Skip to main content

SALM3/LRFN4 Antibody - BSA Free

Novus Biologicals, part of Bio-Techne | Catalog # NBP2-41100

Novus Biologicals, part of Bio-Techne

Key Product Details

Species Reactivity

Human, Mouse, Rat

Applications

Immunohistochemistry, Immunohistochemistry-Paraffin, Western Blot, ELISA, Immunocytochemistry/ Immunofluorescence

Label

Unconjugated

Antibody Source

Polyclonal Rabbit IgG

Format

BSA Free

Concentration

1 mg/ml

Product Specifications

Immunogen

Antibody was raised against a 14amino acid synthetic peptide near the carboxy terminus of human LRFN4. The immunogen is located within amino acids 550 - 600 of LRFN4. Amino Acid Squence: SPTPKAHPPRSPPPRPQR

Specificity

This antibody is predicted to not cross-react with other members of the LRFN family.

Clonality

Polyclonal

Host

Rabbit

Isotype

IgG

Description

Novus Biologicals Rabbit SALM3/LRFN4 Antibody - BSA Free (NBP2-41100) is a polyclonal antibody validated for use in IHC, WB, ELISA and ICC/IF. All Novus Biologicals antibodies are covered by our 100% guarantee.

Scientific Data Images for SALM3/LRFN4 Antibody - BSA Free

Western Blot: SALM3/LRFN4 AntibodyBSA Free [NBP2-41100]

Western Blot: SALM3/LRFN4 AntibodyBSA Free [NBP2-41100]

Western Blot: SALM3/LRFN4 Antibody [NBP2-41100] - Western blot analysis of LRFN4 in rat brain lysate with LRFN4 antibody at 1 ug/mL.
Immunocytochemistry/ Immunofluorescence: SALM3/LRFN4 Antibody - BSA Free [NBP2-41100]

Immunocytochemistry/ Immunofluorescence: SALM3/LRFN4 Antibody - BSA Free [NBP2-41100]

Immunocytochemistry/Immunofluorescence: SALM3/LRFN4 Antibody [NBP2-41100] - Immunofluorescence of LRFN4 in mouse brain tissue with LRFN4 antibody at 20 ug/mL.
SALM3/LRFN4 Antibody - BSA Free

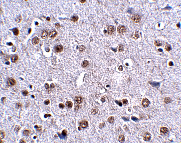
Immunohistochemistry: SALM3/LRFN4 Antibody - BSA Free [NBP2-41100] -

Immunohistochemistry: SALM3/LRFN4 Antibody - BSA Free [NBP2-41100] - Immunohistochemistry of SALM3/LRFN4 in mouse brain tissue with SALM3/LRFN4 antibody at 2.5 ug/mL.

Applications for SALM3/LRFN4 Antibody - BSA Free

Application
Recommended Usage

Immunocytochemistry/ Immunofluorescence

20 ug/ml

Immunohistochemistry

2.5 ug/ml

Immunohistochemistry-Paraffin

2.5 ug/ml

Western Blot

1 ug/ml

Formulation, Preparation, and Storage

Purification

Peptide affinity purified

Formulation

PBS

Format

BSA Free

Preservative

0.02% Sodium Azide

Concentration

1 mg/ml

Shipping

The product is shipped with polar packs. Upon receipt, store it immediately at the temperature recommended below.

Stability & Storage

Store at 4C short term. Aliquot and store at -20C long term. Avoid freeze-thaw cycles.

Background: SALM3/LRFN4

Long Name

Synaptic Adhesion-like Molecule 3/Leucine-rich Repeat and Fibronectin Type III Domain Containing 4

Alternate Names

FIGLER6, LRFN4

Gene Symbol

LRFN4

Additional SALM3/LRFN4 Products

Product Documents for SALM3/LRFN4 Antibody - BSA Free

Certificate of Analysis

To download a Certificate of Analysis, please enter a lot number in the search box below.

Product Specific Notices for SALM3/LRFN4 Antibody - BSA Free

This product is for research use only and is not approved for use in humans or in clinical diagnosis. Primary Antibodies are guaranteed for 1 year from date of receipt.

Loading...
Loading...
Loading...
Loading...