Skip to main content

Key Product Details

Species Reactivity

SARS-CoV-2

Applications

Immunohistochemistry, Immunocytochemistry

Label

Unconjugated

Antibody Source

Monoclonal Mouse IgG2B Clone # 1041508

Product Specifications

Immunogen

E. coli-derived SARS-CoV-2 membrane (M) protein with a C-terminal His tag
Arg101-Gln222
Accession # YP_0097243693

Specificity

Detects SARS-CoV-2 membrane (M) protein in direct ELISAs.

Clonality

Monoclonal

Host

Mouse

Isotype

IgG2B

Scientific Data Images for SARS-CoV-2 Membrane Antibody

SARS-CoV-2 Membrane Protein in HEK293 Human Cell Line Transfected with SARS-CoV-2.

SARS-CoV-2 Membrane Protein was detected in immersion fixed HEK293 human embryonic kidney cell line transfected with SARS-CoV-2 (positive staining) and HEK293 human embryonic kidney cell line (non-transfected, negative staining) using Mouse Anti-SARS-CoV-2 Membrane Monoclonal Antibody (Catalog # MAB10690) at 8 µg/mL for 3 hours at room temperature. Cells were stained using the NorthernLights™ 557-conjugated Anti-Mouse IgG Secondary Antibody (red; NL007) and counterstained with DAPI (blue). Specific staining was localized to cytoplasm. Staining was performed using our protocol for Fluorescent ICC Staining of Non-adherent Cells.

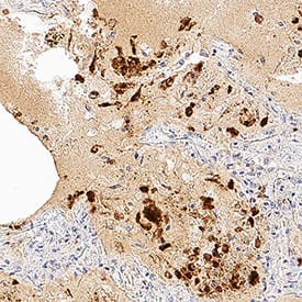
SARS-CoV-2 Membrane Protein in SARS-CoV-2 infected human lung.

SARS-CoV-2 Membrane Protein was detected in immersion fixed paraffin-embedded sections of SARS-CoV-2 infected human lung using Mouse Anti-SARS-CoV-2 Membrane Monoclonal Antibody (Catalog # MAB10690) at 3 µg/mL for 1 hour at room temperature followed by incubation with the Anti-Mouse IgG VisUCyte™ HRP Polymer Antibody (VC001). Before incubation with the primary antibody, tissue was subjected to heat-induced epitope retrieval using Antigen Retrieval Reagent-Basic (CTS013). Tissue was stained using DAB (brown) and counterstained with hematoxylin (blue). Specific staining was localized to immunoreactive profiles scattered throughout the tissue. Staining was performed using our protocol for IHC Staining with VisUCyte HRP Polymer Detection Reagents.

Applications for SARS-CoV-2 Membrane Antibody

Application
Recommended Usage

Immunocytochemistry

8-25 µg/mL
Sample: Immersion fixed HEK293 human embryonic kidney cell line transfected with SARS-CoV-2

Immunohistochemistry

3-25 µg/mL
Sample: Immersion fixed paraffin-embedded sections of SARS-CoV-2 infected human lung

Formulation, Preparation, and Storage

Purification

Protein A or G purified from hybridoma culture supernatant

Reconstitution

Reconstitute at 0.5 mg/mL in sterile PBS. For liquid material, refer to CoA for concentration.

Reconstitution Buffer Available:
Size / Price
Qty
Loading...

Formulation

Lyophilized from a 0.2 μm filtered solution in PBS with Trehalose. *Small pack size (SP) is supplied either lyophilized or as a 0.2 µm filtered solution in PBS.

Shipping

Lyophilized product is shipped at ambient temperature. Liquid small pack size (-SP) is shipped with polar packs. Upon receipt, store immediately at the temperature recommended below.

Stability & Storage

Use a manual defrost freezer and avoid repeated freeze-thaw cycles.
  • 12 months from date of receipt, -20 to -70 °C as supplied.
  • 1 month, 2 to 8 °C under sterile conditions after reconstitution.
  • 6 months, -20 to -70 °C under sterile conditions after reconstitution.

Background: Membrane

SARS-CoV-2, which causes the global pandemic coronavirus disease 2019 (Covid-19), belongs to a family of viruses known as coronaviruses that are commonly comprised of four structural proteins: Spike protein(S), Envelope protein (E), Membrane protein (M), and Nucleocapsid protein (N) (1). M protein is the most abundant structural protein in the coronavirus membrane, and it is predicted to span the membrane three times, with a short N-terminal domain outside the viral envelope and a long C-terminal domain inside the virion (2). SARS-CoV-2 M protein is a 222 amino acid (aa) glycoprotein that is composed of an 18 aa N-terminal domain on the viral surface, 3 transmembrane domains, and a 122 aa C-terminal domain inside the viral envelope. SARS-CoV-2 M protein shares 89.14%, 98.6%, 98.2%, and 38.36% aa similarity with SARS-CoV-1, bat SARS-CoV, pangolin SARS-CoV, and MERS-CoV M proteins, respectively (3). The M protein of coronavirus plays an important role in assembly of viral particles by interacting with other structural proteins, especially with the E protein (4, 5). In SARS-CoV-2, M protein, combined with E protein, regulates intracellular trafficking of the S Protein and its unique furin-mediated processing (6).

References

  1. Wu, F. et al. (2020) Nature 579:265.
  2. Mousavizadeh, L. and S. Ghasemi (2020) J. Microbiol. Immunol. Infect. doi:10.1016/j.jmii.2020.03.022.
  3. Thomas, S. (2020) Pathog. Immun. 5:342.
  4. Masters, P.S. (2006) Adv. Virus. Res. 66:193.
  5. Corse, E. and C.E. Machamer (2003) Virology 312:25.
  6. Boson, B. et al. (2020) bioRxiv doi:10.1101/2020.08.24.260901.

Long Name

Membrane Glycoprotein

Alternate Names

M protein

Entrez Gene IDs

43740571 (SARS-CoV-2)

Gene Symbol

M

UniProt

Additional Membrane Products

Product Documents for SARS-CoV-2 Membrane Antibody

Certificate of Analysis

To download a Certificate of Analysis, please enter a lot number in the search box below.

Note: Certificate of Analysis not available for kit components.

Product Specific Notices for SARS-CoV-2 Membrane Antibody

For research use only

Loading...
Loading...
Loading...
Loading...