SCML4 Antibody
Novus Biologicals, part of Bio-Techne | Catalog # NBP2-15109
Key Product Details
Species Reactivity
Human, Mouse
Applications
Immunohistochemistry, Immunohistochemistry-Paraffin, Western Blot
Label
Unconjugated
Antibody Source
Polyclonal Rabbit IgG
Concentration
Concentrations vary lot to lot. See vial label for concentration. If unlisted please contact technical services.
Product Specifications
Immunogen
Recombinant protein encompassing a sequence within the center region of human SCML4. The exact sequence is proprietary.
Clonality
Polyclonal
Host
Rabbit
Isotype
IgG
Theoretical MW
45 kDa.
Disclaimer note: The observed molecular weight of the protein may vary from the listed predicted molecular weight due to post translational modifications, post translation cleavages, relative charges, and other experimental factors.
Disclaimer note: The observed molecular weight of the protein may vary from the listed predicted molecular weight due to post translational modifications, post translation cleavages, relative charges, and other experimental factors.
Description
Novus Biologicals Rabbit SCML4 Antibody (NBP2-15109) is a polyclonal antibody validated for use in IHC and WB. All Novus Biologicals antibodies are covered by our 100% guarantee.
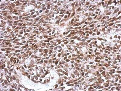
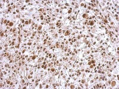
Scientific Data Images for SCML4 Antibody
Western Blot: SCML4 Antibody [NBP2-15109]
Western Blot: SCML4 Antibody [NBP2-15109] - Sample (30 ug of whole cell lysate) A: SK-N-SH 12% SDS PAGE; antibody diluted at 1:1000.Immunohistochemistry-Paraffin: SCML4 Antibody [NBP2-15109]
Immunohistochemistry-Paraffin: SCML4 Antibody [NBP2-15109] - Paraffin-embedded C2C12 xenograft, using antibody at 1:750 dilution.Immunohistochemistry-Paraffin: SCML4 Antibody [NBP2-15109]
Immunohistochemistry-Paraffin: SCML4 Antibody [NBP2-15109] - Paraffin-embedded BT483 xenograft, using antibody at 1:750 dilution.Applications for SCML4 Antibody
Application
Recommended Usage
Immunohistochemistry
1:100-1:1000
Immunohistochemistry-Paraffin
1:100-1:1000
Western Blot
1:500-1:3000
Formulation, Preparation, and Storage
Purification
Antigen Affinity-purified
Formulation
PBS, 1% BSA, 20% Glycerol
Preservative
0.01% Thimerosal
Concentration
Concentrations vary lot to lot. See vial label for concentration. If unlisted please contact technical services.
Shipping
The product is shipped with polar packs. Upon receipt, store it immediately at the temperature recommended below.
Stability & Storage
Aliquot and store at -20C or -80C. Avoid freeze-thaw cycles.
Background: SCML4
Alternate Names
dJ47M23.1, FLJ36252, sex comb on midleg-like 4 (Drosophila), sex comb on midleg-like protein 4
Gene Symbol
SCML4
Additional SCML4 Products
Product Documents for SCML4 Antibody
Product Specific Notices for SCML4 Antibody
This product is for research use only and is not approved for use in humans or in clinical diagnosis. Primary Antibodies are guaranteed for 1 year from date of receipt.
Loading...
Loading...
Loading...
Loading...
⚠ WARNING: This product can expose you to chemicals including mercury, which is known to the State of California to cause reproductive toxicity with developmental effects. For more information go to www.P65Warnings.ca.gov.