Skip to main content

SCP3/SYCP3 Antibody (6F9C5) - BSA Free

Novus Biologicals, part of Bio-Techne | Catalog # NBP2-23487

Novus Biologicals, part of Bio-Techne
Catalog #
Availability
Size / Price
Qty
Loading...
NBP2-23487

Key Product Details

Species Reactivity

Human

Applications

Immunohistochemistry, Immunohistochemistry-Paraffin, Western Blot, ELISA, Flow Cytometry, Immunocytochemistry/ Immunofluorescence

Label

Unconjugated

Antibody Source

Monoclonal Mouse IgG1 Clone # 6F9C5

Format

BSA Free

Concentration

1.0 mg/ml

Product Specifications

Immunogen

Partial recombinant human SCP3 (between residues 1-200) expressed in E. coli

Clonality

Monoclonal

Host

Mouse

Isotype

IgG1

Description

Novus Biologicals Mouse SCP3/SYCP3 Antibody (6F9C5) - BSA Free (NBP2-23487) is a monoclonal antibody validated for use in IHC, WB, ELISA, Flow and ICC/IF. Anti-SCP3/SYCP3 Antibody: Cited in 1 publication. All Novus Biologicals antibodies are covered by our 100% guarantee.

Scientific Data Images for SCP3/SYCP3 Antibody (6F9C5) - BSA Free

Western Blot: SCP3/SYCP3 Antibody (6F9C5) [NBP2-23487]

Western Blot: SCP3/SYCP3 Antibody (6F9C5) [NBP2-23487]

Western Blot: SCP3/SYCP3 Antibody (6F9C5) [NBP2-23487] - Analysis of human testis tissue (A), human ovary tissue (B), mouse testis tissue (C), and mouse ovary tissue (D) using SCP3 antibody at 2 ug/ml.
Immunocytochemistry/ Immunofluorescence: SCP3/SYCP3 Antibody (6F9C5) [NBP2-23487]

Immunocytochemistry/ Immunofluorescence: SCP3/SYCP3 Antibody (6F9C5) [NBP2-23487]

Immunocytochemistry/Immunofluorescence: SCP3/SYCP3 Antibody (6F9C5) [NBP2-23487] - Analysis of HepG2 cells using SCP3 mouse mAb (green). DRAQ5 fluorescent DNA dye (blue). Actin filaments have been labelled with Alexa Fluor-555 phalloidin (red).
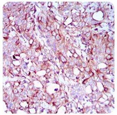
Immunohistochemistry: SCP3/SYCP3 Antibody (6F9C5) [NBP2-23487]

Immunohistochemistry: SCP3/SYCP3 Antibody (6F9C5) [NBP2-23487]

Immunohistochemistry: SCP3/SYCP3 Antibody (6F9C5) [NBP2-23487] - Analysis of paraffin-embedded kidney tissues using SYCP3 mouse mAb with DAB staining.

Applications for SCP3/SYCP3 Antibody (6F9C5) - BSA Free

Application
Recommended Usage

ELISA

1:10000

Flow Cytometry

1:200 - 1:400

Immunocytochemistry/ Immunofluorescence

1:200 - 1:1000

Immunohistochemistry

1:200 - 1:1000

Immunohistochemistry-Paraffin

1:200 - 1:1000

Western Blot

1:500 - 1:2000

Formulation, Preparation, and Storage

Purification

Ammonium sulfate precipitation

Formulation

PBS, 0.5% proprietary protein stabilizer

Format

BSA Free

Preservative

0.05% Sodium Azide

Concentration

1.0 mg/ml

Shipping

The product is shipped with polar packs. Upon receipt, store it immediately at the temperature recommended below.

Stability & Storage

Store at 4C short term. Aliquot and store at -20C long term. Avoid freeze-thaw cycles.

Background: SCP3/SYCP3

SCP3 (Synaptonemal complex protein 3) is a DNA-binding nuclear protein that belongs to XLR/SYCP3 family and is an essential structural component of the transverse filaments of synaptonemal complexes formed between homologous chromosomes during meiotic prophase. Synaptonemal complex develops during prophase of first meiosis, wherein it allows the synapse as well as recombination between maternal - paternal chromosome, and SCP3 is essential to hold cohesin complex between homologous chromosomes, which avoid premature segregation thereby preventing aneuploidies. SCP3 is involved in phosphorylation of HORMAD1 and HORMAD2. It is essential to development of testis (where it is primarily localized) and defective SCP3 may leads to spermatogenic failure type 4 (SPGF4). SCP3 deificient mouse depicts high numbers of aneuploidies in oocytes and offspring. SCP3 is also expressed in certain malignancies including human acute lymphatic leukemias, cervical cancer cells, lung cancer cells etc.

Long Name

Synaptonemal Complex Protein 3

Alternate Names

COR1, SYCP3

Entrez Gene IDs

50511 (Human)

Gene Symbol

SYCP3

UniProt

Additional SCP3/SYCP3 Products

Product Documents for SCP3/SYCP3 Antibody (6F9C5) - BSA Free

Certificate of Analysis

To download a Certificate of Analysis, please enter a lot number in the search box below.

Product Specific Notices for SCP3/SYCP3 Antibody (6F9C5) - BSA Free

This product is for research use only and is not approved for use in humans or in clinical diagnosis. Primary Antibodies are guaranteed for 1 year from date of receipt.

Loading...
Loading...
Loading...
Loading...
Loading...