Skip to main content

SAV1 Antibody - Azide and BSA Free

Novus Biologicals, part of Bio-Techne | Catalog # NBP3-15584

Novus Biologicals, part of Bio-Techne
Catalog #
Availability
Size / Price
Qty
Loading...
NBP3-15584-100ul
NBP3-15584-20ul

Key Product Details

Validated by

Knockout/Knockdown

Species Reactivity

Human, Mouse, Rat

Applications

Knockout Validated, Immunohistochemistry, Immunohistochemistry-Paraffin, Western Blot

Label

Unconjugated

Antibody Source

Polyclonal Rabbit IgG

Format

Azide and BSA Free

Concentration

Please see the vial label for concentration. If unlisted please contact technical services.

Product Specifications

Immunogen

Recombinant fusion protein containing a sequence corresponding to amino acids 199-383 of human SAV1 (NP_068590.1). LPLPPGWSVDWTMRGRKYYIDHNTNTTHWSHPLEREGLPPGWERVESSEFGTYYVDHTNKKAQYRHPCAPSVPRYDQPPPVTYQPQQTERNQSLLVPANPYHTAEIPDWLQVYARAPVKYDHILKWELFQLADLDTYQGMLKLLFMKELEQIVKMYEAYRQALLTELENRKQRQQWYAQQHGKNF

Clonality

Polyclonal

Host

Rabbit

Isotype

IgG

Description

Novus Biologicals Knockout (KO) Validated Rabbit SAV1 Antibody - Azide and BSA Free (NBP3-15584) is a polyclonal antibody validated for use in IHC and WB. All Novus Biologicals antibodies are covered by our 100% guarantee.

Scientific Data Images for SAV1 Antibody - Azide and BSA Free

SAV1 Antibody - Azide and BSA Free

Western Blot: SAV1 Antibody - Azide and BSA Free [SAV1] -

Western Blot: SAV1 Antibody - Azide and BSA Free [SAV1] - Western blot analysis of lysates from wild type (WT) and SAV1 knockout (KO) HeLa(KO) cells, using SAV1 Rabbit pAb at 1:1000 dilution.
Secondary antibody: HRP-conjugated Goat anti-Rabbit IgG (H+L) at 1:10000 dilution.
Lysates/proteins: 25ug per lane.
Blocking buffer: 3% nonfat dry milk in TBST.
Detection: ECL Basic Kit .
Exposure time: 50s.
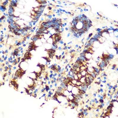
Immunohistochemistry-Paraffin: SAV1 Antibody - Azide and BSA Free [NBP3-15584]

Immunohistochemistry-Paraffin: SAV1 Antibody - Azide and BSA Free [NBP3-15584]

Immunohistochemistry-Paraffin: SAV1 Antibody [NBP3-15584] - Immunohistochemistry of paraffin-embedded Human colon using [KO Validated] SAV1 Rabbit pAb (NBP3-15584) at dilution of 1:100 (40x lens).Perform microwave antigen retrieval with 10 mM PBS buffer pH 7.2 before commencing with IHC staining protocol.
Immunohistochemistry-Paraffin: SAV1 Antibody - Azide and BSA Free [NBP3-15584]

Immunohistochemistry-Paraffin: SAV1 Antibody - Azide and BSA Free [NBP3-15584]

Immunohistochemistry-Paraffin: SAV1 Antibody [NBP3-15584] - Immunohistochemistry of paraffin-embedded Mouse kidney using [KO Validated] SAV1 Rabbit pAb (NBP3-15584) at dilution of 1:100 (40x lens).Perform microwave antigen retrieval with 10 mM PBS buffer pH 7.2 before commencing with IHC staining protocol.

Applications for SAV1 Antibody - Azide and BSA Free

Application
Recommended Usage

Immunohistochemistry

1:50 - 1:200

Western Blot

1:500 - 1:2000

Formulation, Preparation, and Storage

Purification

Affinity purified

Formulation

PBS (pH 7.3), 50% glycerol

Format

Azide and BSA Free

Preservative

0.02% Sodium Azide

Concentration

Please see the vial label for concentration. If unlisted please contact technical services.

Shipping

The product is shipped with polar packs. Upon receipt, store it immediately at the temperature recommended below.

Stability & Storage

Store at -20C. Avoid freeze-thaw cycles.

Background: SAV1

WW domain-containing proteins are found in all eukaryotes and play an important role in the regulation of a wide variety of cellular functions such as protein degradation, transcription, and RNA splicing. This gene encodes a protein which contains 2 WW domains and a coiled-coil region. It is ubiquitously expressed in adult tissues. The encoded protein is 94% identical to the mouse protein at the amino acid level.

Alternate Names

45 kDa WW domain protein, hWW45, protein salvador homolog 1, salvador homolog 1 (Drosophila), SAV, WW domain-containing, WW45salvador, WWP4,1700040G09Rik

Gene Symbol

SAV1

Additional SAV1 Products

Product Documents for SAV1 Antibody - Azide and BSA Free

Certificate of Analysis

To download a Certificate of Analysis, please enter a lot number in the search box below.

Product Specific Notices for SAV1 Antibody - Azide and BSA Free

This product is for research use only and is not approved for use in humans or in clinical diagnosis. Primary Antibodies are guaranteed for 1 year from date of receipt.

Loading...
Loading...
Loading...
Loading...

⚠ WARNING: This product can expose you to chemicals including Methotrexate, which is known to the State of California to cause reproductive toxicity with developmental effects. For more information, go to www.P65Warnings.ca.gov