Skip to main content

SAMHD1 Antibody - BSA Free

Novus Biologicals, part of Bio-Techne | Catalog # NBP2-12776

Novus Biologicals, part of Bio-Techne

Key Product Details

Validated by

Independent Antibodies

Species Reactivity

Human

Applications

Immunohistochemistry, Immunohistochemistry-Paraffin, Western Blot, Immunoprecipitation

Label

Unconjugated

Antibody Source

Polyclonal Rabbit IgG

Format

BSA Free

Concentration

1.0 mg/ml

Product Specifications

Immunogen

The immunogen this antibody was made to, maps to a region between residue 576 and 626 of human SAM Domain and HD Domain 1 using the numbering given in entry NP_056289.2 (GeneID 25939).

Clonality

Polyclonal

Host

Rabbit

Isotype

IgG

Description

Novus Biologicals Rabbit SAMHD1 Antibody - BSA Free (NBP2-12776) is a polyclonal antibody validated for use in IHC, WB and IP. All Novus Biologicals antibodies are covered by our 100% guarantee.

Scientific Data Images for SAMHD1 Antibody - BSA Free

Western Blot: SAMHD1 Antibody [NBP2-12776]

Western Blot: SAMHD1 Antibody [NBP2-12776]

Western Blot: SAMHD1 Antibody [NBP2-12776] - Detection of human SAMHD1 by western blot. Samples: Whole cell lysate from HeLa (15 and 50 ug), HEK293T (T; 50 ug), and Jurkat (J; 50 ug) cells. Antibody: Affinity purified rabbit anti-SAMHD1 antibody NBP2-12776 used at 0.1 ug/ml. Detection: Chemiluminescence with an exposure time of 3 minutes.
Immunohistochemistry-Paraffin: SAMHD1 Antibody [NBP2-12776]

Immunohistochemistry-Paraffin: SAMHD1 Antibody [NBP2-12776]

Immunohistochemistry-Paraffin: SAMHD1 Antibody [NBP2-12776] - Sample: FFPE section of human ovarian carcinoma. Antibody: Affinity purified rabbit anti- SAMHD1 used at a dilution of 1:1,000 (1ug/ml). Detection: DAB. Counterstain: Hematoxylin (blue).
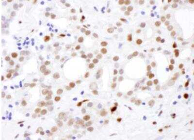
Immunohistochemistry-Paraffin: SAMHD1 Antibody [NBP2-12776]

Immunohistochemistry-Paraffin: SAMHD1 Antibody [NBP2-12776]

Immunohistochemistry-Paraffin: SAMHD1 Antibody [NBP2-12776] - FFPE section of human prostate carcinoma. Antibody: Affinity purified rabbit anti- SAMHD1 used at a dilution of 1:1,000 (1ug/ml). Detection: DAB. Counterstain: Hematoxylin (blue).

Applications for SAMHD1 Antibody - BSA Free

Application
Recommended Usage

Immunohistochemistry

1:500 - 1:5000

Immunohistochemistry-Paraffin

1:500 - 1:5000

Immunoprecipitation

2-10 ug/mg lysate

Western Blot

1:2000-1:10000
Application Notes
Epitope retrieval with citrate buffer pH6.0 is recommended for FFPE tissue sections.

Formulation, Preparation, and Storage

Purification

Immunogen affinity purified

Formulation

Tris-Citrate/Phosphate (pH 7.0 - 8.0)

Format

BSA Free

Preservative

0.09% Sodium Azide

Concentration

1.0 mg/ml

Shipping

The product is shipped with polar packs. Upon receipt, store it immediately at the temperature recommended below.

Stability & Storage

Store at 4C. Do not freeze.

Background: SAMHD1

Putative nuclease involved in innate immune response by acting as a negative regulator of the cell-intrinsic antiviral response. May play a role in mediating proinflammatory responses to TNF-alpha signaling

Long Name

SAM Domain and HD Domain 1

Alternate Names

AGS5, CHBL2, DCIP, HDDC1, MOP-5, SBBI88

Gene Symbol

SAMHD1

Additional SAMHD1 Products

Product Documents for SAMHD1 Antibody - BSA Free

Certificate of Analysis

To download a Certificate of Analysis, please enter a lot number in the search box below.

Product Specific Notices for SAMHD1 Antibody - BSA Free

This product is for research use only and is not approved for use in humans or in clinical diagnosis. Primary Antibodies are guaranteed for 1 year from date of receipt.

Loading...
Loading...
Loading...
Loading...