CC-BY license. Not internally tested by Novus Biologicals.
Immunocytochemistry/ Immunofluorescence: SCP3/SYCP3 Antibody - BSA Free [NB300-232] -
Immunocytochemistry/ Immunofluorescence: SCP3/SYCP3 Antibody - BSA Free [NB300-232] - UHRF1 deficiency resulted in impaired meiotic recombination & defective pachynema.a Double immunofluorescence of SYCP3 (green) & DMC1 (red) in testicular spread preparations. b, c The number of DMC1 foci in zygotene stage (b) & pachytene stage (c). d Immunostaining for SYCP3 (red) & gammaH2AX (green). e The percentage of abnormal gammaH2AX foci in the pachytene stage. f Immunostaining for SYCP3 (red) & MLH1 (green). g The number of MLH1 foci in pachynema. h Immunostaining for SYCP3 (red) & H1t (green). i The percentage of spermatocytes with H1T staining. ***p ≤ 0.001; *p ≤ 0.05. Scale bar, 5 μm in a, d, f, h. Image collected & cropped by CiteAb from the following publication (https://pubmed.ncbi.nlm.nih.gov/32081844), licensed under a CC-BY license. Not internally tested by Novus Biologicals.
Immunocytochemistry/ Immunofluorescence: SCP3/SYCP3 Antibody - BSA Free [NB300-232] -
Immunocytochemistry/ Immunofluorescence: SCP3/SYCP3 Antibody - BSA Free [NB300-232] - UHRF1 deficiency resulted in impaired meiotic recombination & defective pachynema.a Double immunofluorescence of SYCP3 (green) & DMC1 (red) in testicular spread preparations. b, c The number of DMC1 foci in zygotene stage (b) & pachytene stage (c). d Immunostaining for SYCP3 (red) & gammaH2AX (green). e The percentage of abnormal gammaH2AX foci in the pachytene stage. f Immunostaining for SYCP3 (red) & MLH1 (green). g The number of MLH1 foci in pachynema. h Immunostaining for SYCP3 (red) & H1t (green). i The percentage of spermatocytes with H1T staining. ***p ≤ 0.001; *p ≤ 0.05. Scale bar, 5 μm in a, d, f, h. Image collected & cropped by CiteAb from the following publication (https://pubmed.ncbi.nlm.nih.gov/32081844), licensed under a CC-BY license. Not internally tested by Novus Biologicals.
Western Blot: SCP3/SYCP3 Antibody - BSA Free [NB300-232] -
Western Blot: SCP3/SYCP3 Antibody - BSA Free [NB300-232] - Effects of MLT on meiotic progression & DSBs in DEHP-exposed fetal ovaries. (A) Morphology of 12.5 dpc ovaries cultured for 6 days in control, DEHP & DEHP+MLT group in vitro. (B) Western blot analyses of the expression of Sycp3 & gammaH2afx protein in control, DEHP, & DEHP+MLT groups. (C) Relative expression level of genes Sycp3 & Trp53 in control, DEHP & DEHP+MLT groups. The results were presented as mean ± SEM. *P < 0.05, ** P < 0.01. Image collected & cropped by CiteAb from the following publication (https://pubmed.ncbi.nlm.nih.gov/30591620), licensed under a CC-BY license. Not internally tested by Novus Biologicals.
Immunocytochemistry/ Immunofluorescence: SCP3/SYCP3 Antibody - BSA Free [NB300-232] -
Immunocytochemistry/ Immunofluorescence: SCP3/SYCP3 Antibody - BSA Free [NB300-232] - Dynamic expression of germ cell markers in human fetal testes. (A) Histological sections of human testes at W10, W12, W17 & W22, immunostained for the early germ cell marker (nuclear) POU5F1 (red) & late germ cell marker (cytoplasmic) DDX4 (green). Inserts are magnifications of the dotted boxes. (B) Histological sections of human ovaries at W10, W12, W17 & W22, immunostained for the meiotic markers H2AFX (red) & SYCP3 (green). Note the presence of autofluorescent red blood cells. Scale bars are 200 µm & in the magnified inserts 20 µm. Image collected & cropped by CiteAb from the following publication (https://pubmed.ncbi.nlm.nih.gov/26834021), licensed under a CC-BY license. Not internally tested by Novus Biologicals.
Immunocytochemistry/ Immunofluorescence: SCP3/SYCP3 Antibody - BSA Free [NB300-232] -
Immunocytochemistry/ Immunofluorescence: SCP3/SYCP3 Antibody - BSA Free [NB300-232] - The effect of MLT on the formation of DSBs in fetal oocytes. (A)The immunofluorescence with Sycp3 (red) & gammaH2afx (green) in fetal oocytes. (B) The percentages of stronger, none & weaker gammaH2afx signal in oocyte in all MPI stages (control: 77.60 ± 5.04%, 22.40 ± 5.04%; DEHP: 87.24 ± 4.02%, 12.46 ± 4.02%; DEHP+MLT: 56.03 ± 9.52%, 43.97 ± 9.52%). (C) The percentages of stronger, weaker & none staining of gammaH2afx in pachytene & diplotene oocytes (control: 62.13 ± 3.37%, 35.92 ± 2.99%, 1.95 ± 0.78%; DEHP: 80.48 ± 1.53%, 17.41 ± 1.94%, 2.11 ± 0.78%; DEHP+MLT: 64.36 ± 2.39%, 35.64 ± 2.39%, 0.00 ± 0.00%). The results were presented as mean ± SEM. *P < 0.05, ** P < 0.01. Image collected & cropped by CiteAb from the following publication (https://pubmed.ncbi.nlm.nih.gov/30591620), licensed under a CC-BY license. Not internally tested by Novus Biologicals.
Immunocytochemistry/ Immunofluorescence: SCP3/SYCP3 Antibody - BSA Free [NB300-232] -
Immunocytochemistry/ Immunofluorescence: SCP3/SYCP3 Antibody - BSA Free [NB300-232] - Dose-dependent decrease or increase of the number of meiotic germ cells (SCP3, MLH1) & of gammaH2AX positive cell, respectively, in nicotine treated fetal ovaries cultured for 4 days. (A) Representative IF images of ovarian tissue sections for SCP3; (B) representative IF images of ovarian tissue sections for MLH1 & gammaH2AX; (C) Relative percentage of SCP3 & MLH1 positive cells of ovaries cultured without (control) & with 1mM or 10mM nicotine. All experiments were repeated at least three times. (*) & (**) indicate significant (P < 0.05) & highly significant (P < 0.01) difference, respectively. Image collected & cropped by CiteAb from the following publication (https://pubmed.ncbi.nlm.nih.gov/30001218), licensed under a CC-BY license. Not internally tested by Novus Biologicals.
Immunocytochemistry/ Immunofluorescence: SCP3/SYCP3 Antibody - BSA Free [NB300-232] -
Immunocytochemistry/ Immunofluorescence: SCP3/SYCP3 Antibody - BSA Free [NB300-232] - Effects of MLT on mismatch repair in DEHP-exposed fetal oocytes. (A)The immunofluorescence with Sycp3 (green) & MLH1 (red) in fetal oocytes. (B) The percentages of positive & negative MLH1 signal in oocytes (control: 23.63 ± 0.55%, 76.37 ± 0.55%; DEHP: 77.01 ± 4.41%, 22.99 ± 4.41%; DEHP+MLT: 55.04 ± 17.04%, 43.87 ± 17.08%). (C & D) The amounts of the MLH1 positive foci in pachytene (control: 7.91 ± 1.33; DEHP: 13.97 ± 0.95; DEHP+MLT: 6.74 ± 0.58) & diplotene (control: 12.11 ± 1.74; DEHP: 13.18 ± 1.16; DEHP+MLT: 7.58 ± 1.07) oocytes, respectively. The results were presented as mean ± SEM. *P < 0.05, ** P < 0.01. Image collected & cropped by CiteAb from the following publication (https://pubmed.ncbi.nlm.nih.gov/30591620), licensed under a CC-BY license. Not internally tested by Novus Biologicals.
Immunocytochemistry/ Immunofluorescence: SCP3/SYCP3 Antibody - BSA Free [NB300-232] -
Immunocytochemistry/ Immunofluorescence: SCP3/SYCP3 Antibody - BSA Free [NB300-232] - Hyper-5hmC resulted from UHRF1 deletion.a Venn diagram depicting reduced transcripts associated with 5hmC downregulation. b 5hmC level of meiosis prophase I spermatocytes (16 dpp). c 5hmC densities of all chromosomes. d The distribution of 5hmC density on the genome of spermatocytes. e Venn diagram depicting 5hmC peaks in Uhrf1f/f;Stra8-cre & Uhrf1f/f spermatocytes. f 5hmC densities was shown in the proximal promoter, TSS, & gene body regions of the DEGs. g 5hmC densities in TSSs of the total refgenes with different RPKMs. h The percentage of RNA polymerase II staining in pachynema. i Double immunofluorescence of testicular spread preparations, SYCP3 (red) & RNA polymerase II (green). Scale bar, 5 μm in i. Image collected & cropped by CiteAb from the following publication (https://pubmed.ncbi.nlm.nih.gov/32081844), licensed under a CC-BY license. Not internally tested by Novus Biologicals.
Immunocytochemistry/ Immunofluorescence: SCP3/SYCP3 Antibody - BSA Free [NB300-232] -
Immunocytochemistry/ Immunofluorescence: SCP3/SYCP3 Antibody - BSA Free [NB300-232] - UHRF1 deletion disrupted the meiotic progression & synaptonemal complex assembly.a Relative amounts of four spermatocyte populations (leptotene stage, zygotene stage, pachytene stage, & diplotene stage) during the prophase I in testes based on analyzing >600 spermatocytes in each stage. b, c The immunostaining of SYCP3 in the testicular sections (b) & surface-spread chromatin preparations of Uhrf1 deletion & control mice (c); d the percentage of spermatocytes with abnormal SYCP3 location. e Double immunofluorescence of testicular spread preparations of the adult mice, SYCP3 (green) & SYCP1 (red). f The percentage of spermatocytes with abnormal SYCP1 location. Lep leptotene, Zyg zygotene, Pac pachytene, Dip diplotene. Data are presented as mean ± SEM of three mice. ***p ≤ 0.001. Scale bar, 25 μm in b, 5 μm in c, e. Image collected & cropped by CiteAb from the following publication (https://pubmed.ncbi.nlm.nih.gov/32081844), licensed under a CC-BY license. Not internally tested by Novus Biologicals.
Immunocytochemistry/ Immunofluorescence: SCP3/SYCP3 Antibody - BSA Free [NB300-232] -
Immunocytochemistry/ Immunofluorescence: SCP3/SYCP3 Antibody - BSA Free [NB300-232] - Dynamic expression of germ cell markers in human fetal ovaries. (A) Histological sections of human ovaries at W10.5, W14, W17 & W21.5, immunostained for the early germ cell marker (nuclear) POU5F1 (red) & late germ cell marker (cytoplasmic) DDX4 (green). In zone 1, most germ cells are POU5F1+DDX4−/low; in zone 2 & 3, most germ cells are DDX4+. Several germ cells in zone 3 have developed into primordial follicles. Inserts are magnifications of the dotted boxes. (B) Histological sections of human ovaries at W10.5, W14, W17 & W21.5, immunostained for the meiotic markers H2AFX (red) & SYCP3 (green). Inserts are magnifications of the dotted boxes. Note the presence of autofluorescent red blood cells. Scale bars are 200 µm & in the magnified inserts 20 µm. Image collected & cropped by CiteAb from the following publication (https://pubmed.ncbi.nlm.nih.gov/26834021), licensed under a CC-BY license. Not internally tested by Novus Biologicals.
Immunocytochemistry/ Immunofluorescence: SCP3/SYCP3 Antibody - BSA Free [NB300-232] -
Immunocytochemistry/ Immunofluorescence: SCP3/SYCP3 Antibody - BSA Free [NB300-232] - CYP51 regulates the expression of the meiosis-specific cohesin subunits REC8 & STAG3. (A,B) RS21745 treatment decreased REC8 & STAG3 expression. Ovaries at 14.5 dpc were cultured with 10 μM RS21745 for 3 days in vitro. (A) Expression of the cohesin subunits following RS21745 treatment by qRT-PCR. All qRT-PCR values were normalized to beta-actin & were expressed as a relative ratio to the control; the means±s.e.m. of 3 values are shown. (B) Expression of REC8 & STAG3 following RS21745 treatment by western blotting GAPDH was used as internal reference. (C–F) Inhibition of CYP51 disturbed the distribution of both REC8 & STAG3 on the chromosomes. (C,E) In the control groups, REC8 & STAG3 expression was observed at high levels in zygotene oocytes. In the CYP51 inhibition groups, the cohesin signals were absent in zygotene cells. (D,F) The percentage of REC8-positive or STAG3-positive oocytes at the zygotene stage was recorded. Unidentified germ cells were not included in the analyses. Scale bars: 10 μm. The data are presented as the means±s.e.m. of 3–9 ovaries per group. Asterisk (*) denotes a statistically significant difference between the control & the treatment groups. ***P<0.001 (t-test). Image collected & cropped by CiteAb from the following publication (https://pubmed.ncbi.nlm.nih.gov/30420384), licensed under a CC-BY license. Not internally tested by Novus Biologicals.
Immunocytochemistry/ Immunofluorescence: SCP3/SYCP3 Antibody - BSA Free [NB300-232] -
Immunocytochemistry/ Immunofluorescence: SCP3/SYCP3 Antibody - BSA Free [NB300-232] - Induction of meiosis is compromised in the cortical germ cells of D17 embryos subject to oestrogen level alterations. (A) D17 (HH43) left gonad sections immunostained for gammaH2AX (green) & P63 (red); nuclei are counterstained with DAPI (blue). (B) Sections from the D17 (HH43) left gonad shown in A immunostained for gammaH2AX (green) & SYCP3 (red). ZW-WT, ZW wild type; ZW-Fa, ZW treated with fadrozole from D7-7.5 (HH31); ZW-E2, ZW treated with beta-oestradiol at D7-7.5; ZZ-E2, ZZ treated with beta-oestradiol at D7-7.5; ZW-Fa(sr), ZW, partially sex-reversed gonad, treated with fadrozole at D4; ZZ-E2(sr), ZZ, partially sex-reversed gonad, treated with beta-oestradiol at D4. All gonadal models have a cortical domain containing germ cells. In ZW-Fa ovary & ZW-E2 ovary, most cortical germ cells express SYCP3 like the ZW-WT control. In ZW-Fa(sr) ovotestis, very few germ cells express gammaH2AX & SYCP3 (orange dotted circled areas). In ZZ-E2(sr) ovotestis & ZZ-E2 testis overlain by a cortex, some cortical germ cells express gammaH2AX but none expresses SYCP3. White dotted line highlights the cortical domain borders. See Fig. S4 for the medullary structure of the ZZ-E2, ZW-Fa(sr) & ZZ-E2(sr) models. Image collected & cropped by CiteAb from the following publication (https://pubmed.ncbi.nlm.nih.gov/32001442), licensed under a CC-BY license. Not internally tested by Novus Biologicals.
Immunocytochemistry/ Immunofluorescence: SCP3/SYCP3 Antibody - BSA Free [NB300-232] -
Immunocytochemistry/ Immunofluorescence: SCP3/SYCP3 Antibody - BSA Free [NB300-232] - Exposure to DEHP impairs meiotic progression of oocytes from pachytene to diplotene. (a) Immunolabeling of the oocyte chromosomes with anti-SYCP3 antibody (red) & Hoechst 33342 (blue). (b) Effect of DEHP on meiotic progression of oocytes throughout prophase I stages; percentage of each group is presented as mean±SD. Control: 36.27±0.80% pachytene & 54.99±0.66% diplotene; 10 μM & 100 μM DEHP 57.79±4.22% & 56.62±6.62% pachytene & 39.79±4.22% & 36.62±6.62% diplotene, respectively. (c) Representative WB showing the effect of DEHP on the expression of germ cell (DAZL) & meiotic (STRA8 & SCP3) specific proteins. (d) Effect of DEHP on the levels of mRNA in the ovarian tissues of germ cell (Mvh & Dazl), meiotic (Stra8, Rec8, Scp1 & Scp3). All experiments were repeated at least three times independently. (* P<0.05; ** P<0.01) Image collected & cropped by CiteAb from the following publication (https://pubmed.ncbi.nlm.nih.gov/28771232), licensed under a CC-BY license. Not internally tested by Novus Biologicals.
Immunocytochemistry/ Immunofluorescence: SCP3/SYCP3 Antibody - BSA Free [NB300-232] -
Immunocytochemistry/ Immunofluorescence: SCP3/SYCP3 Antibody - BSA Free [NB300-232] - Loss of lamin C2 has no effect on meiotic telomere attachment.(A) 3D-preserved swab preparations showing wildtype (A) & knockout (A′) spermatocytes simultaneously labelled with anti-TRF1 & SUN1 antibodies. As in the wildtype, in lamin C2−/− spermatocytes virtual all telomeres appear to be attached to the NE as indicated by co-localisation of TRF1 & SUN1 signals. Scale bars 5 µm. (B) Quantifications of co-localised & non-co-localised TRF1/SUN1 signals (see A) revealed that ratios of co-localised to non-co-localised spots comparing wildtype & knockout spermatocytes show no significant difference (wildtype n = 33; lamin C2−/− n = 45; Pearson's Chi2 test p-value: 0.799). (C,D) Chromosome spread preparations of pachytene-like lamin C2−/− spermatocytes showing that all telomeres are associated with SUN1. In (C) TeloFISH & in (D) anti-SUN1 staining in co-localisation with SYCP3. Scale bars 10 µm. Image collected & cropped by CiteAb from the following publication (https://dx.plos.org/10.1371/journal.pgen.1003261), licensed under a CC-BY license. Not internally tested by Novus Biologicals.
Immunohistochemistry: SCP3/SYCP3 Antibody - BSA Free [NB300-232] -
Immunohistochemistry: SCP3/SYCP3 Antibody - BSA Free [NB300-232] - FANCM expression in human fetal ovaries.(A) Relative FANCM mRNA abundance was measured by RT-qPCR in human fetal ovaries from 5 to 32 weeks post-fertilization (wpf). (B) Germ cells (D2-40+) & somatic cells (D2-40-) were sorted from three ovaries ranging from 8 to 12 wpf & FANCM expression was measured. ACTB was used to normalize FANCM expression in all samples. Dots represent different ovaries & the mean is indicated by the line. (C) Immunohistochemistry of FANCM in human fetal & adult ovaries. Fetal ovaries at 8 & 22 wpf & adult ovaries were studied. FANCM positive cells appear in yellow/brown color (monoclonal FANCM CV5.1 antibody, Novus Biologicals, Abingdon, UK). Ovarian sections were counterstained with hematoxylin (blue staining). Oo, oogonia; Pa, oocyte at the pachytene stage of meiosis I, D, oocyte at the diplotene stage of meiosis I; Pr, oocyte in primordial follicle. (D) Co-staining in 22 wpf ovaries, for FANCM (purple) & DDX4 (brown) confirmed the germ cell identity of FANCM-positive cells (left). Successive staining for FANCM & SYCP3 in the same section (panels a & b). Negative control performed with non-immune mouse IgG (right). Scale bar: 10 μm. Image collected & cropped by CiteAb from the following publication (https://pubmed.ncbi.nlm.nih.gov/29231814), licensed under a CC-BY license. Not internally tested by Novus Biologicals.
Immunocytochemistry/ Immunofluorescence: SCP3/SYCP3 Antibody - BSA Free [NB300-232] -
Immunocytochemistry/ Immunofluorescence: SCP3/SYCP3 Antibody - BSA Free [NB300-232] - Loss of lamin C2 has no effect on meiotic telomere attachment.(A) 3D-preserved swab preparations showing wildtype (A) & knockout (A′) spermatocytes simultaneously labelled with anti-TRF1 & SUN1 antibodies. As in the wildtype, in lamin C2−/− spermatocytes virtual all telomeres appear to be attached to the NE as indicated by co-localisation of TRF1 & SUN1 signals. Scale bars 5 µm. (B) Quantifications of co-localised & non-co-localised TRF1/SUN1 signals (see A) revealed that ratios of co-localised to non-co-localised spots comparing wildtype & knockout spermatocytes show no significant difference (wildtype n = 33; lamin C2−/− n = 45; Pearson's Chi2 test p-value: 0.799). (C,D) Chromosome spread preparations of pachytene-like lamin C2−/− spermatocytes showing that all telomeres are associated with SUN1. In (C) TeloFISH & in (D) anti-SUN1 staining in co-localisation with SYCP3. Scale bars 10 µm. Image collected & cropped by CiteAb from the following publication (https://dx.plos.org/10.1371/journal.pgen.1003261), licensed under a CC-BY license. Not internally tested by Novus Biologicals.
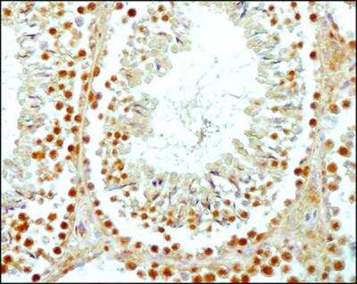
Immunohistochemistry-Paraffin: Rabbit Polyclonal SCP3/SYCP3 Antibody [NB300-232]
SYCP3 expression in adult male rhesus macaque testis seminiferous tubule. primary antibody - SYCP3 1:100.secondary antibody - donkey anti-rabbit 555.antigen retrieval buffer: 0.01M citrate (pH 6). Image from a verified customer review.