Skip to main content

SALL4 Antibody (SALL4/7802)

Novus Biologicals, part of Bio-Techne | Catalog # NBP3-20341

Recombinant Monoclonal Antibody
Novus Biologicals, part of Bio-Techne
Catalog #
Availability
Size / Price
Qty
Loading...
NBP3-20341-100ug
NBP3-20341-20ug
Conjugate
Catalog #

Key Product Details

Species Reactivity

Human

Applications

Immunohistochemistry-Paraffin

Label

Unconjugated

Antibody Source

Recombinant Monoclonal Rabbit IgG Kappa Clone # SALL4/7802

Concentration

0.2 mg/ml

Product Specifications

Immunogen

Recombinant fragment (around aa100-300) of human SALL4 protein (exact sequence is proprietary)

Localization

Nucleus.

Clonality

Monoclonal

Host

Rabbit

Isotype

IgG Kappa

Description

Positive Controls: Human testis, seminoma or ovary.

Antibody with azide - store at 2 to 8C. Antibody without azide - store at -20 to -80C. Non-hazardous. No MSDS required.

Scientific Data Images for SALL4 Antibody (SALL4/7802)

SALL4 Antibody (SALL4/7802)

SALL4 Antibody (SALL4/7802)

Formalin-fixed, paraffin-embedded human kidney cancer stained with SALL4 antibody (SALL4/7802). HIER: Tris/EDTA, pH9.0, 45min. Secondary: HRP-polymer, 30min. DAB, 5min.
SALL4 Antibody (SALL4/7802)

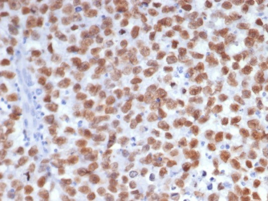
SALL4 Antibody (SALL4/7802)

Formalin-fixed, paraffin-embedded human seminoma stained with SALL4 antibody (SALL4/7802). HIER: Tris/EDTA, pH9.0, 45min. Secondary: HRP-polymer, 30min. DAB, 5min.

Applications for SALL4 Antibody (SALL4/7802)

Application
Recommended Usage

Immunohistochemistry-Paraffin

1-2 ug/ml
Application Notes
Immunohistochemistry (Formalin-fixed): 1-2ug/ml for 30 minutes. at RT. Staining of formalin-fixed tissues requires heating tissue sections in 10mM Tris with 1mM EDTA, pH 9.0, for 45 min at 95C followed by cooling at RT for 20 minutes.

Optimal dilution for a specific application should be determined.

Formulation, Preparation, and Storage

Purification

Protein A purified

Formulation

10mM PBS with 0.05% BSA

Preservative

0.05% Sodium Azide

Concentration

0.2 mg/ml

Shipping

The product is shipped with polar packs. Upon receipt, store it immediately at the temperature recommended below.

Stability & Storage

Store at 4C. Do not freeze.

Background: SALL4

Sall4 is encoded by this gene may be a zinc finger transcription factor. Defects in this gene are a cause of Duane-radial ray syndrome (DRRS).

Long Name

Sal-like 4

Alternate Names

DRRS, HSAL4, ZNF797

Gene Symbol

SALL4

Additional SALL4 Products

Product Documents for SALL4 Antibody (SALL4/7802)

Certificate of Analysis

To download a Certificate of Analysis, please enter a lot number in the search box below.

Product Specific Notices for SALL4 Antibody (SALL4/7802)

This product is for research use only and is not approved for use in humans or in clinical diagnosis. Primary Antibodies are guaranteed for 1 year from date of receipt.

Loading...
Loading...
Loading...
Loading...