Skip to main content

SCARA3 Antibody - BSA Free

Novus Biologicals, part of Bio-Techne | Catalog # NBP2-13286

Novus Biologicals, part of Bio-Techne
Catalog #
Availability
Size / Price
Qty
Loading...
NBP2-13286-25ul
NBP2-13286

Key Product Details

Species Reactivity

Human, Mouse, Rat

Applications

Immunohistochemistry, Immunohistochemistry-Paraffin, Western Blot

Label

Unconjugated

Antibody Source

Polyclonal Rabbit IgG

Format

BSA Free

Concentration

Concentrations vary lot to lot. See vial label for concentration. If unlisted please contact technical services.

Product Specifications

Immunogen

This antibody was developed against a recombinant protein corresponding to the amino acids: LNNCSFCHEAGQLGPEIRKLQEELEGIQKLLLAQEVQLDQTLQAQEVLSTTSRQISQEMGSCSFSIHQVNQSLGLFLAQVRGWQATTAGLDLSLKDLTQECYDVKAAVHQINFTVGQTSEWIHGIQRKTDEETLTLQKIVTDWQNYTRL

Clonality

Polyclonal

Host

Rabbit

Isotype

IgG

Scientific Data Images for SCARA3 Antibody - BSA Free

Western Blot: SCARA3 Antibody [NBP2-13286]

Western Blot: SCARA3 Antibody [NBP2-13286]

Western Blot: SCARA3 Antibody [NBP2-13286] - Lane 1: NIH-3T3 cell lysate (Mouse embryonic fibroblast cells). Lane 2: NBT-II cell lysate (Rat Wistar bladder tumor cells).
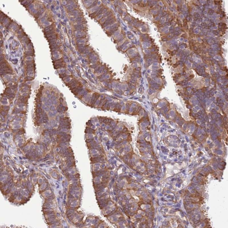
Immunohistochemistry-Paraffin: SCARA3 Antibody [NBP2-13286]

Immunohistochemistry-Paraffin: SCARA3 Antibody [NBP2-13286]

Immunohistochemistry-Paraffin: SCARA3 Antibody [NBP2-13286] - Staining of human fallopian tube shows moderate cytoplasmic positivity in glandular cells.
SCARA3 Antibody - BSA Free Western Blot: SCARA3 Antibody - BSA Free [NBP2-13286]

Western Blot: SCARA3 Antibody - BSA Free [NBP2-13286]

Lane 1: Marker [kDa] 250, 130, 95, 72, 55, 36, 28, 17, 10
Lane 2: Human cell line RT-4
Lane 3: Human cell line U-251MG sp

Applications for SCARA3 Antibody - BSA Free

Application
Recommended Usage

Immunohistochemistry

1:200 - 1:500

Immunohistochemistry-Paraffin

1:200 - 1:500

Western Blot

0.04-0.4 ug/ml
Application Notes
For IHC-Paraffin, HIER pH 6 retrieval is recommended.

Formulation, Preparation, and Storage

Purification

Affinity purified

Formulation

PBS (pH 7.2) and 40% Glycerol

Format

BSA Free

Preservative

0.02% Sodium Azide

Concentration

Concentrations vary lot to lot. See vial label for concentration. If unlisted please contact technical services.

Shipping

The product is shipped with polar packs. Upon receipt, store it immediately at the temperature recommended below.

Stability & Storage

Store at 4C short term. Aliquot and store at -20C long term. Avoid freeze-thaw cycles.

Background: SCARA3

SCARA3 encodes a macrophage scavenger receptor-like protein. This protein has been shown to deplete reactive oxygen species, and thus play an important role in protecting cells from oxidative stress. The expression of this gene is induced by oxidative stress. Alternatively spliced transcript variants encoding distinct isoforms have been described.

Long Name

Scavenger Receptor Class A Member 3

Alternate Names

APC7, CSR, MSRL1

Gene Symbol

SCARA3

Additional SCARA3 Products

Product Documents for SCARA3 Antibody - BSA Free

Certificate of Analysis

To download a Certificate of Analysis, please enter a lot number in the search box below.

Product Specific Notices for SCARA3 Antibody - BSA Free

This product is for research use only and is not approved for use in humans or in clinical diagnosis. Primary Antibodies are guaranteed for 1 year from date of receipt.

Loading...
Loading...
Loading...
Loading...