SAMD4A Antibody - BSA Free
Novus Biologicals, part of Bio-Techne | Catalog # NBP3-45451
Key Product Details
Species Reactivity
Human, Mouse, Rat
Applications
Immunohistochemistry, Western Blot, ELISA, Immunoprecipitation
Label
Unconjugated
Antibody Source
Polyclonal Rabbit IgG
Format
BSA Free
Concentration
Please see the vial label for concentration. If unlisted please contact technical services.
Product Specifications
Immunogen
sterile alpha motif domain containing 4A. (Uniprot# Q9UPU9)
Clonality
Polyclonal
Host
Rabbit
Isotype
IgG
Theoretical MW
70 kDa.
Disclaimer note: The observed molecular weight of the protein may vary from the listed predicted molecular weight due to post translational modifications, post translation cleavages, relative charges, and other experimental factors.
Disclaimer note: The observed molecular weight of the protein may vary from the listed predicted molecular weight due to post translational modifications, post translation cleavages, relative charges, and other experimental factors.
Description
Novus Biologicals Rabbit SAMD4A Antibody - BSA Free (NBP3-45451) is a polyclonal antibody validated for use in IHC, WB, ELISA and IP. All Novus Biologicals antibodies are covered by our 100% guarantee.
Scientific Data Images for SAMD4A Antibody - BSA Free
Western Blot: SAMD4A Antibody - BSA Free [NBP3-45451] -
Western Blot: SAMD4A Antibody - BSA Free [NBP3-45451] - Mouse skeletal muscle tissue were subjected to SDS PAGE followed by western blot with (SAMD4A antibody) at dilution of 1:500Immunohistochemistry: SAMD4A Antibody - BSA Free [NBP3-45451] -
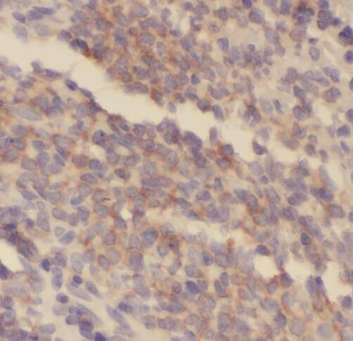
Immunohistochemistry: SAMD4A Antibody - BSA Free [NBP3-45451] - Immunohistochemistry of paraffin-embedded human spleen using (SAMD4A antibody) at dilution of 1:100Immunoprecipitation: SAMD4A Antibody - BSA Free [NBP3-45451] -
Immunoprecipitation: SAMD4A Antibody - BSA Free [NBP3-45451] - IP Result of anti-SAMD4A (IP:, 4ug; Detection: 1:500) with mouse skeletal muscle tissue lysate 2200ug.Applications for SAMD4A Antibody - BSA Free
Application
Recommended Usage
Immunohistochemistry
1:20-1:200
Immunoprecipitation
1:200-1:1000
Western Blot
1:500-1:2000
Formulation, Preparation, and Storage
Purification
Immunogen affinity purified
Formulation
PBS, 50% Glycerol, pH (7.3)
Format
BSA Free
Preservative
0.02% Sodium Azide
Concentration
Please see the vial label for concentration. If unlisted please contact technical services.
Shipping
The product is shipped with polar packs. Upon receipt, store it immediately at the temperature recommended below.
Stability & Storage
Store at -20C. Avoid freeze-thaw cycles.
Background: SAMD4A
Alternate Names
DKFZp434H0350, DKFZp686A1532, hSmaug1DKFZP434H0350, KIAA1053SMAUG1, protein Smaug homolog 1, SAM domain-containing protein 4A, SAMD4, Smaug, Smaug 1, smaug homolog, Smaug1, SMG, SMGA, sterile alpha motif domain containing 4, sterile alpha motif domain containing 4A, Sterile alpha motif domain-containing protein 4A
Gene Symbol
SAMD4A
Additional SAMD4A Products
Product Documents for SAMD4A Antibody - BSA Free
Product Specific Notices for SAMD4A Antibody - BSA Free
This product is for research use only and is not approved for use in humans or in clinical diagnosis. Primary Antibodies are guaranteed for 1 year from date of receipt.
Loading...
Loading...
Loading...
Loading...