Skip to main content

SCIN Antibody - BSA Free

Novus Biologicals, part of Bio-Techne | Catalog # NBP1-89230

Novus Biologicals, part of Bio-Techne
Catalog #
Availability
Size / Price
Qty
Loading...
NBP1-89230
NBP1-89230-25ul

Key Product Details

Validated by

Orthogonal Validation

Species Reactivity

Human

Applications

Immunohistochemistry, Immunohistochemistry-Paraffin, Western Blot

Label

Unconjugated

Antibody Source

Polyclonal Rabbit IgG

Format

BSA Free

Concentration

Concentrations vary lot to lot. See vial label for concentration. If unlisted please contact technical services.

Product Specifications

Immunogen

This antibody was developed against Recombinant Protein corresponding to amino acids: LKANQVATGIRYNERKGRSELIVVEEGSEPSELIKVLGEKPELPDGGDDDDIIADISNRKMAKLYMVSDASGSMRVTVVAEENPFSMAMLLSEECFILDHG

Reactivity Notes

Rat (87%), Mouse (87%).

Clonality

Polyclonal

Host

Rabbit

Isotype

IgG

Scientific Data Images for SCIN Antibody - BSA Free

Western Blot: SCIN Antibody [NBP1-89230]

Western Blot: SCIN Antibody [NBP1-89230]

Western Blot: SCIN Antibody [NBP1-89230] - Analysis in human cell line SK-BR-3.
Immunohistochemistry-Paraffin: SCIN Antibody [NBP1-89230]

Immunohistochemistry-Paraffin: SCIN Antibody [NBP1-89230]

Immunohistochemistry-Paraffin: SCIN Antibody [NBP1-89230] - Staining in human kidney and lymph node tissues using anti-SCIN antibody. Corresponding SCIN RNA-seq data are presented for the same tissues.
Immunohistochemistry-Paraffin: SCIN Antibody [NBP1-89230]

Immunohistochemistry-Paraffin: SCIN Antibody [NBP1-89230]

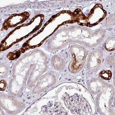
Immunohistochemistry-Paraffin: SCIN Antibody [NBP1-89230] - Staining of human kidney shows high expression.

Applications for SCIN Antibody - BSA Free

Application
Recommended Usage

Immunohistochemistry

1:1000 - 1:2500

Immunohistochemistry-Paraffin

1:1000 - 1:2500

Western Blot

0.04-0.4 ug/ml
Application Notes
For IHC-Paraffin, HIER pH 6 retrieval is recommended.

Reviewed Applications

Read 1 review rated 5 using NBP1-89230 in the following applications:

Formulation, Preparation, and Storage

Purification

Affinity purified

Formulation

PBS (pH 7.2) and 40% Glycerol

Format

BSA Free

Preservative

0.02% Sodium Azide

Concentration

Concentrations vary lot to lot. See vial label for concentration. If unlisted please contact technical services.

Shipping

The product is shipped with polar packs. Upon receipt, store it immediately at the temperature recommended below.

Stability & Storage

Store at 4C short term. Aliquot and store at -20C long term. Avoid freeze-thaw cycles.

Background: SCIN

Ca(2+)-dependent actin filament-severing protein that is presumed to have a regulatory function in exocytosisby affecting the organization of the microfilament network underneath the plasma membrane. In vitro, also has barbedend capping and nucleating activities in the presence of Ca(2+)

Alternate Names

KIAA1905adseverin, scinderin

Gene Symbol

SCIN

Additional SCIN Products

Product Documents for SCIN Antibody - BSA Free

Certificate of Analysis

To download a Certificate of Analysis, please enter a lot number in the search box below.

Product Specific Notices for SCIN Antibody - BSA Free

This product is for research use only and is not approved for use in humans or in clinical diagnosis. Primary Antibodies are guaranteed for 1 year from date of receipt.

Loading...
Loading...
Loading...
Loading...