Skip to main content

Scaffold attachment factor B2 Antibody

Novus Biologicals, part of Bio-Techne | Catalog # NB100-58791

Novus Biologicals, part of Bio-Techne
Catalog #
Availability
Size / Price
Qty
Loading...
NB100-58791

Key Product Details

Validated by

Independent Antibodies, Biological Validation

Species Reactivity

Human

Applications

Immunohistochemistry, Immunohistochemistry-Paraffin, Western Blot, Immunoprecipitation

Label

Unconjugated

Antibody Source

Polyclonal Rabbit IgG

Concentration

0.2 mg/ml

Product Specifications

Immunogen

The immunogen recognized by this antibody maps to a region between residue 175 and 225 of human scaffold attachment factor B2 using the numbering given in entry NP_055464.1 (GeneID 9667).

Clonality

Polyclonal

Host

Rabbit

Isotype

IgG

Scientific Data Images for Scaffold attachment factor B2 Antibody

Western Blot: Scaffold attachment factor B2 Antibody [NB100-58791]

Western Blot: Scaffold attachment factor B2 Antibody [NB100-58791]

Western Blot: Scaffold attachment factor B2 Antibody [NB100-58791] - Detection of Human SAFB2 on HeLa whole cell lysate using NB100-58791. SAFB2 was also immunoprecipitated by rabbit anti-SAFB2 antibodies NB100-58792 and another SAFB Ab.
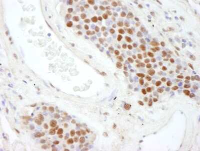
Immunohistochemistry: Scaffold attachment factor B2 Antibody [NB100-58791]

Immunohistochemistry: Scaffold attachment factor B2 Antibody [NB100-58791]

Immunohistochemistry: Scaffold attachment factor B2 Antibody [NB100-58791] - Sample: FFPE section of human small cell lung cancer. Antibody: Affinity purified rabbit anti- SAFB2 used at a dilution of 1:200 (1ug/ml). Detection: DAB
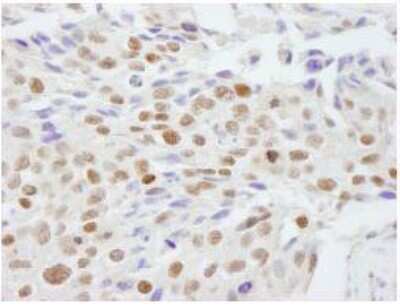
Immunohistochemistry-Paraffin: Scaffold attachment factor B2 Antibody [NB100-58791]

Immunohistochemistry-Paraffin: Scaffold attachment factor B2 Antibody [NB100-58791]

Immunohistochemistry-Paraffin: Scaffold attachment factor B2 Antibody [NB100-58791] - FFPE section of human breast carcinoma. Affinity purified rabbit anti-SAFB2 used at a dilution of 1:100.

Applications for Scaffold attachment factor B2 Antibody

Application
Recommended Usage

Immunohistochemistry

1:10-1:500

Immunohistochemistry-Paraffin

1:100-1:500

Immunoprecipitation

1:10-1:500

Western Blot

1:100-1:2000
Application Notes
Western Blot - 1:2,000 to 1:10,000. Immunoprecipitation - 2 to 5 mcg/mg lysate. Immunohisto-/cytochemistry - Not tested.

Formulation, Preparation, and Storage

Purification

Immunogen affinity purified

Formulation

TBS and 0.1% BSA

Preservative

0.09% Sodium Azide

Concentration

0.2 mg/ml

Shipping

The product is shipped with polar packs. Upon receipt, store it immediately at the temperature recommended below.

Stability & Storage

Store at 4C. Do not freeze.

Background: Scaffold attachment factor B2

Activity of the estrogen receptor (ER) is regulated through interaction with coactivators and corepressors. These proteins are present in large complexes, suggesting functional interactions among various cofactors. The scaffold attachment factor SAFB2, a component of high molecular weight nuclear protein complexes which contains a core set of protein interaction partners, functions as an estrogen receptor corepressor. It directly interacts with ER alpha repressing transcription via repression domains. Its overexpression results in inhibition of proliferation. SAFB2 is found in the cytoplasm, as well as the nucleus. Consistent with its cytoplasmic localization, there is also an interaction between SAFB2 and vinexin, a protein involved in linking signaling to the cytoskeleton.

Alternate Names

KIAA0138SAF-B2, scaffold attachment factor B2

Gene Symbol

SAFB2

Additional Scaffold attachment factor B2 Products

Product Documents for Scaffold attachment factor B2 Antibody

Certificate of Analysis

To download a Certificate of Analysis, please enter a lot number in the search box below.

Product Specific Notices for Scaffold attachment factor B2 Antibody

This product is for research use only and is not approved for use in humans or in clinical diagnosis. Primary Antibodies are guaranteed for 1 year from date of receipt.

Loading...
Loading...
Loading...
Loading...