Skip to main content

SARM1 Antibody (HL1070) - Azide and BSA Free

Novus Biologicals, part of Bio-Techne | Catalog # NBP3-13710

Recombinant Monoclonal Antibody
Novus Biologicals, part of Bio-Techne
Catalog #
Availability
Size / Price
Qty
Loading...
NBP3-13710

Key Product Details

Species Reactivity

Human, Mouse, Rat

Applications

Western Blot, Immunocytochemistry/ Immunofluorescence

Label

Unconjugated

Antibody Source

Recombinant Monoclonal Rabbit IgG Clone # HL1070 expressed in HEK293

Format

Azide and BSA Free

Concentration

Concentrations vary lot to lot. See vial label for concentration. If unlisted please contact technical services.

Product Specifications

Immunogen

Recombinant protein encompassing a sequence within the center region of human SARM1. The exact sequence is proprietary.

Clonality

Monoclonal

Host

Rabbit

Isotype

IgG

Theoretical MW

79 kDa.
Disclaimer note: The observed molecular weight of the protein may vary from the listed predicted molecular weight due to post translational modifications, post translation cleavages, relative charges, and other experimental factors.

Description

Centrifuge briefly prior to opening.

Scientific Data Images for SARM1 Antibody (HL1070) - Azide and BSA Free

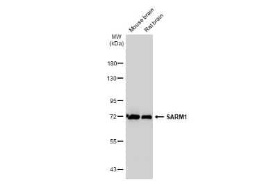
Western Blot: SARM1 Antibody (HL1070) [NBP3-13710]

Western Blot: SARM1 Antibody (HL1070) [NBP3-13710]

Western Blot: SARM1 Antibody (HL1070) [NBP3-13710] - Various tissue extracts (50 ug) were separated by 7.5% SDS-PAGE, and the membrane was blotted with SARM1 antibody [HL1070] (NBP3-13710) diluted at 1:1000. The HRP-conjugated anti-rabbit IgG antibody (NBP2-19301) was used to detect the primary antibody.
SARM1 Antibody (HL1070) - Azide and BSA Free

Immunocytochemistry/ Immunofluorescence: SARM1 Antibody (HL1070) [NBP3-13710] -

SARM1 antibody [HL1070] detects SARM1 protein by immunofluorescent analysis.
Sample: SH-SY-5Y cells were fixed in 4% paraformaldehyde at RT for 15 min.
Green: SARM1 stained by SARM1 antibody [HL1070] (NBP3-13710) diluted at 1:500.
Red: alpha Tubulin, a cytoskeleton marker, stained by alpha Tubulin antibody [GT114] diluted at 1:1000.
Blue: Fluoroshield with DAPI .
SARM1 Antibody (HL1070) - Azide and BSA Free

Western Blot: SARM1 Antibody (HL1070) [NBP3-13710] -

Various whole cell extracts (30 ug) were separated by 7.5% SDS-PAGE, and the membrane was blotted with SARM1 antibody [HL1070] (NBP3-13710) diluted at 1:1000. The HRP-conjugated anti-rabbit IgG antibody was used to detect the primary antibody. Corresponding RNA expression data for the same cell lines are based on Human Protein Atlas program.

Applications for SARM1 Antibody (HL1070) - Azide and BSA Free

Application
Recommended Usage

Immunocytochemistry/ Immunofluorescence

Assay dependent

Western Blot

1:500-1:3000

Formulation, Preparation, and Storage

Purification

Protein A purified

Formulation

PBS

Format

Azide and BSA Free

Preservative

No Preservative

Concentration

Concentrations vary lot to lot. See vial label for concentration. If unlisted please contact technical services.

Shipping

The product is shipped with polar packs. Upon receipt, store it immediately at the temperature recommended below.

Stability & Storage

Store at 4C short term. Aliquot and store at -20C long term. Avoid freeze-thaw cycles.

Background: SARM1

Toll-like receptors (TLRs) play an essential role in the detection and elimination of invading microbes. They are type-1 transmembrane receptors, containing extracellular leucine rich repeats and an intracellular Toll/interleukin-1 receptor (TIR) domain. Upon stimulation, these receptors interact with specific TIR domain-containing adaptor proteins. Five such adaptors have been discovered to date, MyD88, Mal (MyD88 adaptor-like)/TIRAP (TIR domain-containing adaptor protein), Trif (TIR-domain-containing adaptor inducing interferon-beta), TRAM (Trif-related adaptor molecule) and SARM (SAM and ARM-containing protein). Different TLRs use different combinations of these adaptors, leading to the activation of common and unique pathways involved in the elimination of the invading microbe.

Long Name

Sterile alpha and TIR Motif Containing 1

Alternate Names

SAMD2

Gene Symbol

SARM1

Additional SARM1 Products

Product Documents for SARM1 Antibody (HL1070) - Azide and BSA Free

Certificate of Analysis

To download a Certificate of Analysis, please enter a lot number in the search box below.

Product Specific Notices for SARM1 Antibody (HL1070) - Azide and BSA Free

This product is for research use only and is not approved for use in humans or in clinical diagnosis. Primary Antibodies are guaranteed for 1 year from date of receipt.

Loading...
Loading...
Loading...
Loading...