Skip to main content

SASS6 Antibody - BSA Free

Novus Biologicals, part of Bio-Techne | Catalog # NBP3-45444

Novus Biologicals, part of Bio-Techne
Catalog #
Availability
Size / Price
Qty
Loading...
NBP3-45444

Key Product Details

Species Reactivity

Human

Applications

Immunohistochemistry, Western Blot, ELISA, Immunoprecipitation

Label

Unconjugated

Antibody Source

Polyclonal Rabbit IgG

Format

BSA Free

Concentration

Please see the vial label for concentration. If unlisted please contact technical services.

Product Specifications

Immunogen

spindle assembly 6 homolog. (Uniprot# Q6UVJ0)

Clonality

Polyclonal

Host

Rabbit

Isotype

IgG

Theoretical MW

74 kDa.
Disclaimer note: The observed molecular weight of the protein may vary from the listed predicted molecular weight due to post translational modifications, post translation cleavages, relative charges, and other experimental factors.

Description

Novus Biologicals Rabbit SASS6 Antibody - BSA Free (NBP3-45444) is a polyclonal antibody validated for use in IHC, WB, ELISA and IP. All Novus Biologicals antibodies are covered by our 100% guarantee.

Scientific Data Images for SASS6 Antibody - BSA Free

SASS6 Antibody - BSA Free

Immunoprecipitation: SASS6 Antibody - BSA Free [NBP3-45444] -

Immunoprecipitation: SASS6 Antibody - BSA Free [NBP3-45444] - IP Result of anti-SASS6 (IP: , 4ug; Detection: 1:1000) with HeLa cells lysate 800ug.
SASS6 Antibody - BSA Free

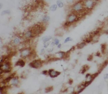
Immunohistochemistry: SASS6 Antibody - BSA Free [NBP3-45444] -

Immunohistochemistry: SASS6 Antibody - BSA Free [NBP3-45444] - Immunohistochemistry of paraffin-embedded human kidney slide using (SASS6 Antibody) at dilution of 1:50
SASS6 Antibody - BSA Free

Western Blot: SASS6 Antibody - BSA Free [NBP3-45444] -

Western Blot: SASS6 Antibody - BSA Free [NBP3-45444] - HeLa cells were subjected to SDS PAGE followed by western blot with (SASS6 antibody) at dilution of 1:1000

Applications for SASS6 Antibody - BSA Free

Application
Recommended Usage

Immunohistochemistry

1:20-1:200

Immunoprecipitation

1:500-1:2000

Western Blot

1:500-1:2000

Formulation, Preparation, and Storage

Purification

Immunogen affinity purified

Formulation

PBS, 50% Glycerol, pH (7.3)

Format

BSA Free

Preservative

0.02% Sodium Azide

Concentration

Please see the vial label for concentration. If unlisted please contact technical services.

Shipping

The product is shipped with polar packs. Upon receipt, store it immediately at the temperature recommended below.

Stability & Storage

Store at -20C. Avoid freeze-thaw cycles.

Background: SASS6

SAS6 is necessary for centrosome duplication and functions during procentriole formation; SAS6 functions to ensure that each centriole seeds the formation of a single procentriole per cell cycle Strnad et al., (2007) [PubMed 17681132].[supplied by OMIM]

Alternate Names

DKFZp761A078, FLJ22097, HsSAS-6, MGC119440, SAS-6, SAS6hsSAS-6, spindle assembly 6 homolog (C. elegans), spindle assembly abnormal protein 6 homolog

Gene Symbol

SASS6

Additional SASS6 Products

Product Documents for SASS6 Antibody - BSA Free

Certificate of Analysis

To download a Certificate of Analysis, please enter a lot number in the search box below.

Product Specific Notices for SASS6 Antibody - BSA Free

This product is for research use only and is not approved for use in humans or in clinical diagnosis. Primary Antibodies are guaranteed for 1 year from date of receipt.

Loading...
Loading...
Loading...
Loading...