Skip to main content

SALM2/LRFN1 Antibody - BSA Free

Novus Biologicals, part of Bio-Techne | Catalog # NBP1-77345

Novus Biologicals, part of Bio-Techne
Catalog #
Availability
Size / Price
Qty
Loading...
NBP1-77345
NBP1-77345-0.025mg
Conjugate
Catalog #

Key Product Details

Species Reactivity

Human, Mouse, Rat

Applications

Immunohistochemistry, Immunohistochemistry-Paraffin, Western Blot, ELISA, Immunocytochemistry/ Immunofluorescence

Label

Unconjugated

Antibody Source

Polyclonal Rabbit IgG

Format

BSA Free

Concentration

1 mg/ml

Product Specifications

Immunogen

Antibody was raised against an 18 amino acid synthetic peptide near the carboxy terminus of human LRFN1. The immunogen is located within amino acids 700 - 750 of LRFN1. Amino Acid Squence: HSYPRRARRTKRHRSTPH

Specificity

This antibody is predicted to not cross-react with other members of the LRFN family.

Clonality

Polyclonal

Host

Rabbit

Isotype

IgG

Scientific Data Images for SALM2/LRFN1 Antibody - BSA Free

Western Blot: SALM2/LRFN1 AntibodyBSA Free [NBP1-77345]

Western Blot: SALM2/LRFN1 AntibodyBSA Free [NBP1-77345]

Western Blot: SALM2/LRFN1 Antibody [NBP1-77345] - Human brain lysate with LRFN1 antibody at (A) 1 and (B) 2 ug/mL.
SALM2/LRFN1 Antibody - BSA Free

Immunocytochemistry/ Immunofluorescence: SALM2/LRFN1 Antibody - BSA Free [NBP1-77345] -

Immunocytochemistry/ Immunofluorescence: SALM2/LRFN1 Antibody - BSA Free [NBP1-77345] - Immunofluorescence of SALM2/LRFN1 in mouse brain tissue with SALM2/LRFN1 antibody at 20 u/mL.
SALM2/LRFN1 Antibody - BSA Free

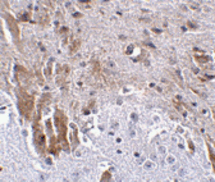
Immunohistochemistry: SALM2/LRFN1 Antibody - BSA Free [NBP1-77345] -

Immunohistochemistry: SALM2/LRFN1 Antibody - BSA Free [NBP1-77345] - Immunohistochemistry of SALM2/LRFN1 in mouse brain tissue with SALM2/LRFN1 antibody at 2.5 ug/mL.

Applications for SALM2/LRFN1 Antibody - BSA Free

Application
Recommended Usage

ELISA

1:100-1:2000

Immunocytochemistry/ Immunofluorescence

20 ug/ml

Immunohistochemistry

2.5 ug/ml

Immunohistochemistry-Paraffin

2.5 ug/ml

Western Blot

1-2 ug/ml

Formulation, Preparation, and Storage

Purification

Peptide affinity purified

Formulation

PBS

Format

BSA Free

Preservative

0.02% Sodium Azide

Concentration

1 mg/ml

Shipping

The product is shipped with polar packs. Upon receipt, store it immediately at the temperature recommended below.

Stability & Storage

Store at 4C short term. Aliquot and store at -20C long term. Avoid freeze-thaw cycles.

Background: SALM2/LRFN1

LRFN1 is one of a family of five transmembrane glycoproteins that are highly expressed in neuronal tissues. LRFN proteins share leucine-rich repeat (LRR)-immunoglobulin-like (Ig)-fibronectin type III (Fn)-transmembrane domain structure with other members of the LRR-Ig-Fn protein superfamily such as the Slitrk family of proteins. Expression of LRFN1, -3, and -4 mRNA was detected in embryonic neuronal cells, while Lrfn2 and Lrfn5 expression was primarily restricted to more mature cells. LRFN1, -2, and -4 bound to PDZ domains of postsynaptic PSD95, re-distributing PSD95 to the cell periphery. It has been suggested that the Lrfn proteins play a role in the developing and/or mature vertebrate nervous system. At least two isoforms of LRFN1 are known to exist. This antibody is predicted to not cross-react with other members of the LRFN family.

Long Name

Synaptic Adhesion-like Molecule 2/Leucine-rich Repeat and Fibronectin Type III Domain Containing 1

Alternate Names

LRFN1

Gene Symbol

LRFN1

UniProt

Additional SALM2/LRFN1 Products

Product Documents for SALM2/LRFN1 Antibody - BSA Free

Certificate of Analysis

To download a Certificate of Analysis, please enter a lot number in the search box below.

Product Specific Notices for SALM2/LRFN1 Antibody - BSA Free

This product is for research use only and is not approved for use in humans or in clinical diagnosis. Primary Antibodies are guaranteed for 1 year from date of receipt.

Loading...
Loading...
Loading...
Loading...