Skip to main content

SAE2 Antibody - BSA Free

Novus Biologicals, part of Bio-Techne | Catalog # NBP2-34070

Novus Biologicals, part of Bio-Techne
Catalog #
Availability
Size / Price
Qty
Loading...
NBP2-34070
NBP2-34070-25ul

Key Product Details

Species Reactivity

Validated:

Human

Predicted:

Mouse (93%), Rat (92%). Backed by our 100% Guarantee.

Applications

Immunohistochemistry, Immunohistochemistry-Paraffin, Western Blot, Immunocytochemistry/ Immunofluorescence

Label

Unconjugated

Antibody Source

Polyclonal Rabbit IgG

Format

BSA Free

Concentration

Concentrations vary lot to lot. See vial label for concentration. If unlisted please contact technical services.

Product Specifications

Immunogen

This antibody was developed against a recombinant protein corresponding to amino acids: DFLQDYTLLINILHSEDLGKDVEFEVVGDAPEKVGPKQAEDAAKSITNGSDDGAQPSTSTAQEQDDVLIVDSDEEDSSNNAD

Clonality

Polyclonal

Host

Rabbit

Isotype

IgG

Description

Novus Biologicals Rabbit SAE2 Antibody - BSA Free (NBP2-34070) is a polyclonal antibody validated for use in IHC, WB and ICC/IF. All Novus Biologicals antibodies are covered by our 100% guarantee.

Scientific Data Images for SAE2 Antibody - BSA Free

Immunocytochemistry/ Immunofluorescence: SAE2 Antibody [NBP2-34070]

Immunocytochemistry/ Immunofluorescence: SAE2 Antibody [NBP2-34070]

Immunocytochemistry/Immunofluorescence: SAE2 Antibody [NBP2-34070] - Immunofluorescent staining of human cell line A-431 shows localization to nucleoplasm.
SAE2 Antibody

Western Blot: SAE2 Antibody [NBP2-34070] -

Western Blot: SAE2 Antibody [NBP2-34070] -Analysis in human cell line K562.
SAE2 Antibody

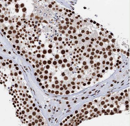
Immunohistochemistry-Paraffin: SAE2 Antibody [NBP2-34070] -

Immunohistochemistry-Paraffin: SAE2 Antibody [NBP2-34070] - Staining of human testis shows strong nuclear positivity in cells in seminiferous ducts.

Applications for SAE2 Antibody - BSA Free

Application
Recommended Usage

Immunocytochemistry/ Immunofluorescence

0.25-2 ug/ml

Immunohistochemistry

1:1000 - 1:2500

Immunohistochemistry-Paraffin

1:1000 - 1:2500

Western Blot

0.04-0.4 ug/ml
Application Notes
For IHC-Paraffin, HIER pH 6 retrieval is recommended. ICC/IF,Fixation Permeabilization: Use PFA/Triton X-100.

Formulation, Preparation, and Storage

Purification

Affinity purified

Formulation

PBS (pH 7.2) and 40% Glycerol

Format

BSA Free

Preservative

0.02% Sodium Azide

Concentration

Concentrations vary lot to lot. See vial label for concentration. If unlisted please contact technical services.

Shipping

The product is shipped with polar packs. Upon receipt, store it immediately at the temperature recommended below.

Stability & Storage

Store at 4C short term. Aliquot and store at -20C long term. Avoid freeze-thaw cycles.

Background: SAE2

Covalent attachment of one protein to another is one of the more prominent posttranslational modifications in respect to size and ubiquity. Ubiquitin is the most familiar of the protein modifiers and its activation and transfer to target proteins has been studied extensively. Recently, a new group of ubiquitin-like proteins has been receiving a lot of attention. SUMO, or Sentrin, is one of the most intriguing. SUMO has been implicated in the stabilization of target proteins and/or their localization to sub-cellular complexes. The conjugation of SUMO-1, SUMO-2 and SUMO-3 onto target proteins requires the concerted action of the specific E1-activating enzyme SAE1/SAE2, the E2-conjugating enzyme Ubc9, and an E3-like SUMO ligase.

Alternate Names

Anthracycline-associated resistance ARX, ARX, EC 6.3.2, EC 6.3.2.-, FLJ13058, HRIHFB2115, SAE2SUMO-1 activating enzyme subunit 2, SUMO1 activating enzyme subunit 2, SUMO-activating enzyme subunit 2, UBA2, ubiquitin-activating enzyme E1 homolog, Ubiquitin-like 1-activating enzyme E1B, ubiquitin-like modifier activating enzyme 2, UBLE1B

Gene Symbol

UBA2

UniProt

Additional SAE2 Products

Product Documents for SAE2 Antibody - BSA Free

Certificate of Analysis

To download a Certificate of Analysis, please enter a lot number in the search box below.

Product Specific Notices for SAE2 Antibody - BSA Free

This product is for research use only and is not approved for use in humans or in clinical diagnosis. Primary Antibodies are guaranteed for 1 year from date of receipt.

Loading...
Loading...
Loading...
Loading...