SAT2 Antibody (OTI1C9)
Novus Biologicals, part of Bio-Techne | Catalog # NBP2-01998
Conjugate
Catalog #
Forumulation
Catalog #
Key Product Details
Species Reactivity
Human
Applications
Flow Cytometry, Immunocytochemistry/ Immunofluorescence, Immunohistochemistry, Immunohistochemistry-Paraffin, Western Blot
Label
Unconjugated
Antibody Source
Monoclonal Mouse IgG1 Clone # OTI1C9
Concentration
0.57 mg/ml
Product Specifications
Immunogen
Full length human recombinant protein of human SAT2(NP_597998) produced in HEK293T cell.
Clonality
Monoclonal
Host
Mouse
Isotype
IgG1
Theoretical MW
19 kDa.
Disclaimer note: The observed molecular weight of the protein may vary from the listed predicted molecular weight due to post translational modifications, post translation cleavages, relative charges, and other experimental factors.
Disclaimer note: The observed molecular weight of the protein may vary from the listed predicted molecular weight due to post translational modifications, post translation cleavages, relative charges, and other experimental factors.
Description
Novus Biologicals Mouse SAT2 Antibody (OTI1C9) (NBP2-01998) is a monoclonal antibody validated for use in IHC, WB, Flow and ICC/IF. All Novus Biologicals antibodies are covered by our 100% guarantee.
Scientific Data Images for SAT2 Antibody (OTI1C9)
Western Blot: SAT2 Antibody (OTI1C9) [NBP2-01998]
Western Blot: SAT2 Antibody (1C9) [NBP2-01998] - HEK293T cells were transfected with the pCMV6-ENTRY control (Left lane) or pCMV6-ENTRY SAT2 (Right lane) cDNA for 48 hrs and lysed. Equivalent amounts of cell lysates (5 ug per lane) were separated by SDS-PAGE and immunoblotted with anti-SAT2.
Immunocytochemistry/Immunofluorescence: SAT2 Antibody (1C9) [NBP2-01998] Staining of COS7 cells transiently transfected by pCMV6-ENTRY SAT2.
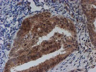
Immunohistochemistry-Paraffin: SAT2 Antibody (OTI1C9) [NBP2-01998]
Immunohistochemistry-Paraffin: SAT2 Antibody (1C9) [NBP2-01998] - Staining of paraffin-embedded Human pancreas tissue using anti-SAT2 mouse monoclonal antibody.Applications for SAT2 Antibody (OTI1C9)
Application
Recommended Usage
Flow Cytometry
1:100
Immunocytochemistry/ Immunofluorescence
1:100
Immunohistochemistry
1:150
Immunohistochemistry-Paraffin
1:150
Western Blot
1:2000
Formulation, Preparation, and Storage
Purification
Immunogen affinity purified
Formulation
PBS (pH 7.3), 1.0% BSA and 50% Glycerol
Preservative
0.02% Sodium Azide
Concentration
0.57 mg/ml
Shipping
The product is shipped with polar packs. Upon receipt, store it immediately at the temperature recommended below.
Stability & Storage
Store at -20C. Avoid freeze-thaw cycles.
Background: SAT2
Alternate Names
diamine N-acetyltransferase 2, EC 2.3.1.57, Polyamine N-acetyltransferase 2, S, Spermidine/spermine N(1)-acetyltransferase 2, spermidine/spermine N1-acetyltransferase 2, spermidine/spermine N1-acetyltransferase family member 2, SSAT2diamine acetyltransferase 2, Thialysine N-epsilon-acetyltransferase
Entrez Gene IDs
112483 (Human)
Gene Symbol
SAT2
Additional SAT2 Products
Product Documents for SAT2 Antibody (OTI1C9)
Product Specific Notices for SAT2 Antibody (OTI1C9)
This product is for research use only and is not approved for use in humans or in clinical diagnosis. Primary Antibodies are guaranteed for 1 year from date of receipt.
Loading...
Loading...
Loading...
Loading...
Loading...