Skip to main content

SAFB Antibody - BSA Free

Novus Biologicals, part of Bio-Techne | Catalog # NBP3-38485

Novus Biologicals, part of Bio-Techne
Catalog #
Availability
Size / Price
Qty
Loading...
NBP3-38485-20ul
NBP3-38485-100ul

Key Product Details

Species Reactivity

Human, Mouse, Rat

Applications

Immunohistochemistry, Immunohistochemistry-Paraffin, Western Blot, ELISA, Immunocytochemistry/ Immunofluorescence

Label

Unconjugated

Antibody Source

Polyclonal Rabbit IgG

Format

BSA Free

Concentration

Please see the vial label for concentration. If unlisted please contact technical services.

Product Specifications

Immunogen

Recombinant fusion protein containing a sequence corresponding to amino acids 1-200 of human SAFB (NP_001188267.1).

Sequence:
MAETLSGLGDSGAAGAAALSSASSETGTRRLSDLRVIDLRAELRKRNVDSSGNKSVLMERLKKAIEDEGGNPDEIEITSEGNKKTSKRSSKGRKPEEEGVEDNGLEENSGDGQEDVETSLENLQDIDIMDISVLDEAEIDNGSVADCVEDDDADNLQESLSDSRELVEGEMKELPEQLQEHAIEDKETINNLDTSSSDFT

Clonality

Polyclonal

Host

Rabbit

Isotype

IgG

Theoretical MW

103 kDa.
Disclaimer note: The observed molecular weight of the protein may vary from the listed predicted molecular weight due to post translational modifications, post translation cleavages, relative charges, and other experimental factors.

Description

Novus Biologicals Rabbit SAFB Antibody - BSA Free (NBP3-38485) is a polyclonal antibody validated for use in IHC, WB, ELISA and ICC/IF. All Novus Biologicals antibodies are covered by our 100% guarantee.

Scientific Data Images for SAFB Antibody - BSA Free

SAFB Antibody

Immunocytochemistry/ Immunofluorescence: SAFB Antibody [NBP3-38485] -

Immunocytochemistry/ Immunofluorescence: SAFB Antibody [NBP3-38485] - Immunofluorescence analysis of U-2 OS cells using SAFB Rabbit pAb at dilution of 1:100. Secondary antibody: Cy3-conjugated Goat anti-Rabbit IgG (H+L) at 1:500 dilution. Blue: DAPI for nuclear staining.
SAFB Antibody

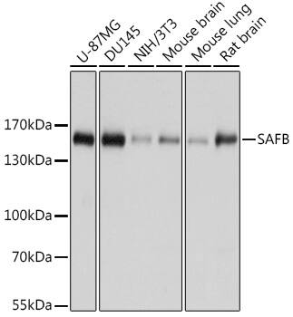
Western Blot: SAFB Antibody [NBP3-38485] -

Western Blot: SAFB Antibody [NBP3-38485] - Western blot analysis of various lysates using SAFB Rabbit pAb at 1:1000 dilution.
Secondary antibody: HRP-conjugated Goat anti-Rabbit IgG (H+L) at 1:10000 dilution.
Lysates/proteins: 25ug per lane.
Blocking buffer: 3% nonfat dry milk in TBST.
Detection: ECL Basic Kit.
Exposure time: 1s.
SAFB Antibody

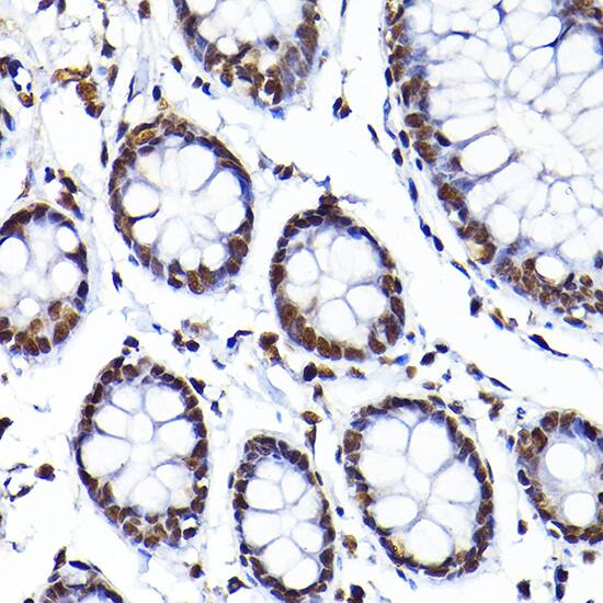
Immunohistochemistry: SAFB Antibody [NBP3-38485] -

Immunohistochemistry: SAFB Antibody [NBP3-38485] - Immunohistochemistry analysis of paraffin-embedded Human colon using SAFB Rabbit pAb at dilution of 1:200 (40x lens). High pressure antigen retrieval performed with 0.01M Citrate Bufferr (pH 6.0) prior to IHC staining.

Applications for SAFB Antibody - BSA Free

Application
Recommended Usage

Immunocytochemistry/ Immunofluorescence

1:50 - 1:200

Immunohistochemistry-Paraffin

1:50 - 1:200

Western Blot

1:500 - 1:2000

Formulation, Preparation, and Storage

Purification

Affinity purified

Formulation

PBS (pH 7.3), 50% glycerol

Format

BSA Free

Preservative

0.02% Sodium Azide

Concentration

Please see the vial label for concentration. If unlisted please contact technical services.

Shipping

The product is shipped with polar packs. Upon receipt, store it immediately at the temperature recommended below.

Stability & Storage

Store at -20C. Avoid freeze-thaw cycles.

Background: SAFB

SAFB encodes a DNA-binding protein that has high specificity for scaffold or matrix attachment region DNA elements (S/MAR DNA). This protein is thought to be involved in attaching the base of chromatin loops to the nuclear matrix but there is conflicting evidence as to whether this protein is a component of chromatin or a nuclear matrix protein. Scaffold attachment factors are a specific subset of nuclear matrix proteins (NMP) that specifically bind to S/MAR. This encoded protein is thought to serve as a molecular base to assemble a 'transcriptosome complex' in the vicinity of actively transcribed genes. It is involved in the regulation of the heat shock protein 27 transcription and also can act as an estrogen receptor corepressor. This gene is a candidate gene for breast tumorigenesis.

Alternate Names

glutathione S-transferase fusion protein, HAP, heat-shock protein (HSP27) estrogen response element and TATA box-bindingprotein, HETDKFZp779C1727, Hsp27 ERE-TATA binding protein, HSP27 ERE-TATA-binding protein, HSP27 estrogen response element-TATA box-binding protein, SAF-B, SAF-B1, SAFB1SAB-B1, scaffold attachment factor B, scaffold attachment factor B1

Gene Symbol

SAFB

Additional SAFB Products

Product Documents for SAFB Antibody - BSA Free

Certificate of Analysis

To download a Certificate of Analysis, please enter a lot number in the search box below.

Product Specific Notices for SAFB Antibody - BSA Free

This product is for research use only and is not approved for use in humans or in clinical diagnosis. Primary Antibodies are guaranteed for 1 year from date of receipt.

Loading...
Loading...
Loading...
Loading...