Skip to main content

SAMM50 Antibody - BSA Free

Novus Biologicals, part of Bio-Techne | Catalog # NBP3-06283

Novus Biologicals, part of Bio-Techne

Key Product Details

Species Reactivity

Human

Applications

Immunohistochemistry, Immunohistochemistry-Paraffin, Western Blot, Immunoprecipitation

Label

Unconjugated

Antibody Source

Polyclonal Rabbit IgG

Format

BSA Free

Concentration

Please see the vial label for concentration. If unlisted please contact technical services.

Product Specifications

Immunogen

Produced in rabbits immunized with E. coli-derived Human SAMM50 fragment.

Clonality

Polyclonal

Host

Rabbit

Isotype

IgG

Description

This antibody can be stored at 2C-8C for one month without detectable loss of activity. Antibody products are stable for twelve months from date of receipt when stored at -20C to -80C. Avoid repeated freeze-thaw cycles.

Scientific Data Images for SAMM50 Antibody - BSA Free

Western Blot: SAMM50 Antibody [NBP3-06283]

Western Blot: SAMM50 Antibody [NBP3-06283]

Western Blot: SAMM50 Antibody [NBP3-06283] - Anti-SAMM50 rabbit polyclonal antibody at 1:500 dilutionLane A: A431 Whole Cell LysateLane B: HeLa Whole Cell LysateLane C: HepG2 Whole Cell LysateLysates/proteins at 30 ug per lane.SecondaryGoat Anti-Rabbit IgG (H+L) HRP at 110000 dilution.Developed using the ECL technique.Performed under reducing conditions.Predicted band size:52 kDaObserved band size:55 kDa(We are unsure as to the identity of these extra bands.)
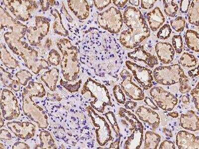
Immunohistochemistry-Paraffin: SAMM50 Antibody [NBP3-06283]

Immunohistochemistry-Paraffin: SAMM50 Antibody [NBP3-06283]

Immunohistochemistry-Paraffin: SAMM50 Antibody [NBP3-06283] - Immunochemical staining of human SAMM50 in human kidney with rabbit polyclonal antibody at 1:100 dilution, formalin-fixed paraffin embedded sections.
Immunoprecipitation: SAMM50 Antibody [NBP3-06283]

Immunoprecipitation: SAMM50 Antibody [NBP3-06283]

Immunoprecipitation: SAMM50 Antibody [NBP3-06283] - SAMM50 was immunoprecipitated using:Lane A:0.5 mg HepG2 Whole Cell Lysate4 uL anti-SAMM50 rabbit polyclonal antibody and 60 ug of Immunomagnetic beads Protein AG. Primary antibody:Anti-SAMM50 rabbit polyclonal antibody, at 1:100 dilution Secondary antibody:Clean-Blot IP Detection Reagent (HRP) at 1:1000dilutionDeveloped using the ECL technique.Performed under reducing conditions.Predicted band size: 50 kDaObserved band size :55 kDa

Applications for SAMM50 Antibody - BSA Free

Application
Recommended Usage

Immunohistochemistry-Paraffin

1:50-1:200

Immunoprecipitation

1-5uL/mg of lysate

Western Blot

1:500-1:2000

Formulation, Preparation, and Storage

Purification

Antigen and protein A Affinity-purified

Formulation

PBS

Format

BSA Free

Preservative

0.03% Proclin 300

Concentration

Please see the vial label for concentration. If unlisted please contact technical services.

Shipping

The product is shipped with polar packs. Upon receipt, store it immediately at the temperature recommended below.

Stability & Storage

Store at 4C short term. Aliquot and store at -20C long term. Avoid freeze-thaw cycles.

Background: SAMM50

SAMM50 is a component of the sorting and assembly machinery (SAM) complex of the outer mitochondrial membrane. The SAMcomplex has a role in integrating beta-barrel proteins into the outer mitochondrial membrane (Humphries et al., 2005(PubMed 15644312)).(supplied by OMIM)

Alternate Names

CGI-51, FLJ42905, FLJ99036, OMP85, SAM50, sorting and assembly machinery 50kDa, sorting and assembly machinery component 50 homolog, sorting and assembly machinery component 50 homolog (S. cerevisiae), TOB55, Transformation-related gene 3 protein, transformation-related protein 3, TRG-3FLJ35825, YNL026W

Gene Symbol

SAMM50

Additional SAMM50 Products

Product Documents for SAMM50 Antibody - BSA Free

Certificate of Analysis

To download a Certificate of Analysis, please enter a lot number in the search box below.

Product Specific Notices for SAMM50 Antibody - BSA Free

This product is for research use only and is not approved for use in humans or in clinical diagnosis. Primary Antibodies are guaranteed for 1 year from date of receipt.

Loading...
Loading...
Loading...
Loading...