Skip to main content

SAMHD1 Antibody

Novus Biologicals, part of Bio-Techne | Catalog # NBP2-27097

Novus Biologicals, part of Bio-Techne
Catalog #
Availability
Size / Price
Qty
Loading...
NBP2-27097
NBP2-27097SS

Key Product Details

Species Reactivity

Validated:

Human, Primate

Predicted:

Canine (93%), Chimpanzee (100%), Equine (93%), Orangutan (100%), Rhesus Macaque (93%). Backed by our 100% Guarantee.

Applications

Immunohistochemistry, Immunohistochemistry-Paraffin, Western Blot

Label

Unconjugated

Antibody Source

Polyclonal Rabbit IgG

Concentration

0.5 mg/ml

Product Specifications

Immunogen

A portion of amino acids 1-50 from human SAMHD1 was used as the immunogen for this antibody.

Reactivity Notes

The amino acid sequence used as immunogen for this antibody is 100% homologous in White-cheeked Gibbon, and 86% in Guinea pig, New World Monkey, Chinese Hamster, and common Rabbit.

Clonality

Polyclonal

Host

Rabbit

Isotype

IgG

Description

Novus Biologicals Rabbit SAMHD1 Antibody (NBP2-27097) is a polyclonal antibody validated for use in IHC and WB. All Novus Biologicals antibodies are covered by our 100% guarantee.

Scientific Data Images for SAMHD1 Antibody

Western Blot: SAMHD1 Antibody [NBP2-27097]

Western Blot: SAMHD1 Antibody [NBP2-27097]

Western Blot: SAMHD1 Antibody [NBP2-27097] - Western blot analysis of SAMHD1 using SAMHD1 antibody. Human heart tissue lysate in the 1) pre immune sera and 2) absence of immunizing peptide and 3) spleen lysate probed with 2 ug/ml of SAMHD1 antibody.
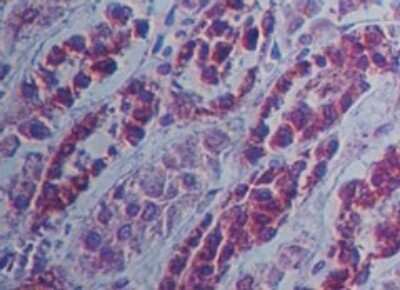
Immunohistochemistry-Paraffin: SAMHD1 Antibody [NBP2-27097]

Immunohistochemistry-Paraffin: SAMHD1 Antibody [NBP2-27097]

Immunohistochemistry-Paraffin: SAMHD1 Antibody [NBP2-27097] - Staining of SAMHD1 in human kidney tissue using SAMHD1 antibody at 5 ug/ml.

Applications for SAMHD1 Antibody

Application
Recommended Usage

Immunohistochemistry-Paraffin

5ug/ml

Western Blot

2-4ug/ml

Formulation, Preparation, and Storage

Purification

Protein A purified

Formulation

PBS and 0.05% BSA

Preservative

0.05% Sodium Azide

Concentration

0.5 mg/ml

Shipping

The product is shipped with polar packs. Upon receipt, store it immediately at the temperature recommended below.

Stability & Storage

Store at 4C short term. Aliquot and store at -20C long term. Avoid freeze-thaw cycles.

Background: SAMHD1

SAMHD1 is a 72kDa protein and putative inhibitor of HIV1 replication in myeloid cells. SAMHD1 appears to be degraded from Vpx proteins from HIV2 or SIV which converts HIV1 infection refractive cells such as dendritic cells or monocytes into HIV1 permissive cells (1-3). SIVsm and HIV2 encoded Vpx override SAMHD1 inhibition of viral replication which ordinarily induces the innate antiviral immunity serving to confine viral infection in natural hosts. SAMHD1 was initially cloned from human DCs as an interferon (IFN)inducible gene again reflecting it as another potential innate immune molecule with anti-viral activities though control of IFN responses (4). SAMHD1 appears to exert HIV1 inhibitory effects early in the post entry process during reverse transcription (1). Proteosomal degradation of SAMHD1 perhaps through elimination of normal interaction with CUL4-DDB1 VPRBP binding complex is proposed as a mechanism for converting from non-permissive to permissive HIV1 in myeloid cells (1). SAMHD1 specific antibody provides an opportunity to examine its expression in Lentivirus vector transfection systems or retrovirus infected cells as well as control of viral replication in artificial or natural retroviral infections.

Long Name

SAM Domain and HD Domain 1

Alternate Names

AGS5, CHBL2, DCIP, HDDC1, MOP-5, SBBI88

Gene Symbol

SAMHD1

Additional SAMHD1 Products

Product Documents for SAMHD1 Antibody

Certificate of Analysis

To download a Certificate of Analysis, please enter a lot number in the search box below.

Product Specific Notices for SAMHD1 Antibody

This product is for research use only and is not approved for use in humans or in clinical diagnosis. Primary Antibodies are guaranteed for 1 year from date of receipt.

Loading...
Loading...
Loading...
Loading...