SBSN Antibody (SBSN/7965)
Novus Biologicals, part of Bio-Techne | Catalog # NBP3-23838
Conjugate
Catalog #
Forumulation
Catalog #
Key Product Details
Species Reactivity
Human
Applications
Immunohistochemistry-Paraffin
Label
Unconjugated
Antibody Source
Monoclonal Mouse IgG1 kappa Clone # SBSN/7965
Concentration
0.2 mg/ml
Product Specifications
Immunogen
Recombinant fragment of human SBSN protein (exact sequence is proprietary)
Localization
Cytoplasm. Secreted.
Clonality
Monoclonal
Host
Mouse
Isotype
IgG1 kappa
Description
Store at 2 to 8C. Non-hazardous. No MSDS required.
Scientific Data Images for SBSN Antibody (SBSN/7965)
Immunohistochemistry-Paraffin: SBSN Antibody (SBSN/7965) [NBP3-23838] -
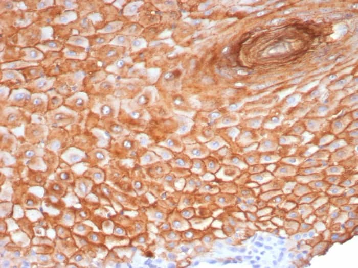
Immunohistochemistry-Paraffin: SBSN Antibody (SBSN/7965) [NBP3-23838] - Formalin-fixed, paraffin-embedded human esophagus stained with SBSN Antibody (SBSN/7965). HIER: Tris/EDTA, pH9.0, 45min. 2°C: HRP-polymer, 30min. DAB, 5min.Immunohistochemistry-Paraffin: SBSN Antibody (SBSN/7965) [NBP3-23838] -
Immunohistochemistry-Paraffin: SBSN Antibody (SBSN/7965) [NBP3-23838] - Formalin-fixed, paraffin-embedded human skin stained with SBSN Antibody (SBSN/7965). HIER: Tris/EDTA, pH9.0, 45min. 2°C: HRP-polymer, 30min. DAB, 5min.Applications for SBSN Antibody (SBSN/7965)
Application
Recommended Usage
Immunohistochemistry-Paraffin
1-2ug/ml
Application Notes
Immunohistochemistry-Paraffin: 1-2ug/ml for 30 minutes at RT. Staining of formalin-fixed tissues requires heating tissue sections in 10mM Tris with 1mM EDTA, pH 9.0, for 45 min at 95C followed by cooling at RT for 20 minutes. Optimal dilution for a specific application should be determined.
Formulation, Preparation, and Storage
Purification
Protein A or G purified
Formulation
10mM PBS with 0.05% BSA
Preservative
0.05% Sodium Azide
Concentration
0.2 mg/ml
Shipping
The product is shipped with polar packs. Upon receipt, store it immediately at the temperature recommended below.
Stability & Storage
Store at 4C.
Background: SBSN
Alternate Names
HLAR698, MGC75533, suprabasin, UNQ698
Gene Symbol
SBSN
Additional SBSN Products
Product Documents for SBSN Antibody (SBSN/7965)
Product Specific Notices for SBSN Antibody (SBSN/7965)
This product is for research use only and is not approved for use in humans or in clinical diagnosis. Primary Antibodies are guaranteed for 1 year from date of receipt.
Loading...
Loading...
Loading...
Loading...